Suppr超能文献

非马沙坦通过调节氧化应激、炎症和凋亡级联反应改善大鼠肾缺血再灌注损伤。

Fimasartan ameliorates renal ischemia reperfusion injury via modulation of oxidative stress, inflammatory and apoptotic cascades in a rat model.

机构信息

Department of Pharmacology & Therapeutics, Faculty of Medicine, University of Kufa, Kufa, Iraq.

Department of Pharmacology & Therapeutics, Faculty of Medicine, Jabir Ibn Hayyan Medical University, Najaf, Iraq.

出版信息

J Med Life. 2022 Feb;15(2):241-251. doi: 10.25122/jml-2021-0154.

Abstract

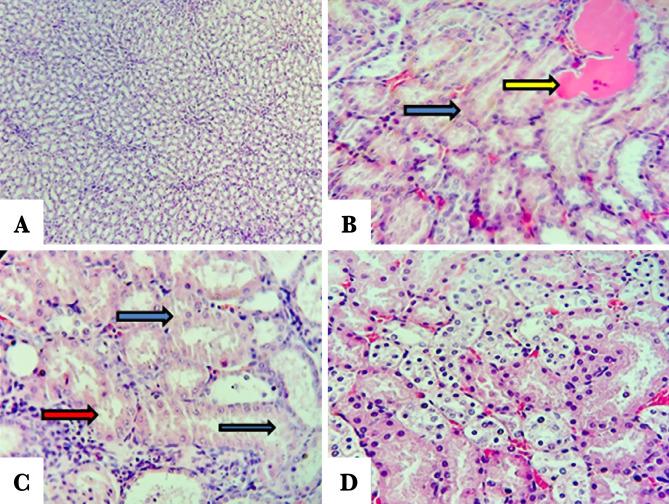
Ischemia-reperfusion injury (IRI) can be defined as changes in the functions and structures of the tissues resulting from the restoration of blood after a period of ischemia. This study aimed to assess the potential protective effect of Fimasartan (angiotensin receptor antagonist) in the bilateral renal IRI in male rats through its potential effect on renal functions, modulation of the inflammatory cascade, oxidative stress, and apoptotic effect. The animals were equally assigned into four groups. The sham (negative control) group was exposed to surgical conditions without induction of IRI. The control group was exposed to ischemia by occluding the renal pedicles by clamps for 30 min, followed by restoration of blood for 2h. The vehicle-treated group received dimethyl sulfoxide (DMSO) by intraperitoneal injection (IP) 30 minutes before clamping. Fimasartan-treated group: rats pretreated with Fimasartan a dose of 3 mg/kg IP; this was half hour before occluding the renal pedicles. Animals were then exposed to 30 min ischemia (clamping the renal pedicles) followed by 2h reperfusion by releasing the clamps. Blood samples were collected to examine the levels of serum urea and creatinine. Renal tissue was used to measure the levels of cytokines (TNFα, IL-6) and total antioxidant capacity (TAC). Immunohistochemistry was used to assess the levels of Bax, caspase 3, and Bcl-2. Histopathological analyses were performed to detect the parenchymal injury. The present study shows that pretreatment with Fimasartan improves kidney function through its effects on oxidative stress, cytokines, and apoptotic markers.

摘要

缺血再灌注损伤(IRI)可以定义为组织在缺血一段时间后恢复血液供应时功能和结构的变化。本研究旨在通过评估 Fimasartan(血管紧张素受体拮抗剂)对肾功能、炎症级联反应、氧化应激和凋亡作用的潜在影响,来评估其在雄性大鼠双侧肾 IRI 中的潜在保护作用。动物被平均分配到四组。假手术(阴性对照)组仅接受手术处理,但不诱导 IRI。对照组通过夹闭肾蒂 30 分钟来诱导缺血,然后再恢复血液供应 2 小时。给予 DMSO(二甲基亚砜)处理的模型组:在夹闭肾蒂前 30 分钟通过腹腔注射(IP)给予 DMSO。Fimasartan 预处理组:大鼠预先给予 Fimasartan 剂量为 3mg/kg IP;这是在夹闭肾蒂前半小时。然后,动物暴露于 30 分钟的缺血(夹闭肾蒂),然后通过松开夹闭来进行 2 小时的再灌注。采集血液样本以检查血清尿素和肌酐水平。使用肾组织测量细胞因子(TNFα、IL-6)和总抗氧化能力(TAC)的水平。免疫组织化学用于评估 Bax、caspase 3 和 Bcl-2 的水平。进行组织病理学分析以检测实质损伤。本研究表明,Fimasartan 预处理通过其对氧化应激、细胞因子和凋亡标志物的作用改善了肾功能。

https://cdn.ncbi.nlm.nih.gov/pmc/blobs/5613/8999095/87551234722d/JMedLife-15-241-g001.jpg

文献AI研究员

20分钟写一篇综述,助力文献阅读效率提升50倍。

立即体验

用中文搜PubMed

大模型驱动的PubMed中文搜索引擎

马上搜索

文档翻译

学术文献翻译模型,支持多种主流文档格式。

立即体验