Suppr超能文献

脾曲扭转:一例罕见病例报告。

Splenic flexure volvulus: a rare case report.

作者信息

Umbu Landry, Muttana Swathi, Best Karimah, Kamagate Nadia, DeVito Peter

机构信息

Department of Surgery, Trumbull Regional Medical Center, Warren, OH, USA.

Department of Surgery, American University of Antigua, College of Medicine, New York, NY, USA.

出版信息

J Surg Case Rep. 2022 Jul 31;2022(7):rjac354. doi: 10.1093/jscr/rjac354. eCollection 2022 Jul.

Abstract

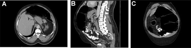
Colonic volvulus, where the colon twists around its mesentery, commonly occurs in the sigmoid and cecum. However, colonic volvulus of the splenic flexure is quite rare. Reported cases are limited but suggest that prolonged constipation in patients with either congenital anomalies, history of prior abdominal surgery, and or psychiatric history are described as common risk factors for large bowel volvulus. Here, we discuss a case of a 56-year-old man with a history of chronic constipation and no previous abdominal surgeries who presented to the emergency department with abdominal pain and distention. Further workup including a computed tomography imaging and decompressive via limited colonoscopy confirmed diagnosis of colonic volvulus of the splenic flexure. Surgical management of colonic volvulus is patient specific but invariably involves partial colectomy, as was performed in this case.

摘要

结肠扭转是指结肠围绕其肠系膜扭转,常见于乙状结肠和盲肠。然而,脾曲结肠扭转相当罕见。报道的病例有限,但提示先天性异常、既往腹部手术史或精神病史患者长期便秘被描述为大肠扭转的常见危险因素。在此,我们讨论一例56岁男性病例,该患者有慢性便秘史,既往无腹部手术史,因腹痛和腹胀就诊于急诊科。进一步检查包括计算机断层扫描成像和通过有限结肠镜减压,确诊为脾曲结肠扭转。结肠扭转的手术治疗因患者而异,但通常包括部分结肠切除术,本病例即如此。

https://cdn.ncbi.nlm.nih.gov/pmc/blobs/aa71/9341306/22b08f66d69d/rjac354f1.jpg

文献AI研究员

20分钟写一篇综述,助力文献阅读效率提升50倍。

立即体验

用中文搜PubMed

大模型驱动的PubMed中文搜索引擎

马上搜索

文档翻译

学术文献翻译模型,支持多种主流文档格式。

立即体验