Guangdong Provincial Key Laboratory of Gastroenterology, Institute of Gastroenterology of Guangdong Province, Department of Gastroenterology, Nanfang Hospital, Southern Medical University, Guangzhou, 510515, China.
BMC Med. 2022 Apr 15;20(1):148. doi: 10.1186/s12916-022-02352-x.
Ketone body β-hydroxybutyrate (BHB) has received more and more attentions, because it possesses a lot of beneficial, life-preserving effects in the fields of clinical science and medicine. However, the role of BHB in intestinal inflammation has not yet been investigated.
Colonic mucosa of inflammatory bowel disease (IBD) patients and healthy controls were collected for evaluation of BHB level. Besides, the therapeutic effect of exogenous BHB in a murine model of acute dextran sulfate sodium (DSS)-induced colitis were assessed by body weight change, colon length, disease activity index, and histopathological sections. The regulatory effectors of BHB were analyzed by RT-qPCR, immunofluorescence, and microbe analysis in vivo. Moreover, the molecular mechanism of BHB was further verified in bone marrow-derived macrophages (BMDMs).
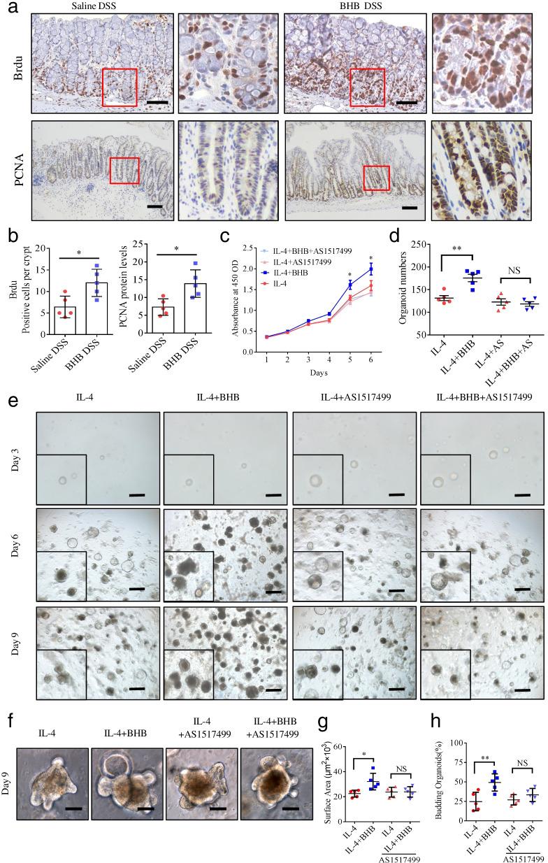
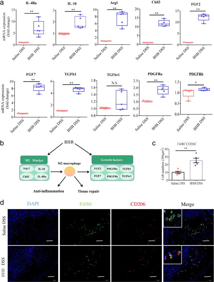
In this study, significantly reduced BHB levels were found in the colonic mucosa from IBD patients and correlated with IBD activity index. In addition, we demonstrated that the administration of exogenous BHB alleviated the severity of acute experimental colitis, which was characterized by less weight loss, disease activity index, colon shortening, and histology scores, as well as decreased crypt loss and epithelium damage. Furthermore, BHB resulted in significantly increased colonic expression of M2 macrophage-associated genes, including IL-4Ra, IL-10, arginase 1 (Arg-1), and chitinase-like protein 3, following DSS exposure, suggesting an increased M2 macrophage skewing in vivo. Moreover, an in vitro experiment revealed that the addition of BHB directly promoted STAT6 phosphorylation and M2 macrophage-specific gene expression in IL-4-stimulated macrophages. Besides, we found that BHB obviously increased M2 macrophage-induced mucosal repair through promoting intestinal epithelial proliferation. However, the enhancement effect of BHB on M2 macrophage-induced mucosal repair and anti-inflammation was completely inhibited by the STAT6 inhibitor AS1517499.
In summary, we show that BHB promotes M2 macrophage polarization through the STAT6-dependent signaling pathway, which contributes to the resolution of intestinal inflammation and the repair of damaged intestinal tissues. Our finding suggests that exogenous BHB supplement may be a useful therapeutic approach for IBD treatment.
酮体β-羟丁酸(BHB)在临床科学和医学领域具有许多有益的、维持生命的作用,因此越来越受到关注。然而,BHB 在肠道炎症中的作用尚未得到研究。
收集炎症性肠病(IBD)患者和健康对照者的结肠黏膜,评估 BHB 水平。此外,通过体重变化、结肠长度、疾病活动指数和组织学切片评估外源性 BHB 在急性葡聚糖硫酸钠(DSS)诱导的结肠炎小鼠模型中的治疗效果。通过体内 RT-qPCR、免疫荧光和微生物分析分析 BHB 的调节效应物。此外,还在骨髓来源的巨噬细胞(BMDMs)中进一步验证了 BHB 的分子机制。
本研究发现,IBD 患者结肠黏膜中 BHB 水平明显降低,与 IBD 活动指数相关。此外,我们证明了外源性 BHB 的给药减轻了急性实验性结肠炎的严重程度,其特征为体重减轻、疾病活动指数、结肠缩短和组织学评分减少,以及隐窝丢失和上皮损伤减少。此外,BHB 导致 DSS 暴露后结肠 M2 巨噬细胞相关基因的表达显著增加,包括 IL-4Ra、IL-10、精氨酸酶 1(Arg-1)和几丁质样蛋白 3,提示体内 M2 巨噬细胞向 M2 型倾斜。此外,体外实验表明,BHB 直接促进 IL-4 刺激的巨噬细胞中 STAT6 磷酸化和 M2 巨噬细胞特异性基因表达。此外,我们发现 BHB 通过促进肠上皮细胞增殖,明显增强 BHB 对 M2 巨噬细胞诱导的粘膜修复作用。然而,STAT6 抑制剂 AS1517499 完全抑制了 BHB 对 M2 巨噬细胞诱导的粘膜修复和抗炎作用的增强作用。
总之,我们表明 BHB 通过 STAT6 依赖性信号通路促进 M2 巨噬细胞极化,有助于缓解肠道炎症和修复受损的肠道组织。我们的发现表明,外源性 BHB 补充可能是治疗 IBD 的一种有用的治疗方法。