Suppr超能文献

双相性腹膜间皮瘤:一种致命的临床实体。

Biphasic Peritoneal Mesothelioma: A Lethal Clinical Entity.

作者信息

Waheed Abdul, Foroutan Shahin, McCloskey Audrey, Randhawa Harmanprit, Cason Frederick D

机构信息

Surgery, San Jaoquin General Hospital, San Jaoquin, USA.

General Surgery/Trauma and Critical Care, San Joaquin General Hospital, French Camp, USA.

出版信息

Cureus. 2022 Feb 26;14(2):e22638. doi: 10.7759/cureus.22638. eCollection 2022 Feb.

Abstract

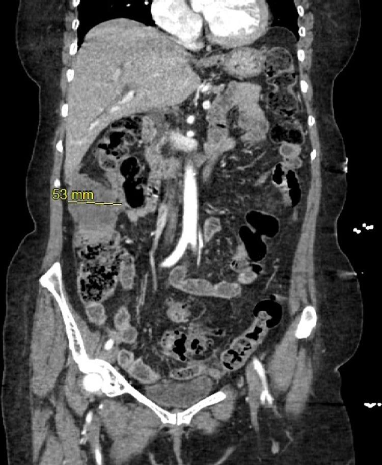
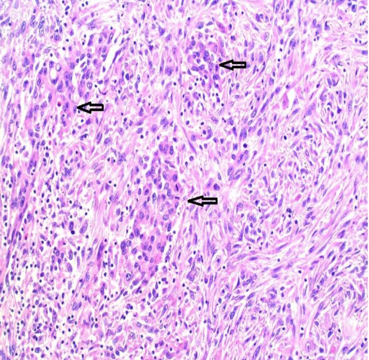
Mesotheliomas are a rare malignancy of the serosal membrane. Mainly it affects the pleural surfaces followed by the second most common location, "peritoneum." The disease follows an aggressive pattern of spread, and by the time the diagnosis is established, the condition significantly spreads to distant locations. Diagnosis of malignant peritoneal mesothelioma is typically made by tissue biopsy. The standard treatment is radical resection; however, patients have benefited from several other modalities. The current case report describes a unique case of malignant mesothelioma, biphasic peritoneal mesothelioma (BPM), which comprises less than 25% of all peritoneal mesotheliomas. The diagnosis and treatment do not differ from other subtypes; however, the prognosis is poor, and if untreated, the survival is typically less than six months.

摘要

间皮瘤是一种罕见的浆膜恶性肿瘤。主要累及胸膜表面,其次是第二常见的部位“腹膜”。该疾病呈侵袭性扩散模式,在确诊时,病情已显著扩散至远处。恶性腹膜间皮瘤的诊断通常通过组织活检进行。标准治疗方法是根治性切除;然而,患者也从其他几种治疗方式中获益。本病例报告描述了一例独特的恶性间皮瘤,即双相性腹膜间皮瘤(BPM),其在所有腹膜间皮瘤中占比不到25%。其诊断和治疗与其他亚型并无差异;然而,预后较差,如果不进行治疗,生存期通常不到六个月。

https://cdn.ncbi.nlm.nih.gov/pmc/blobs/7ef5/8960911/10ef07c95fcd/cureus-0014-00000022638-i01.jpg

相似文献

1
Biphasic Peritoneal Mesothelioma: A Lethal Clinical Entity.
Cureus. 2022 Feb 26;14(2):e22638. doi: 10.7759/cureus.22638. eCollection 2022 Feb.
4
[Medical insurance aspects of peritoneal tumors with particular attention to peritoneal mesotheliomas].
Med Klin (Munich). 2009 Oct 15;104(10):765-71. doi: 10.1007/s00063-009-1162-z. Epub 2009 Oct 25.
6
Epidemiology and outcome of peritoneal and pleural mesothelioma subtypes in Norway. A 20 year nation-wide study.
Acta Oncol. 2021 Oct;60(10):1250-1256. doi: 10.1080/0284186X.2021.1955971. Epub 2021 Jul 27.
7
Malignant peritoneal mesothelioma: clinicopathological characteristics of two cases.
Case Rep Surg. 2014;2014:748469. doi: 10.1155/2014/748469. Epub 2014 Mar 4.

引用本文的文献

1
Biphasic Peritoneal Mesothelioma Is a Rare Tumor and a Diagnostic Challenge: A Case Report.
Cureus. 2024 Jan 5;16(1):e51725. doi: 10.7759/cureus.51725. eCollection 2024 Jan.

本文引用的文献

3
Phase 2 Study of Olaparib in Malignant Mesothelioma and Correlation of Efficacy With Germline or Somatic Mutations in Gene.
JTO Clin Res Rep. 2021 Sep 17;2(10):100231. doi: 10.1016/j.jtocrr.2021.100231. eCollection 2021 Oct.
4
[Efficacy of 1 384 cases of peritoneal carcinomatosis underwent cytoreductive surgery plus hyperthermic intraperitoneal chemotherapy].
Zhonghua Wei Chang Wai Ke Za Zhi. 2021 Mar 25;24(3):230-239. doi: 10.3760/cma.j.cn.441530-20201110-00603.
5
Malignant peritoneal mesothelioma: correlation between CT imaging features and histologic subtypes.
Abdom Radiol (NY). 2021 Nov;46(11):5105-5113. doi: 10.1007/s00261-021-03231-4. Epub 2021 Aug 3.
6
Epidemiology and outcome of peritoneal and pleural mesothelioma subtypes in Norway. A 20 year nation-wide study.
Acta Oncol. 2021 Oct;60(10):1250-1256. doi: 10.1080/0284186X.2021.1955971. Epub 2021 Jul 27.
8
Concerning CT features predict outcome of treatment in patients with malignant peritoneal mesothelioma.
Eur J Surg Oncol. 2021 Sep;47(9):2212-2219. doi: 10.1016/j.ejso.2021.04.012. Epub 2021 Apr 14.
10

文献AI研究员

20分钟写一篇综述,助力文献阅读效率提升50倍。

立即体验

用中文搜PubMed

大模型驱动的PubMed中文搜索引擎

马上搜索

文档翻译

学术文献翻译模型,支持多种主流文档格式。

立即体验