Suppr超能文献

系统饮食桔皮苷对小鼠破骨细胞生成、骨稳态和牙周病的调节作用。

Systemic Dietary Hesperidin Modulation of Osteoclastogenesis, Bone Homeostasis and Periodontal Disease in Mice.

机构信息

Division of Comprehensive Oral Health, School of Dentistry, Adams School of Dentistry, University of North Carolina at Chapel Hill, Chapel Hill, NC 27599-7455, USA.

Adams School of Dentistry, University of North Carolina at Chapel Hill, Chapel Hill, NC 27599-7455, USA.

出版信息

Int J Mol Sci. 2022 Jun 26;23(13):7100. doi: 10.3390/ijms23137100.

Abstract

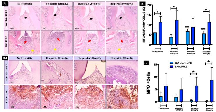
This study aimed to evaluate the effects of hesperidin (HE) on in vitro osteoclastogenesis and dietary supplementation on mouse periodontal disease and femoral bone phenotype. RAW 264.7 cells were stimulated with RANKL in the presence or absence of HE (1, 100 or 500 µM) for 5 days, and evaluated by TRAP, TUNEL and Western Blot (WB) analyses. In vivo, C57BL/6 mice were given HE via oral gavage (125, 250 and 500 mg/kg) for 4 weeks. A sterile silk ligature was placed between the first and second right maxillary molars for 10 days and microcomputed tomography (μCT), histopathological and immunohistochemical evaluation were performed. Femoral bones subjected or not to dietary HE (500 mg/kg) for 6 and 12 weeks were evaluated using μCT. In vitro, HE 500 µM reduced formation of RANKL-stimulated TRAP-positive(+) multinucleated cells (500 µM) as well as c-Fos and NFATc1 protein expression (p < 0.05), markers of osteoclasts. In vivo, dietary HE 500 mg/kg increased the alveolar bone resorption in ligated teeth (p < 0.05) and resulted in a significant increase in TRAP+ cells (p < 0.05). Gingival inflammatory infiltrate was greater in the HE 500 mg/kg group even in the absence of ligature. In femurs, HE 500 mg/kg protected trabecular and cortical bone mass at 6 weeks of treatment. In conclusion, HE impaired in vitro osteoclastogenesis, but on the contrary, oral administration of a high concentration of dietary HE increased osteoclast numbers and promoted inflammation-induced alveolar bone loss. However, HE at 500 mg/kg can promote a bone-sparing effect on skeletal bone under physiological conditions.

摘要

本研究旨在评估橙皮苷(HE)对体外破骨细胞生成的影响,以及饮食补充对小鼠牙周病和股骨骨表型的影响。RAW 264.7 细胞在存在或不存在 HE(1、100 或 500µM)的情况下用 RANKL 刺激 5 天,并通过 TRAP、TUNEL 和 Western Blot(WB)分析进行评估。在体内,C57BL/6 小鼠通过口服灌胃给予 HE(125、250 和 500mg/kg)4 周。用无菌丝线结扎第一和第二右上颌磨牙之间 10 天,并进行微计算机断层扫描(μCT)、组织病理学和免疫组织化学评估。用或不用饮食 HE(500mg/kg)处理 6 和 12 周的股骨进行 μCT 评估。在体外,HE 500µM 减少 RANKL 刺激的 TRAP 阳性(+)多核细胞的形成(500µM)以及 c-Fos 和 NFATc1 蛋白表达(p<0.05),这些都是破骨细胞的标志物。在体内,饮食 HE 500mg/kg 增加结扎牙的牙槽骨吸收(p<0.05),并导致 TRAP+细胞显著增加(p<0.05)。即使没有结扎,HE 500mg/kg 组的牙龈炎症浸润也更大。在股骨中,HE 500mg/kg 在治疗 6 周时保护了小梁和皮质骨量。总之,HE 抑制体外破骨细胞生成,但相反,高浓度饮食 HE 的口服给药增加了破骨细胞数量,并促进了炎症诱导的牙槽骨丢失。然而,在生理条件下,HE 500mg/kg 可以对骨骼骨产生保骨作用。

https://cdn.ncbi.nlm.nih.gov/pmc/blobs/a3ad/9266620/7db14c45c510/ijms-23-07100-g001.jpg

文献AI研究员

20分钟写一篇综述,助力文献阅读效率提升50倍。

立即体验

用中文搜PubMed

大模型驱动的PubMed中文搜索引擎

马上搜索

文档翻译

学术文献翻译模型,支持多种主流文档格式。

立即体验