Suppr超能文献

一名9岁儿童穿透性创伤后孤立性头臂动脉破裂——病例报告

An isolated brachiocephalic artery rupture on penetrating trauma in a 9-year-Old child - A case report.

作者信息

Ardianti Meirisa, Hayuningrat Prima Kharisma, Yarso Kristanto Yuli

机构信息

Department of Surgery, Faculty of Medicine, Universitas Sebelas Maret Surakarta, Indonesia.

Department of Surgery, Division of Cardiothoracic and Vascular Surgery, Faculty of Medicine, Universitas Sebelas Maret Surakarta, Indonesia.

出版信息

Ann Med Surg (Lond). 2022 May 16;78:103789. doi: 10.1016/j.amsu.2022.103789. eCollection 2022 Jun.

Abstract

INTRODUCTION AND IMPORTANCE

A stab or penetrating wound is one of the etiologies of chest trauma. In the case of penetrating chest trauma, assessment of probable major vascular injuries must be done. Thoracic, vascular injuries, in particular brachiocephalic rupture, require the surgeon to make swift decisions for repair as the wrong approach or incision could quickly lead to mortality.

CASE PRESENTATION

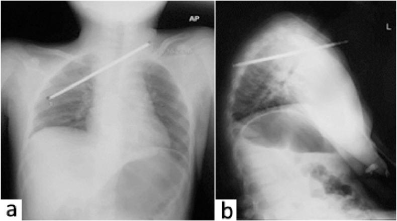
Here, we report a case of a hemodynamically stable 9-year-old boy presenting with a stab wound by a fishing arrow. CT scan showed the fishing arrow projection at the suprasternal notch extended to the right hemithorax where the tip was near the brachiocephalic artery posterior wall. A sternotomy exploration and preservation of the proximal brachiocephalic artery, subclavian artery, and common carotid artery was done. We found a 0.5 cm rupture on the brachiocephalic truncus and performed a direct suture repair.

DISCUSSION

Through this case, we present a vascular technique repair after the major thoracic artery rupture caused by a stab or penetrating wound. The principle of artery repair is to save the proximal and distal end of the ruptured artery, followed by a further safe and precise procedure.

CONCLUSION

The overall combination of approaches of chest trauma by a penetrating wound and vascular injury like brachiocephalic rupture without pseudoaneurysm or other asymptomatic high risks of vascular injury resulted in a satisfactory evaluation. In this case, leaving the arrow undisturbed is the key to the success of the first aid management before the patient is sent to the operating room.

摘要

引言与重要性

刺伤或穿透伤是胸部创伤的病因之一。对于穿透性胸部创伤,必须评估可能存在的主要血管损伤。胸部血管损伤,尤其是头臂干破裂,要求外科医生迅速做出修复决策,因为错误的入路或切口可能很快导致死亡。

病例报告

在此,我们报告一例血流动力学稳定的9岁男孩,因鱼叉刺伤就诊。CT扫描显示鱼叉从胸骨上切迹刺入,延伸至右半胸,尖端靠近头臂干动脉后壁。进行了胸骨切开探查,并保留了近端头臂干动脉、锁骨下动脉和颈总动脉。我们发现头臂干有一处0.5厘米的破裂,并进行了直接缝合修复。

讨论

通过本病例,我们展示了刺伤或穿透伤导致主要胸动脉破裂后的血管修复技术。动脉修复的原则是保留破裂动脉的近端和远端,随后进行进一步安全、精确的操作。

结论

穿透伤导致的胸部创伤与头臂干破裂等血管损伤(无假性动脉瘤或其他无症状的高风险血管损伤)的综合处理方法,取得了满意的评估结果。在本病例中,在患者被送往手术室之前,不扰动鱼叉是急救处理成功的关键。

https://cdn.ncbi.nlm.nih.gov/pmc/blobs/3214/9207003/fd73559e3c2c/gr1.jpg

文献AI研究员

20分钟写一篇综述,助力文献阅读效率提升50倍。

立即体验

用中文搜PubMed

大模型驱动的PubMed中文搜索引擎

马上搜索

文档翻译

学术文献翻译模型,支持多种主流文档格式。

立即体验