Suppr超能文献

奥地利犬类感染粪类圆线虫:两例病例报告。

Strongyloides stercoralis infection in dogs in Austria: two case reports.

机构信息

Institute of Parasitology, University of Veterinary Medicine Vienna, Vienna, Austria.

IDEXX Laboratories, Kornwestheim, Germany.

出版信息

Parasit Vectors. 2022 May 15;15(1):168. doi: 10.1186/s13071-022-05270-2.

Abstract

BACKGROUND

Strongyloides stercoralis is endemic in tropical and subtropical regions, but reports of infections in central and northern Europe have been recently increasing. Infections occur mainly in humans and dogs. In dogs, both dog-adapted and zoonotic S. stercoralis genotypes seem to occur. Clinical manifestations mainly include gastrointestinal and respiratory signs. The severity of the disease can vary greatly and depends on the immune status of the host. The infection is potentially fatal in immunosuppressed individuals, either medically induced or due to an underlying disease, in which hyperinfections and disseminated infections with extraintestinal parasite dissemination may occur.

METHODS

Diagnosis was based on coproscopy, including flotation and the Baermann funnel technique, histology of small intestinal biopsies and molecular analysis of mitochondrial cytochrome oxidase subunit I (COI) and hypervariable regions I and IV (HVR I and HVR IV) of the nuclear 18S rDNA loci.

RESULTS

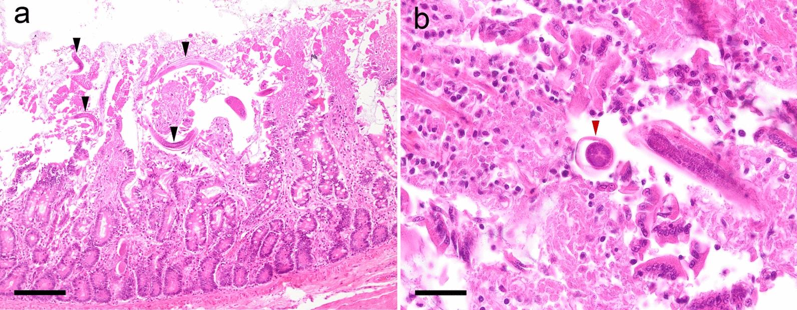
Two independent cases of severe canine S. stercoralis infection in Austria are presented. In both cases, S. stercoralis was detected in histological sections of the small intestine and with the Baermann funnel technique. Molecular analysis revealed strains with zoonotic potential. Case 1 was a 1-year-old female French bulldog with a long history of respiratory and gastrointestinal signs, severe emaciation and apathy before S. stercoralis infection was diagnosed. Treatment with moxidectin (2.5 mg/kg body weight [BW], oral route) did not eliminate the infection, but treatment with ivermectin (0.2 mg/kg BW, subcutaneously) was successful. Case 2 consisted of two 2-month-old Pomeranian puppies, one female and one male, from a litter of four, which died soon after presenting dyspnoea and haemorrhagic diarrhoea (female) or torticollis (male); S. stercoralis infection was first diagnosed post-mortem.

CONCLUSION

More attention should be paid to this nematode because although it appears to be rare in Austria, it is easily overlooked on standard coproscopy unless a Baermann funnel technique is used, and even then, it can be missed. Moxidectin is not always successful in eliminating the infection, and treatment with ivermectin should be considered in cases of infection.

摘要

背景

旋毛虫在热带和亚热带地区流行,但最近在中、北欧地区的感染报告有所增加。感染主要发生在人和狗身上。在狗中,似乎同时存在适应狗的和人畜共患的旋毛虫基因型。临床表现主要包括胃肠道和呼吸道症状。疾病的严重程度差异很大,取决于宿主的免疫状态。在免疫抑制个体中,感染具有潜在的致命性,无论是医学诱导的还是由于潜在疾病引起的,都可能发生超感染和寄生虫播散的播散性感染。

方法

诊断基于粪便检查,包括漂浮和贝曼漏斗技术、小肠活检的组织学检查以及线粒体细胞色素氧化酶亚单位 I(COI)和核 18S rDNA 基因座高变区 I 和 IV(HVR I 和 HVR IV)的分子分析。

结果

介绍了奥地利两例独立的严重犬旋毛虫感染病例。在这两种情况下,都在小肠的组织学切片和贝曼漏斗技术中检测到了旋毛虫。分子分析显示出具有人畜共患潜力的菌株。病例 1 是一只 1 岁的法国斗牛犬,有长期的呼吸道和胃肠道症状,在诊断旋毛虫感染之前,严重消瘦和冷漠。用莫昔克丁(2.5 mg/kg 体重,口服途径)治疗未消除感染,但用伊维菌素(0.2 mg/kg BW,皮下)治疗成功。病例 2 由两只 2 个月大的博美犬组成,一只是雌性,一只是雄性,来自一窝四只,它们出现呼吸困难和血性腹泻(雌性)或斜颈(雄性)后不久死亡;首先在死后诊断出旋毛虫感染。

结论

应该更加关注这种线虫,因为尽管它在奥地利似乎很少见,但如果不使用贝曼漏斗技术,在标准粪便检查中很容易被忽视,即使使用了该技术,也可能被遗漏。莫昔克丁并不总是能成功消除感染,在感染的情况下应考虑使用伊维菌素治疗。

https://cdn.ncbi.nlm.nih.gov/pmc/blobs/2adc/9109304/cf205c69f1d3/13071_2022_5270_Fig1_HTML.jpg

文献AI研究员

20分钟写一篇综述,助力文献阅读效率提升50倍。

立即体验

用中文搜PubMed

大模型驱动的PubMed中文搜索引擎

马上搜索

文档翻译

学术文献翻译模型,支持多种主流文档格式。

立即体验