Suppr超能文献

簇的消融导致小鼠出现偏性性别比。

Ablation of the Cluster Causes a Skewed Sex Ratio in Mice.

机构信息

Department of Physiology and Cell Biology, University of Nevada, Reno School of Medicine, Reno, NV, United States.

The Lundquist Institute for Biomedical Innovation at Harbor-UCLA Medical Center, Torrance, CA, United States.

出版信息

Front Endocrinol (Lausanne). 2022 May 23;13:893854. doi: 10.3389/fendo.2022.893854. eCollection 2022.

Abstract

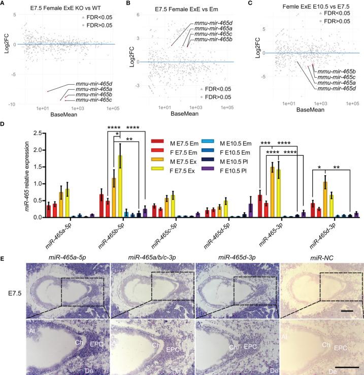
The X-linked cluster is highly expressed in the testis, sperm, newborn ovary, and blastocysts as well as in 8-16 cell embryos. However, the physiological role of the cluster is still largely unknown. This study aims to dissect the role of the cluster in murine development. Despite abundant expression in the testis, ablation of the miRNA cluster using CRISPR-Cas9 did not cause infertility. Instead, a skewed sex ratio biased toward males (60% males) was observed among KO mice. Further analyses revealed that the female conceptuses selectively degenerated as early as embryonic day 8.5 (E8.5). Small RNA deep sequencing, qPCR, and hybridization analyses revealed that the miRNAs encoded by the cluster were mainly localized to the extraembryonic tissue/developing placenta. RNA-seq analyses identified altered mRNA transcriptome characterized by the dysregulation of numerous critical placental genes, e.g., , in the KO conceptuses at E7.5. Taken together, this study showed that the cluster is required for normal female placental development, and ablation of the cluster leads to a skewed sex ratio with more males (~60%) due to selective degeneration and resorption of the female conceptuses.

摘要

X 连锁簇在睾丸、精子、新生卵巢和胚泡以及 8-16 细胞胚胎中高度表达。然而,X 连锁簇的生理作用在很大程度上仍然未知。本研究旨在剖析 X 连锁簇在小鼠发育中的作用。尽管在睾丸中大量表达,但使用 CRISPR-Cas9 敲除 X 连锁簇 miRNA 簇不会导致不育。相反,在 KO 小鼠中观察到偏向雄性(60%雄性)的性别比例偏斜。进一步的分析表明,雌性胚胎从胚胎第 8.5 天(E8.5)开始选择性退化。小 RNA 深度测序、qPCR 和原位杂交分析表明,X 连锁簇编码的 miRNAs 主要定位于胚胎外组织/发育胎盘。RNA-seq 分析鉴定了改变的 mRNA 转录组,其特征是许多关键胎盘基因(例如,在 E7.5 的 KO 胚胎中失调。总之,本研究表明 X 连锁簇对于正常的雌性胎盘发育是必需的,并且敲除 X 连锁簇 miRNA 簇会导致偏向雄性(约 60%)的性别比例,这是由于雌性胚胎的选择性退化和吸收。

https://cdn.ncbi.nlm.nih.gov/pmc/blobs/6cc4/9167928/e79a84b652d1/fendo-13-893854-g001.jpg

文献AI研究员

20分钟写一篇综述,助力文献阅读效率提升50倍。

立即体验

用中文搜PubMed

大模型驱动的PubMed中文搜索引擎

马上搜索

文档翻译

学术文献翻译模型,支持多种主流文档格式。

立即体验