Suppr超能文献

台湾地区割草机相关开放性眼外伤。

LAWN TRIMMER-RELATED OPEN-GLOBE INJURIES IN TAIWAN.

机构信息

Department of Ophthalmology, Buddhist Tzu Chi General Hospital, Hualien, Taiwan.

Institute of Medical Sciences, Tzu Chi University, Hualien, Taiwan; and.

出版信息

Retina. 2022 May 1;42(5):973-980. doi: 10.1097/IAE.0000000000003402. Epub 2022 Jan 12.

Abstract

PURPOSE

Work-related ocular trauma remains the leading cause of unilateral visual impairment worldwide. Many preventable work-related ocular injuries continue to occur, even at home. This study describes the characteristics, surgical techniques, and prognostic factors of lawn trimmer-related open-globe injuries in eastern Taiwan.

METHODS

This was a retrospective, consecutive case series study. Slit-lamp biomicroscopy, dilated fundoscopy, and orbital computed tomography (CT) images were collected.

RESULTS

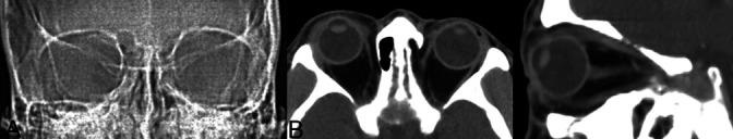
Twenty-six eyes of 26 patients were enrolled in the study. Fifteen patients (57.7%) had an intraocular foreign body (IOFB). The IOFB was metallic in 13 cases and glass and stone in the other 2 cases. Seven IOFBs (46.7%) were retained in the anterior chamber, 7 (46.7%) in the posterior segment, and 1 (6.7%) in the intraconal space. Univariate analysis showed that the presence of IOFB trended toward the development of endophthalmitis; however, this was not statistically significant (hazard ratio, 2.25; 95% confidence interval 0.35-14.61; P = 0.658). Eleven patients had metallic IOFBs noted on CT scans with metal artifacts, whereas two patients had small metallic IOFBs without metal artifacts. One patient had a glass IOFB mimicking metal artifacts on the CT scan. In one case, CT failed to reveal the IOFB, and an intralenticular metallic foreign body was incidentally found intraoperatively.

CONCLUSION

Our study provides a broad characterization of lawn trimmer-related open-globe injuries. The informative and diverse findings of IOFBs on CT scans will help clinicians detect and recognize IOFBs more precisely and perform the surgery without causing further damage.

摘要

目的

工作相关眼外伤仍然是全球导致单侧视力损害的主要原因。许多可预防的工作相关眼外伤仍在继续发生,即使在家中也是如此。本研究描述了台湾东部草坪修剪机相关开放性眼球损伤的特征、手术技术和预后因素。

方法

这是一项回顾性、连续病例系列研究。收集了裂隙灯生物显微镜、散瞳眼底镜和眼眶 CT 图像。

结果

本研究纳入了 26 例 26 只眼的患者。15 例(57.7%)患者存在眼内异物(IOFB)。IOFB 为金属的有 13 例,玻璃和石头的有 2 例。7 个 IOFB(46.7%)在前房,7 个(46.7%)在后段,1 个(6.7%)在眼内。单因素分析显示,IOFB 的存在有发生眼内炎的趋势;但无统计学意义(危险比 2.25;95%置信区间 0.35-14.61;P=0.658)。11 例 CT 扫描发现有金属 IOFB 并伴有金属伪影,2 例有小的金属 IOFB 但无金属伪影。1 例玻璃 IOFB 在 CT 扫描上类似金属伪影。1 例 CT 未能显示 IOFB,术中偶然发现晶状体中的金属异物。

结论

本研究提供了对草坪修剪机相关开放性眼球损伤的广泛特征描述。CT 扫描上 IOFB 的信息丰富且多样的表现将有助于临床医生更准确地发现和识别 IOFB,并在手术过程中避免进一步损伤。

https://cdn.ncbi.nlm.nih.gov/pmc/blobs/6a9f/9022680/08d6e9ba8b6b/retina-42-973-g001.jpg

文献AI研究员

20分钟写一篇综述,助力文献阅读效率提升50倍。

立即体验

用中文搜PubMed

大模型驱动的PubMed中文搜索引擎

马上搜索

文档翻译

学术文献翻译模型,支持多种主流文档格式。

立即体验