Suppr超能文献

催乳素诱导蛋白而非催乳素存在于人类泪液中,参与泪膜质量的维持,并影响蒸发过强型干眼疾病。

Prolactin Inducible Protein, but Not Prolactin, Is Present in Human Tears, Is Involved in Tear Film Quality, and Influences Evaporative Dry Eye Disease.

作者信息

Jüngert Katharina, Paulsen Friedrich, Jacobi Christina, Horwath-Winter Jutta, Garreis Fabian

机构信息

Department of Functional and Clinical Anatomy, Friedrich-Alexander-Universität Erlangen-Nürnberg (FAU), Erlangen, Germany.

Eyes and Skin Practice Dr. Jacobi, Nürnberg, Germany.

出版信息

Front Med (Lausanne). 2022 Jun 30;9:892831. doi: 10.3389/fmed.2022.892831. eCollection 2022.

Abstract

PURPOSE

Decreased production of the aqueous component of the tear film is an important cause of the development of dry eye disease (DED). Tear production is influenced by hormones and hormone-like factors. Prolactin (PLR), a multifunctional pituitary gland hormone, is regularly present in the lacrimal gland of rats and rabbits. In humans, serum PLR concentration correlates with tear quality. To gain deeper insights of possible effects of PRL, prolactin receptor (PRLR) and prolactin inducible protein (PIP), we analyzed the three proteins in the human lacrimal apparatus and in reflex tears of healthy volunteers as well as patients suffering from DED.

METHODS

Gene expression of PRLR and PIP was analyzed by RT-PCR in cadaveric human lacrimal gland and ocular surface tissues, immortalized human corneal epithelial cells (HCE and hTEPI) and human Meibomian gland epithelial cells (HMGECs). At the protein level, the expression and localization of PRL, PRLR and PIP in formalin-fixed paraffin sections of the lacrimal apparatus were studied by immunohistochemistry. In addition, tear fluid from DED patients and healthy volunteers was analyzed by ELISA to determine the concentration of PRL and PIP.

RESULTS

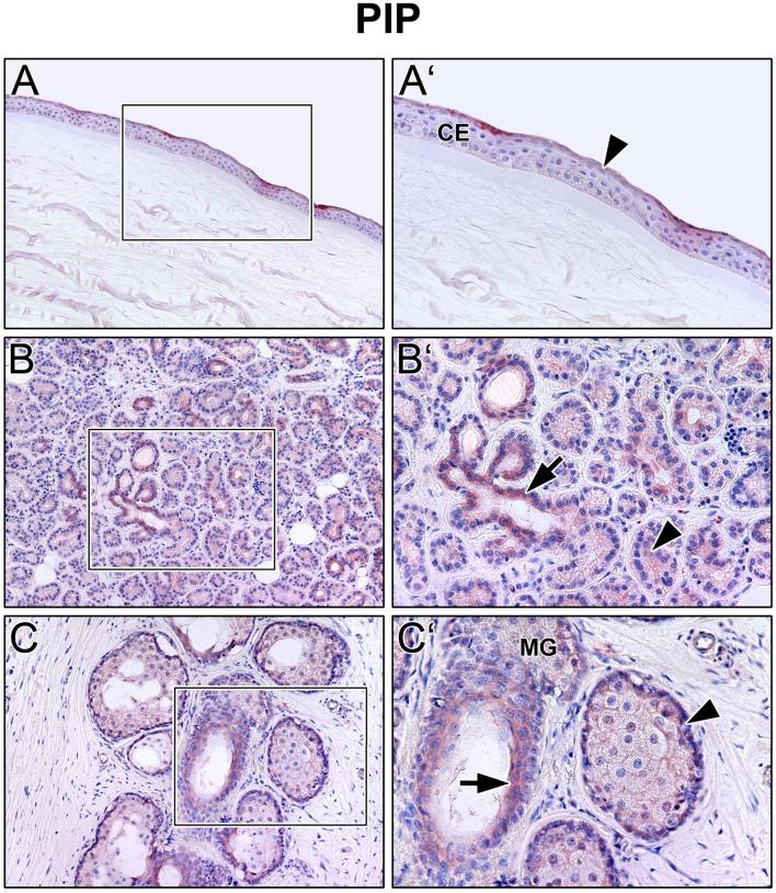
RT-PCR analyses revealed gene expression of PRLR and PIP in human tissue samples of cornea, lacrimal glands, and eyelids, whereas only PIP, but not PRLR, was detectable in immortalized corneal epithelial cells. Immunohistochemistry revealed for the first time the expression and localization of PRL, PRLR, and PIP in human tissues of the lacrimal apparatus and at the ocular surface. PRL and PRLR were detectable in corneal epithelium, lacrimal glands, and Meibomian glands. Reflex tears from DED patients revealed significantly increased PIP concentrations, whereas PRL was undetectable in tears of DED patients and healthy volunteers.

CONCLUSION

PRL, PRLR, and PIP are found in the lacrimal apparatus and on the ocular surface. PIP, but not PRL, is present in human tears and appears to be involved in the physiology of tear film quality. Our clinical data revealed that PIP may affect tear quality, but further functional analyses are needed to fully elucidate the effects of PRL and PIP-associated factors in tear secretion as well as in the connection of DED.

摘要

目的

泪膜水样成分分泌减少是干眼症(DED)发生发展的重要原因。泪液分泌受激素及类激素因子影响。催乳素(PLR)是一种多功能垂体激素,正常存在于大鼠和家兔的泪腺中。在人类中,血清PLR浓度与泪液质量相关。为更深入了解催乳素(PRL)、催乳素受体(PRLR)和催乳素诱导蛋白(PIP)的可能作用,我们分析了健康志愿者及DED患者的人泪器组织和反射性泪液中的这三种蛋白。

方法

采用逆转录聚合酶链反应(RT-PCR)分析PRLR和PIP在人尸体泪腺和眼表组织、永生化人角膜上皮细胞(HCE和hTEPI)以及人睑板腺上皮细胞(HMGECs)中的基因表达。在蛋白质水平,通过免疫组织化学研究PRL、PRLR和PIP在泪器福尔马林固定石蜡切片中的表达及定位。此外,采用酶联免疫吸附测定(ELISA)分析DED患者和健康志愿者的泪液,以确定PRL和PIP的浓度。

结果

RT-PCR分析显示,PRLR和PIP在人角膜、泪腺和眼睑组织样本中有基因表达,而在永生化角膜上皮细胞中仅可检测到PIP,未检测到PRLR。免疫组织化学首次揭示了PRL、PRLR和PIP在人泪器组织和眼表的表达及定位。在角膜上皮、泪腺和睑板腺中可检测到PRL和PRLR。DED患者的反射性泪液显示PIP浓度显著升高,而在DED患者和健康志愿者的泪液中未检测到PRL。

结论

在泪器组织和眼表发现了PRL、PRLR和PIP。PIP存在于人类泪液中,而PRL不存在,且似乎参与泪膜质量的生理过程。我们的临床数据显示PIP可能影响泪液质量,但需要进一步的功能分析以全面阐明PRL和PIP相关因子在泪液分泌以及与DED关联中的作用。

https://cdn.ncbi.nlm.nih.gov/pmc/blobs/331d/9279896/542cfb360b10/fmed-09-892831-g0001.jpg

文献AI研究员

20分钟写一篇综述,助力文献阅读效率提升50倍。

立即体验

用中文搜PubMed

大模型驱动的PubMed中文搜索引擎

马上搜索

文档翻译

学术文献翻译模型,支持多种主流文档格式。

立即体验