Suppr超能文献

小儿血液系统疾病中枢神经系统受累的影像学表现

Imaging of Central Nervous System Involvement in Pediatric Hematologic Disorders.

作者信息

Kalın Sevinç, Koral Korgün

机构信息

Department of Pediatric Radiology, University of Health Sciences Umraniye Training and Research Hospital, İstanbul, Turkey.

Division of Pediatric Radiology, University of Texas Southwestern Medical Center, Texas, USA.

出版信息

Turk Arch Pediatr. 2022 May;57(3):267-281. doi: 10.5152/TurkArchPediatr.2022.22085.

Abstract

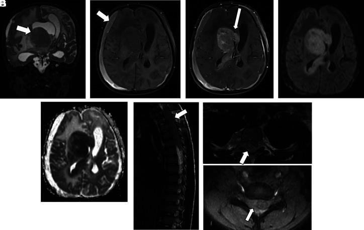
Hematologic disorders and malignancies are commonly encountered in children. The central nervous system is affected by many benign and malignant hematological diseases. Neurologic findings may occur due to central involvement of hematological disease or neurotoxic effects of treatment during the disease. At all these stages, radiological imaging and evaluation have a critical role. In this review article, we aim to describe the imaging findings of central nervous system involvement in pediatric hematologic diseases. This review was prepared based on the latest literature available in the PubMed database in the English language from inception to March 2022. The radiological images of the patients in our archive were obtained from the PACS (Picture Archiving and Communication Systems) to set an example for the diseases described in the text.

摘要

血液系统疾病和恶性肿瘤在儿童中很常见。中枢神经系统会受到许多良性和恶性血液疾病的影响。神经系统表现可能是由于血液疾病的中枢受累或疾病治疗期间的神经毒性作用所致。在所有这些阶段,放射学成像和评估都起着关键作用。在这篇综述文章中,我们旨在描述儿童血液系统疾病中枢神经系统受累的影像学表现。这篇综述是根据PubMed数据库中从创建到2022年3月以英文提供的最新文献编写的。我们档案中患者的放射学图像是从PACS(图像存档与通信系统)获取的,以便为文中描述的疾病提供示例。

https://cdn.ncbi.nlm.nih.gov/pmc/blobs/09e7/9131816/70dff8710ad7/tap-57-3-267_f001.jpg

文献AI研究员

20分钟写一篇综述,助力文献阅读效率提升50倍。

立即体验

用中文搜PubMed

大模型驱动的PubMed中文搜索引擎

马上搜索

文档翻译

学术文献翻译模型,支持多种主流文档格式。

立即体验