Suppr超能文献

利用两阶段深度学习模型识别非对比 CT 中的早期隐匿性急性缺血性脑卒中。

Identification of early invisible acute ischemic stroke in non-contrast computed tomography using two-stage deep-learning model.

机构信息

Department of Radiology, Tongji Hospital, Tongji Medical College, Huazhong University of Science and Technology, Wuhan, China.

Department of CT & MRI, The First Affiliated Hospital, College of Medicine, Shihezi University, Shihezi, China.

出版信息

Theranostics. 2022 Jul 18;12(12):5564-5573. doi: 10.7150/thno.74125. eCollection 2022.

Abstract

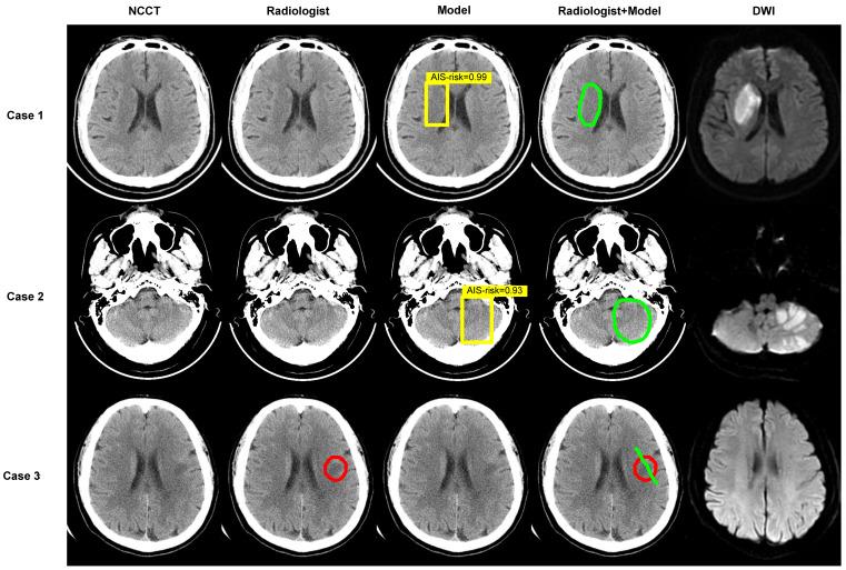
Although non-contrast computed tomography (NCCT) is the recommended examination for the suspected acute ischemic stroke (AIS), it cannot detect significant changes in the early infarction. We aimed to develop a deep-learning model to identify early invisible AIS in NCCT and evaluate its diagnostic performance and capacity for assisting radiologists in decision making. : In this multi-center, multi-manufacturer retrospective study, 1136 patients with suspected AIS but invisible lesions in NCCT were collected from two geographically distant institutions between May 2012 to May 2021. The AIS lesions were confirmed based on the follow-up diffusion-weighted imaging and clinical diagnosis. The deep-learning model was comprised of two deep convolutional neural networks to locate and classify. The performance of the model and radiologists was evaluated by the area under the receiver operator characteristic curve (AUC), sensitivity, specificity, and accuracy values with 95% confidence intervals. Delong's test was used to compare the AUC values, and a chi-squared test was used to evaluate the rate differences. 986 patients (728 AIS, median age, 55 years, interquartile range [IQR]: 47-65 years; 664 males) were assigned to the training and internal validation cohorts. 150 patients (74 AIS, median age, 63 years, IQR: 53-75 years; 100 males) were included as an external validation cohort. The AUCs of the model were 83.61% (sensitivity, 68.99%; specificity, 98.22%; and accuracy, 89.87%) and 76.32% (sensitivity, 62.99%; specificity, 89.65%; and accuracy, 88.61%) for the internal and external validation cohorts based on the slices. The AUC of the model was much higher than that of two experienced radiologists (65.52% and 59.48% in the internal validation cohort; 64.01% and 64.39% in external validation cohort; all < 0.001). The accuracy of two radiologists increased from 62.00% and 58.67% to 92.00% and 84.67% when assisted by the model for patients in the external validation cohort. : This deep-learning model represents a breakthrough in solving the challenge that early invisible AIS lesions cannot be detected by NCCT. The model we developed in this study can screen early AIS and save more time. The radiologists assisted with the model can provide more effective guidance in making patients' treatment plan in clinic.

摘要

虽然非对比计算机断层扫描 (NCCT) 是疑似急性缺血性脑卒中 (AIS) 的推荐检查方法,但它不能检测到早期梗死的显著变化。我们旨在开发一种深度学习模型,以识别 NCCT 中的早期隐匿性 AIS,并评估其诊断性能和协助放射科医生决策的能力。:在这项多中心、多制造商的回顾性研究中,从 2012 年 5 月至 2021 年 5 月,从两个地理位置较远的机构共收集了 1136 名疑似 AIS 但 NCCT 未见病灶的患者。根据随访弥散加权成像和临床诊断,确定 AIS 病灶。深度学习模型由两个深度卷积神经网络组成,用于定位和分类。通过受试者工作特征曲线下面积 (AUC)、敏感性、特异性和准确性值及其 95%置信区间评估模型和放射科医生的性能。使用 Delong 检验比较 AUC 值,使用卡方检验评估率差异。986 名患者(728 名 AIS,中位年龄 55 岁,四分位距 [IQR]:47-65 岁;664 名男性)被分配到训练和内部验证队列。150 名患者(74 名 AIS,中位年龄 63 岁,IQR:53-75 岁;100 名男性)被纳入外部验证队列。基于切片,模型的 AUC 分别为 83.61%(敏感性 68.99%;特异性 98.22%;准确性 89.87%)和 76.32%(敏感性 62.99%;特异性 89.65%;准确性 88.61%)在内部和外部验证队列中。模型的 AUC 明显高于两名有经验的放射科医生(内部验证队列中分别为 65.52%和 59.48%;外部验证队列中分别为 64.01%和 64.39%;均<0.001)。当外部验证队列中的患者使用模型辅助时,两名放射科医生的准确率从 62.00%和 58.67%提高到 92.00%和 84.67%。:该深度学习模型代表了在解决 NCCT 无法检测早期隐匿性 AIS 病变的挑战方面的突破。我们在这项研究中开发的模型可以筛选早期 AIS 并节省更多时间。使用模型辅助的放射科医生可以在临床中为患者制定治疗计划提供更有效的指导。

https://cdn.ncbi.nlm.nih.gov/pmc/blobs/8dda/9330528/c079be570747/thnov12p5564g001.jpg

文献AI研究员

20分钟写一篇综述,助力文献阅读效率提升50倍。

立即体验

用中文搜PubMed

大模型驱动的PubMed中文搜索引擎

马上搜索

文档翻译

学术文献翻译模型,支持多种主流文档格式。

立即体验