Suppr超能文献

建立 4 种头颈部鳞状细胞癌细胞系:参考 DNA 对准确基因组特征分析的重要性。

Establishment of four head and neck squamous cell carcinoma cell lines: importance of reference DNA for accurate genomic characterisation.

机构信息

Department of Head and Neck - Endocrine Oncology, Moffit Cancer Center, Tampa, Florida, USA.

Informatics and Biocomputing Platform Ontario Institute for Cancer Research, Toronto, Canada.

出版信息

J Laryngol Otol. 2023 Mar;137(3):301-307. doi: 10.1017/S0022215122000846. Epub 2022 Mar 23.

Abstract

OBJECTIVE

There is significant interest in developing early passage cell lines with matched normal reference DNA to facilitate a precision medicine approach in assessing drug response. This study aimed to establish early passage cell lines, and perform whole exome sequencing and short tandem repeat profiling on matched normal reference DNA, primary tumour and corresponding cell lines.

METHODS

A cell culture based, study was conducted of patients with primary human papillomavirus positive and human papillomavirus negative tumours.

RESULTS

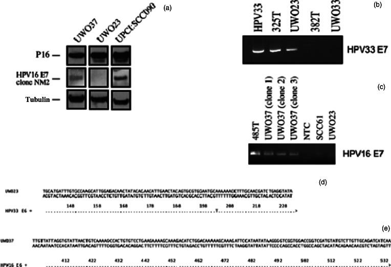
Four early passage cell lines were established. Two cell lines were human papillomavirus positive, confirmed by sequencing and p16 immunoblotting. Short tandem repeat profiling confirmed that all cell lines were established from their index tumours. Whole exome sequencing revealed that the matched normal reference DNA was critical for accurate mutational analysis: a high rate of false positive mutation calls were excluded (87.6 per cent).

CONCLUSION

Early passage cell lines were successfully established. Patient-matched reference DNA is important for accurate cell line mutational calls.

摘要

目的

建立具有匹配正常参考 DNA 的早期传代细胞系,以促进精准医学方法评估药物反应。本研究旨在建立早期传代细胞系,并对匹配的正常参考 DNA、原代肿瘤和相应的细胞系进行全外显子测序和短串联重复序列分析。

方法

对人乳头瘤病毒阳性和人乳头瘤病毒阴性肿瘤患者进行了基于细胞培养的研究。

结果

建立了 4 个早期传代细胞系。通过测序和 p16 免疫印迹证实了 2 个细胞系为人乳头瘤病毒阳性。短串联重复序列分析证实所有细胞系均源自其原始肿瘤。全外显子组测序表明,匹配的正常参考 DNA 对于准确的突变分析至关重要:排除了大量假阳性突变(87.6%)。

结论

成功建立了早期传代细胞系。患者匹配的参考 DNA 对于准确的细胞系突变检测至关重要。

https://cdn.ncbi.nlm.nih.gov/pmc/blobs/2493/9975763/d1bc2e0ca855/S0022215122000846_fig1.jpg

文献AI研究员

20分钟写一篇综述,助力文献阅读效率提升50倍。

立即体验

用中文搜PubMed

大模型驱动的PubMed中文搜索引擎

马上搜索

文档翻译

学术文献翻译模型,支持多种主流文档格式。

立即体验