Suppr超能文献

复发性咯血病例中感染所致支气管动脉-肺动脉分流

Bronchial Artery-Pulmonary Artery Shunt by Infection in a Recurrent Hemoptysis Case.

作者信息

Pang Yu, Hu Diefei, Dang Yiwu, Huang Siming, Qin Lanhui, Li Meng

机构信息

Department of Infectious Disease, First Affiliated Hospital of Guangxi Medical University, Nanning, Guangxi, 530021, People's Republic of China.

Department of Pathology, First Affiliated Hospital of Guangxi Medical University, Nanning, Guangxi, 530021, People's Republic of China.

出版信息

Infect Drug Resist. 2022 Aug 18;15:4611-4615. doi: 10.2147/IDR.S373615. eCollection 2022.

Abstract

BACKGROUND

is a rare mycotoxinivorans, and its pathogenicity is unknown. Bronchial artery shunt is a pathophysiological state following congenital or acquired chronic infection. We report a rare case of bronchial artery shunt by infection in a recurrent hemoptysis patient.

CASE PRESENTATION

A 45-year-old female presented with recurrent cough and hemoptysis for 4 years. Before admission, she had been treated in several hospitals for pulmonary tuberculosis and bronchiectasis and received standardized anti-tuberculosis treatment for 1 year, but it was ineffective. After admission, CTPA and bronchial arterial angiography showed left bronchial artery-left pulmonary artery shunt and right bronchial artery-right pulmonary artery shunt. Fiber-optic bronchoscopy was performed, which revealed a large amount of purulent secretions, bronchoalveolar lavage fluid fungi (1-3)-β-d glucan: 728.06, and GM test: 3.239. Fungal hyphae and spores were observed by gram staining of BALF smear. Acid-fast bacilli were not found in BALF smear and brush smear. Two consecutive BALF fungal cultures grew , the identity of which was confirmed by internal-transcribed-spacer (ITS) sequencing. Intravenous amphotericin B liposome (30mg; 0.5mg/kg, QD) was given for 2 weeks, embolization was performed, and itraconazole (voriconazole allergy) was taken orally for 9 months after operation. Hemoptysis and pulmonary lesions gradually improved after treatment.

CONCLUSION

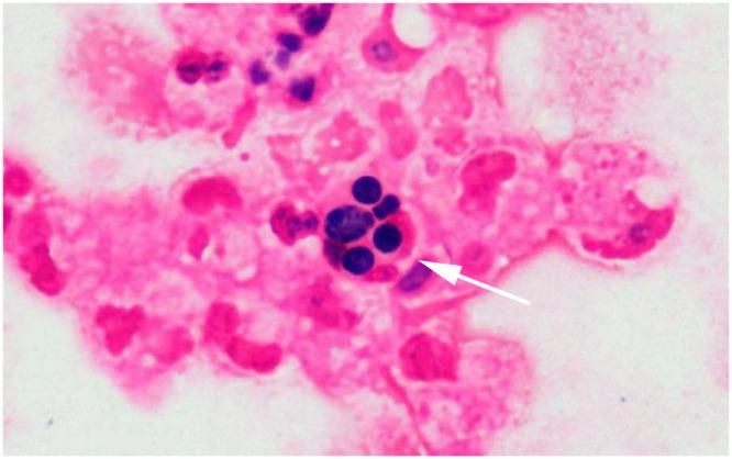
We report the first case of bronchial artery-pulmonary artery shunt in a patient diagnosed with infection. Phagocytosis of fungi by leukocytes was observed, and the pathogenicity of the fungus was confirmed in order to heighten the awareness of these infections.

摘要

背景

是一种罕见的食真菌毒素菌,其致病性尚不清楚。支气管动脉分流是先天性或后天性慢性感染后的一种病理生理状态。我们报告一例复发性咯血患者因感染导致支气管动脉分流的罕见病例。

病例介绍

一名45岁女性,反复咳嗽、咯血4年。入院前,她曾在多家医院接受肺结核和支气管扩张症治疗,并接受了1年的标准化抗结核治疗,但无效。入院后,CTPA和支气管动脉造影显示左支气管动脉-左肺动脉分流和右支气管动脉-右肺动脉分流。进行了纤维支气管镜检查,发现大量脓性分泌物,支气管肺泡灌洗液真菌(1-3)-β-d葡聚糖:728.06,GM试验:3.239。BALF涂片革兰染色观察到真菌菌丝和孢子。BALF涂片和刷检涂片未发现抗酸杆菌。连续两次BALF真菌培养生长,其身份通过内转录间隔区(ITS)测序确认。给予静脉注射两性霉素B脂质体(30mg;0.5mg/kg,每日一次)2周,进行栓塞,术后口服伊曲康唑(伏立康唑过敏)9个月。治疗后咯血和肺部病变逐渐改善。

结论

我们报告了首例诊断为感染的患者发生支气管动脉-肺动脉分流的病例。观察到白细胞对真菌的吞噬作用,并确认了真菌的致病性,以提高对这些感染的认识。

https://cdn.ncbi.nlm.nih.gov/pmc/blobs/cda1/9395215/3a3fec4d5b95/IDR-15-4611-g0001.jpg

文献AI研究员

20分钟写一篇综述,助力文献阅读效率提升50倍。

立即体验

用中文搜PubMed

大模型驱动的PubMed中文搜索引擎

马上搜索

文档翻译

学术文献翻译模型,支持多种主流文档格式。

立即体验