Faizi Fazel Rahman, Farzam Farhad
Radiology Department, Kabul University of Medical Sciences, Aliabad, Jamal Mina, Kabul 1006, Afghanistan.
Radiol Case Rep. 2022 Jun 2;17(8):2754-2758. doi: 10.1016/j.radcr.2022.04.053. eCollection 2022 Aug.
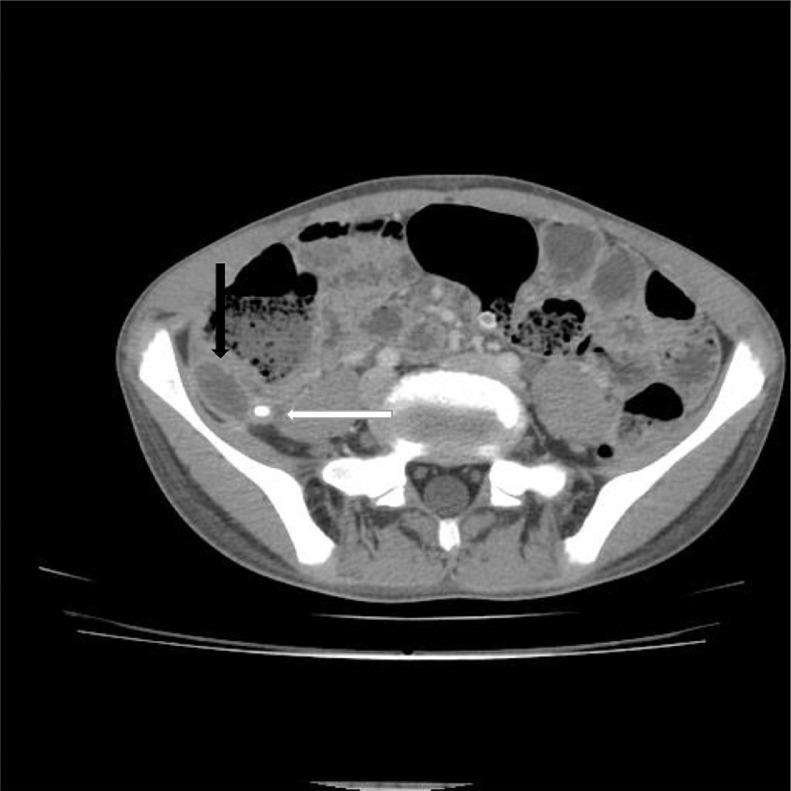
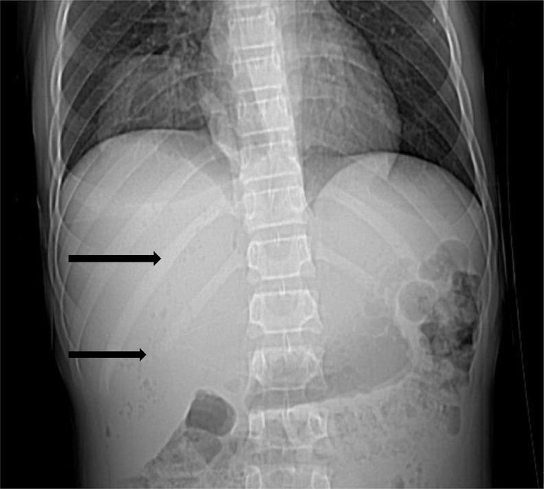
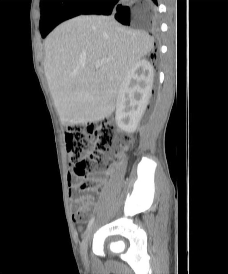
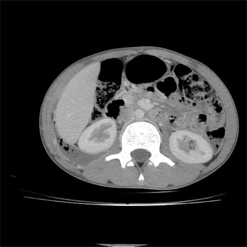
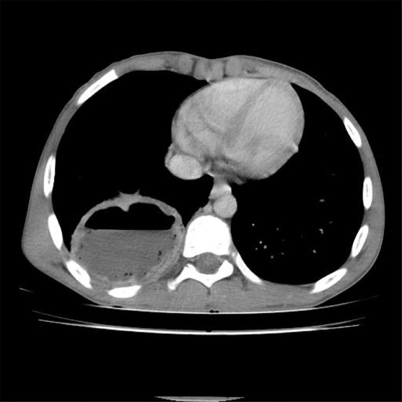
Retrocecal appendicitis usually presents with atypical signs and symptoms which may lead to delayed diagnosis, perforation and serious complications. Development of a large lung abscess secondary to perforation of retrocecal appendicitis in an adolescent patient is an extremely rare entity and to the best of our knowledge has not been described in literature. We present a 15-year-old boy with complaint of chest pain, cough, fever, vague abdominal pain and raised inflammatory markers who underwent CT examination. On CT, a collection with focal calcification was noted in the right iliac fossa that extended along the right retroperitoneum through the retrocrural space in the right lung base communicating with a cavitary pulmonary lesion with air-fluid level. A diagnosis of perforated retrocecal appendicitis with retroperitoneal and right lung abscesses was made. The patient underwent appendectomy and the entire retroperitoneal and lung abscesses were drained. A lung abscess as a complication of perforated retrocecal appendicitis should be in consideration in septic patients with thoracoabdominal infectious manifestations.
盲肠后位阑尾炎通常表现为非典型的体征和症状,这可能导致诊断延迟、穿孔及严重并发症。青少年患者因盲肠后位阑尾炎穿孔继发巨大肺脓肿是一种极其罕见的情况,据我们所知,文献中尚未有相关描述。我们报告一名15岁男孩,主诉胸痛、咳嗽、发热、腹部隐痛及炎症指标升高,接受了CT检查。CT显示右髂窝有一伴有局灶性钙化的积液,沿右腹膜后间隙延伸至右肺底的膈脚后间隙,与一个有气液平面的空洞性肺部病变相通。诊断为穿孔性盲肠后位阑尾炎伴腹膜后及右肺脓肿。患者接受了阑尾切除术,整个腹膜后及肺部脓肿均进行了引流。对于有胸腹感染表现的脓毒症患者,应考虑肺脓肿作为穿孔性盲肠后位阑尾炎的并发症。