Department of Neurology, Inselspital, University Hospital, Bern, Switzerland.
Department for BioMedical Research, University of Bern, Bern, Switzerland.
Acta Neuropathol. 2022 Nov;144(5):939-966. doi: 10.1007/s00401-022-02494-5. Epub 2022 Sep 19.
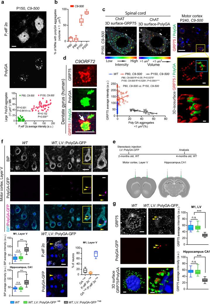
ER stress signaling is linked to the pathophysiological and clinical disease manifestations in amyotrophic lateral sclerosis (ALS). Here, we have investigated ER stress-induced adaptive mechanisms in C9ORF72-ALS/FTD, focusing on uncovering early endogenous neuroprotective mechanisms and the crosstalk between pathological and adaptive responses in disease onset and progression. We provide evidence for the early onset of ER stress-mediated adaptive response in C9ORF72 patient-derived motoneurons (MNs), reflected by the elevated increase in GRP75 expression. These transiently increased GRP75 levels enhance ER-mitochondrial association, boosting mitochondrial function and sustaining cellular bioenergetics during the initial stage of disease, thereby counteracting early mitochondrial deficits. In C9orf72 rodent neurons, an abrupt reduction in GRP75 expression coincided with the onset of UPR, mitochondrial dysfunction and the emergence of PolyGA aggregates, which co-localize with GRP75. Similarly, the overexpression of PolyGA in WT cortical neurons or C9ORF72 patient-derived MNs led to the sequestration of GRP75 within PolyGA inclusions, resulting in mitochondrial calcium (Ca) uptake impairments. Corroborating these findings, we found that PolyGA aggregate-bearing human post-mortem C9ORF72 hippocampal dentate gyrus neurons not only display reduced expression of GRP75 but also exhibit GRP75 sequestration within inclusions. Sustaining high GRP75 expression in spinal C9orf72 rodent MNs specifically prevented ER stress, normalized mitochondrial function, abrogated PolyGA accumulation in spinal MNs, and ameliorated ALS-associated behavioral phenotype. Taken together, our results are in line with the notion that neurons in C9ORF72-ALS/FTD are particularly susceptible to ER-mitochondrial dysfunction and that GRP75 serves as a critical endogenous neuroprotective factor. This neuroprotective pathway, is eventually targeted by PolyGA, leading to GRP75 sequestration, and its subsequent loss of function at the MAM, compromising mitochondrial function and promoting disease onset.
内质网应激信号与肌萎缩侧索硬化症(ALS)的病理生理和临床疾病表现有关。在这里,我们研究了 C9ORF72-ALS/FTD 中的内质网应激诱导的适应性机制,重点是揭示疾病发病和进展过程中病理性和适应性反应之间的早期内源性神经保护机制和串扰。我们提供的证据表明,C9ORF72 患者来源的运动神经元(MNs)中存在内质网应激介导的适应性反应的早期发生,这反映在 GRP75 表达的升高增加上。这些短暂增加的 GRP75 水平增强了 ER-线粒体的关联,增强了线粒体功能并在疾病的初始阶段维持细胞生物能学,从而抵消了早期的线粒体缺陷。在 C9orf72 啮齿动物神经元中,GRP75 表达的突然减少与 UPR、线粒体功能障碍和 PolyGA 聚集体的出现同时发生,这些聚集体与 GRP75 共定位。同样,WT 皮质神经元或 C9ORF72 患者来源的 MNs 中 PolyGA 的过表达导致 GRP75 在内含物中被隔离,导致线粒体钙(Ca)摄取受损。这些发现得到了证实,我们发现携带 PolyGA 聚集体的人类死后 C9ORF72 海马齿状回神经元不仅显示 GRP75 的表达减少,而且还显示 GRP75 在内含物中被隔离。在脊髓 C9orf72 啮齿动物 MNs 中维持高 GRP75 表达特异性地防止了内质网应激,使线粒体功能正常化,阻止了脊髓 MNs 中 PolyGA 的积累,并改善了与 ALS 相关的行为表型。总之,我们的结果与以下观点一致,即 C9ORF72-ALS/FTD 中的神经元特别容易发生内质网-线粒体功能障碍,GRP75 是一种关键的内源性神经保护因子。这种神经保护途径最终被 PolyGA 靶向,导致 GRP75 被隔离,随后其在 MAM 中的功能丧失,从而损害线粒体功能并促进疾病的发生。