Ackerman Devon, Phan Chandat, Kuroki Marcos, Helm Matthew, Jeganathan Nimalan A
College of Medicine, Penn State Health Milton S. Hershey Medical Center, Hershey, USA.
General Surgery, Penn State Health Milton S. Hershey Medical Center, Hershey, USA.
Cureus. 2022 Jul 1;14(7):e26498. doi: 10.7759/cureus.26498. eCollection 2022 Jul.
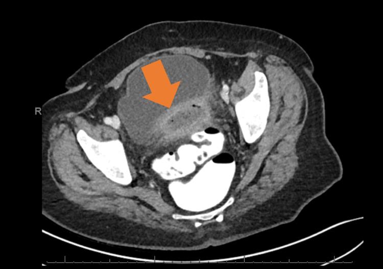
Neutrophilic dermatosis (ND) is a category of diseases characterized by trauma-induced, autoinflammatory cutaneous eruption. Comorbid systemic disease is common with a predilection for malignancy, inflammatory bowel disease, and rheumatologic disease. Rarely, it can manifest with aseptic shock, an entity referred to as necrotizing neutrophilic dermatosis (NND). NND may occur in the postoperative setting and is often misdiagnosed as a necrotizing soft tissue infection. Unfortunately, the treatment for a necrotizing soft tissue infection, namely, wide debridement, is often detrimental in the setting of NND. We present the case of a woman with underlying myelodysplastic syndrome who developed episodic postoperative hemodynamic collapse followed by delayed necrotic peristomal ulceration following colonic diversion for complicated diverticulitis. Infectious workup and operative re-exploration were unrevealing. Pathologic assessment of affected skin tissue showed changes consistent with ND, ultimately leading to the diagnosis of NND. Her clinical course dramatically improved with the initiation of immunosuppressive therapy. The mimicry of NND to a potentially lethal necrotizing soft-tissue infection creates a grave diagnostic dilemma in the postoperative period. A general lack of knowledge of NND among non-dermatologic specialists produces an opportunity for misdiagnosis and inappropriate surgical interventions, namely, serial debridement. Several clinical cues may aid in the earlier recognition of NND. The cornerstone of treatment involves systemic corticosteroid therapy with adjunctive therapy for refractory cases. NND must be considered in the differential diagnosis of necrotizing soft tissue infection as early recognition may result in the avoidance of deleterious surgical interventions.
中性粒细胞性皮肤病(ND)是一类以创伤诱导的自身炎症性皮肤发疹为特征的疾病。合并全身性疾病很常见,尤其易发生于恶性肿瘤、炎症性肠病和风湿性疾病。ND很少表现为无菌性休克,这种情况被称为坏死性中性粒细胞性皮肤病(NND)。NND可能发生在术后,常被误诊为坏死性软组织感染。不幸的是,针对坏死性软组织感染的治疗方法,即广泛清创,在NND的情况下往往是有害的。我们报告一例患有潜在骨髓增生异常综合征的女性病例,该患者在因复杂性憩室炎行结肠改道术后出现发作性血流动力学崩溃,随后出现延迟性坏死性造口周围溃疡。感染性检查和再次手术探查均未发现病因。对受影响皮肤组织的病理评估显示与ND一致的变化,最终确诊为NND。免疫抑制治疗开始后,她的临床病程显著改善。NND与潜在致命的坏死性软组织感染相似,在术后造成了严重的诊断困境。非皮肤科专科医生普遍缺乏对NND的了解,这为误诊和不适当的手术干预(即连续清创)创造了机会。一些临床线索可能有助于更早识别NND。治疗的基石包括全身用糖皮质激素治疗,难治性病例可辅助其他治疗。在坏死性软组织感染的鉴别诊断中必须考虑NND,因为早期识别可能避免有害的手术干预。