Mansour Riham M, El Sayed Nesrine S, Ahmed Maha A E, El-Sahar Ayman E
Department of Pharmacology and Toxicology, College of Pharmaceutical Sciences and Drug Manufacturing, Misr University for Science and Technology (MUST), 6Th of October City, Giza, Egypt.
Department of Pharmacology and Toxicology, Faculty of Pharmacy, Cairo University, Kasr El-Aini Street, Cairo, Egypt.
Mol Neurobiol. 2022 Jul;59(7):4368-4383. doi: 10.1007/s12035-022-02856-w. Epub 2022 May 12.
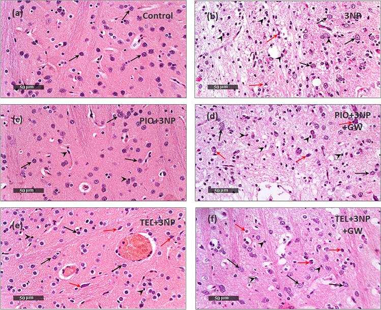
Telmisartan (TEL) is an angiotensin II type 1 receptor blocker and a partial activator of peroxisome proliferator-activated receptor-gamma (PPARγ), which regulates inflammatory and apoptotic pathways. Increasing evidence has demonstrated the PPARγ agonistic property of TEL in several brain disorders. This study aims to explore the neuroprotective impact of TEL in 3-nitropropionic acid (3-NP)-induced neurotoxicity in rats. The PPARγ effect of TEL was affirmed by using the PPARγ agonist pioglitazone (PIO), and the antagonist GW9662. 3-NP led to a significant reduction in body weight alongside motor and cognitive functioning. The striata of the 3-NP-treated rats showed energy-deficit, microglia-mediated inflammatory reactions, apoptotic damage as well as histopathological lesions. PIO and TEL improved motor and cognitive perturbations induced by 3-NP, as confirmed by striatal histopathological examination, energy restoration, and neuronal preservation. Both drugs improved mitochondrial biogenesis evidenced by elevated mRNA expression of PPARγ, PGC-1α, and TFAM, alongside increased striatal ATP and SDH. The mitochondrial effect of TEL was beyond PPARγ activation. As well, their anti-inflammatory effect was attributed to suppression of microglial activation, and protein expression of pS536 p65 NF-κB with marked attenuation of striatal inflammatory mediator's release. Anti-inflammatory cytokine IL-10 expression was concurrently increased. TEL effectively participated in neuronal survival as it promoted phosphorylation of Akt/GSK-3β, further increased Bcl-2 expression, and inhibited cleavage of caspase-3. Interestingly, co-treatment with GW9662 partially revoked the beneficial effects of TEL. These findings recommend that TEL improves motor and cognitive performance, while reducing neuronal inflammation and apoptosis in 3-NP-induced neurotoxicity via a PPARγ-dependent mechanism.
替米沙坦(TEL)是一种血管紧张素II 1型受体阻滞剂,也是过氧化物酶体增殖物激活受体γ(PPARγ)的部分激活剂,PPARγ可调节炎症和凋亡途径。越来越多的证据表明TEL在几种脑部疾病中具有PPARγ激动特性。本研究旨在探讨TEL对3-硝基丙酸(3-NP)诱导的大鼠神经毒性的神经保护作用。通过使用PPARγ激动剂吡格列酮(PIO)和拮抗剂GW9662来证实TEL的PPARγ效应。3-NP导致体重显著下降以及运动和认知功能受损。3-NP处理的大鼠纹状体显示出能量缺乏、小胶质细胞介导的炎症反应、凋亡损伤以及组织病理学病变。纹状体组织病理学检查、能量恢复和神经元保存证实,PIO和TEL改善了3-NP诱导的运动和认知障碍。两种药物均改善了线粒体生物合成,表现为PPARγ、PGC-1α和TFAM的mRNA表达升高,同时纹状体ATP和SDH增加。TEL的线粒体效应超出了PPARγ激活。此外,它们的抗炎作用归因于抑制小胶质细胞激活以及pS536 p65 NF-κB的蛋白表达,同时纹状体炎症介质释放明显减少。抗炎细胞因子IL-10的表达同时增加。TEL通过促进Akt/GSK-3β磷酸化、进一步增加Bcl-2表达并抑制caspase-3的裂解,有效地参与了神经元存活。有趣的是,与GW9662联合治疗部分抵消了TEL的有益作用。这些发现表明,TEL通过PPARγ依赖性机制改善了3-NP诱导的神经毒性中的运动和认知表现,同时减少了神经元炎症和凋亡。