Institute of Molecular Medicine, College of Future Technology, Beijing Key Laboratory of Cardiometabolic Molecular Medicine, Peking University, Beijing, China.
Department of Biochemistry and Molecular Cell Biology, Key Laboratory of Cell Differentiation and Apoptosis of the Chinese Ministry of Education, Shanghai Jiao Tong University School of Medicine, Shanghai, China.
Blood Adv. 2022 Aug 9;6(15):4537-4552. doi: 10.1182/bloodadvances.2022008011.
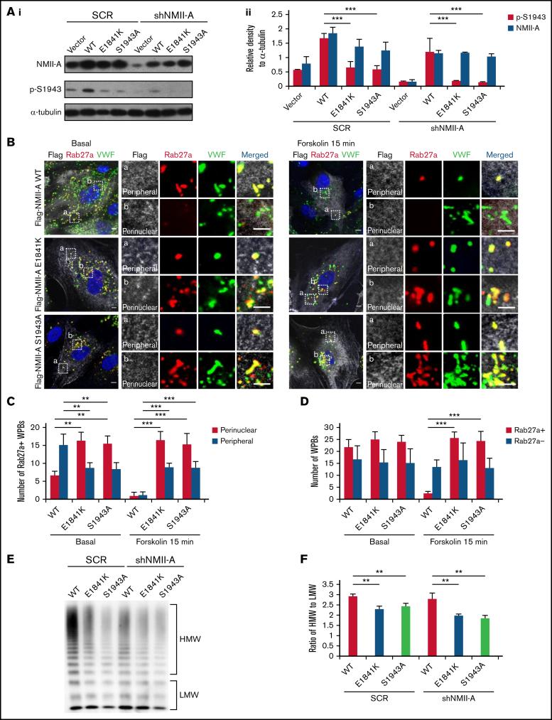
Mutations in MYH9, the gene encoding the heavy chain of nonmuscle myosin IIa (NMII-A), cause MYH9-related disease (MYH9-RD), which is an autosomal-dominant thrombocytopenia with bleeding tendency. Previously, we showed that NMII-A in endothelial cells (ECs) is critical for hemostasis via regulating von Willebrand factor (VWF) release from Weibel-Palade bodies (WPBs). The aim of this study was to determine the role of the expression of MYH9 mutants in ECs in the pathogenesis of the MYH9-RD bleeding symptom. First, we expressed the 5 most common NMII-A mutants in ECs and found that E1841K mutant-expressing ECs secreted less VWF than the controls in response to a cyclic adenosine monophosphate (cAMP) signaling agonist. Then, we generated 2 knockin mouse lines, 1 with Myh9 E1841K in ECs and the other in megakaryocytes. Endothelium-specific E1841K mice exhibited impaired cAMP-induced VWF release and a prolonged bleeding time with normal platelets, whereas megakaryocyte-specific E1841K mice exhibited macrothrombocytopenia and a prolonged bleeding time with normal VWF release. Finally, we presented mechanistic findings that E1841K mutation not only interferes with S1943 phosphorylation and impairs the peripheral distribution of Rab27a-positive WPBs in Ecs under quiescent condition but also interferes with S1916 phosphorylation by disrupting the interaction with zyxin and CKIIα and reduces actin framework formation around WPBs and subsequent VWF secretion under the stimulation by a cAMP agonist. Altogether, our results suggest that impaired cAMP-induced endothelial VWF secretion by E1841K mutant expression may contribute to the MYH9-RD bleeding phenotype.
MYH9 基因编码非肌肉肌球蛋白 IIa(NMII-A)重链的突变导致 MYH9 相关疾病(MYH9-RD),这是一种常染色体显性遗传的血小板减少伴出血倾向。先前,我们表明内皮细胞(ECs)中的 NMII-A 通过调节 Weibel-Palade 体(WPB)中 von Willebrand 因子(VWF)的释放对止血至关重要。本研究旨在确定 ECs 中 MYH9 突变体的表达在 MYH9-RD 出血症状发病机制中的作用。首先,我们在 ECs 中表达了 5 种最常见的 NMII-A 突变体,发现与对照相比,E1841K 突变体表达的 ECs 在环磷酸腺苷(cAMP)信号激动剂的刺激下分泌的 VWF 较少。然后,我们生成了 2 个敲入鼠系,1 个在 ECs 中具有 Myh9 E1841K,另 1 个在巨核细胞中。内皮细胞特异性 E1841K 小鼠表现出 cAMP 诱导的 VWF 释放受损和出血时间延长,而血小板正常,而巨核细胞特异性 E1841K 小鼠表现出巨血小板减少症和 VWF 释放正常的出血时间延长。最后,我们提出了机制发现,E1841K 突变不仅干扰 S1943 磷酸化并在静息状态下损害 EC 中 Rab27a 阳性 WPB 的外周分布,而且通过破坏与 zyxin 和 CKIIα 的相互作用并减少围绕 WPB 的肌动蛋白框架形成并随后减少 cAMP 激动剂刺激下的 VWF 分泌,干扰 S1916 磷酸化。总之,我们的研究结果表明,E1841K 突变体表达导致 cAMP 诱导的内皮 VWF 分泌受损可能导致 MYH9-RD 出血表型。