Suppr超能文献

磨牙症患者使用增加咬合垂直距离的整体式氧化锆修复体进行全口义齿修复的1至8年回顾性随访研究。

Retrospective 1- to 8-Year Follow-Up Study of Complete Oral Rehabilitation Using Monolithic Zirconia Restorations with Increased Vertical Dimension of Occlusion in Patients with Bruxism.

作者信息

Matalon Shlomo, Heller Hadas, Beitlitum Ilan, Weinberg Evgeny, Emodi-Perlman Alona, Levartovsky Shifra

机构信息

Department of Oral Rehabilitation, The Maurice and Gabriela Goldschleger School of Dental Medicine, Sackler Faculty of Medicine, Tel Aviv University, Tel Aviv 6997801, Israel.

Department of Periodontology and Dental Implantology, Maurice and Gabriela Goldschleger School of Dental Medicine, Tel Aviv University, Tel Aviv 6997801, Israel.

出版信息

J Clin Med. 2022 Sep 9;11(18):5314. doi: 10.3390/jcm11185314.

Abstract

AIM

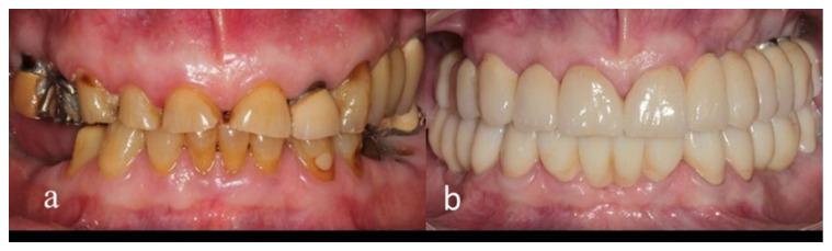
The aim of this paper is to perform a retrospective assessment of the clinical performance of the complete oral rehabilitation of patients with bruxism treated with implants and teeth-supported veneered and non-veneered monolithic zirconia restorations with increased occlusal vertical dimension.

METHODS

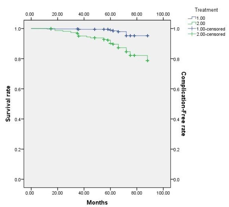
In this retrospective follow-up study, 16 bruxer patients, mean age 59.5 ± 14.9 years, were treated with 152 veneered and 229 non-veneered monolithic zirconia and followed for a mean of 58.8 ± 18.8 months (range 1-8 years). The patients were examined clinically and radiographically, annually. Clinical data were extracted from the medical records. In the recall appointments, modified California Dental Association (CDA) criteria were used to evaluate the restorations. Implant and restoration survival and success rates were recorded and analyzed.

RESULTS

The cumulative survival rates of implants and restorations were 97.7% and 97.6%, respectively. Nine restorations were replaced: three due to horizontal tooth fractures, two because of implant failure and four had secondary caries. A total of 43 biologic and technical complications were recorded. In the veneered group, the predominant complication was minor veneer chipping (16.4%), which required polishing only (grade 1). In the non-veneered group, the main complication was open proximal contacts between the implant restorations and adjacent teeth (14.5%).

CONCLUSIONS

The survival rates of restorations and implants in patients with bruxism are excellent, even though veneered zirconia restoration exhibited a high rate of minor veneer chipping, which required polishing only. The biologic complication of fractured single-tooth abutment may occur.

摘要

目的

本文旨在对磨牙症患者通过种植体及带饰面和不带饰面的整体式氧化锆修复体进行全口修复,并增加咬合垂直距离后的临床效果进行回顾性评估。

方法

在这项回顾性随访研究中,16例磨牙症患者,平均年龄59.5±14.9岁,接受了152个带饰面和229个不带饰面的整体式氧化锆修复体治疗,并平均随访58.8±18.8个月(范围1 - 8年)。每年对患者进行临床和影像学检查。临床数据从病历中提取。在复诊预约时,采用改良的加利福尼亚牙科协会(CDA)标准评估修复体。记录并分析种植体和修复体的存留率及成功率。

结果

种植体和修复体的累积存留率分别为97.7%和97.6%。9个修复体被替换:3个因水平向牙齿折断,2个因种植体失败,4个有继发龋。共记录了43例生物学和技术并发症。在带饰面组,主要并发症是饰面轻微崩瓷(16.4%),仅需打磨(1级)。在不带饰面组,主要并发症是种植体修复体与相邻牙齿之间的邻面接触开放(14.5%)。

结论

磨牙症患者修复体和种植体的存留率极佳,尽管带饰面的氧化锆修复体有较高的饰面轻微崩瓷率,仅需打磨。单颗牙基台折断的生物学并发症可能会发生。

https://cdn.ncbi.nlm.nih.gov/pmc/blobs/5966/9505144/908346a6d6c6/jcm-11-05314-g001.jpg

文献AI研究员

20分钟写一篇综述,助力文献阅读效率提升50倍。

立即体验

用中文搜PubMed

大模型驱动的PubMed中文搜索引擎

马上搜索

文档翻译

学术文献翻译模型,支持多种主流文档格式。

立即体验