Suppr超能文献

9号染色体三体合并严重先天性膈疝:一例报告并文献复习

Severe Congenital Diaphragmatic Hernia With Trisomy 9: A Case Report and Review of the Literature.

作者信息

Fuma Kazuya, Kotani Tomomi, Nakamura Noriyuki, Ushida Takafumi, Kajiyama Hiroaki

机构信息

Obstetrics and Gynecology, Nagoya University Graduate School of Medicine, Nagoya, JPN.

Obstetrics and Gynecology, Nagoya University Hospital, Nagoya, JPN.

出版信息

Cureus. 2022 Aug 25;14(8):e28395. doi: 10.7759/cureus.28395. eCollection 2022 Aug.

Abstract

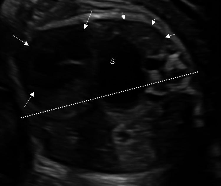
Congenital diaphragmatic hernia (CDH) is known to be complicated with various chromosomal abnormalities. However, the grade of pulmonary hypoplasia of CDH complicated by trisomy 9 is not known. This information is essential to the mother who has had a fetus with the same complication. We report a case of severe CDH with trisomy 9. The fetus had fetal growth restriction and multiple anomalies, including severe left CDH (observed/expected lung-to-head ratio 13.7%, liver-up, stomach grade 3 in Kitano classification), mild ventriculomegaly, low-set ear, rocker bottom, and single umbilical artery. Chromosomal test by amniocentesis showed a karyotype of 47,XX,+9. The neonate was born alive at 34 weeks but died 49 minutes after birth. In the literature review, this case and seven cases of complete trisomy 9 had CDH, and four of them were explained as "large" or "severe" CDH. In conclusion, trisomy 9 might be occasionally complicated by severe CDH.

摘要

先天性膈疝(CDH)已知会并发各种染色体异常。然而,9三体综合征合并CDH时肺发育不全的程度尚不清楚。这一信息对于怀有患有相同并发症胎儿的母亲至关重要。我们报告一例患有9三体综合征的严重CDH病例。该胎儿存在胎儿生长受限和多种异常,包括严重的左侧CDH(观察到的/预期的肺头比为13.7%,肝脏上移,北野分类中胃为3级)、轻度脑室扩大、低位耳、摇椅底足和单脐动脉。羊水穿刺染色体检查显示核型为47,XX,+9。新生儿在34周时存活出生,但出生后49分钟死亡。在文献综述中,该病例及7例9完全三体综合征病例患有CDH,其中4例被解释为“大型”或“严重”CDH。总之,9三体综合征偶尔可能并发严重CDH。

https://cdn.ncbi.nlm.nih.gov/pmc/blobs/8344/9506681/b367f2dd2d14/cureus-0014-00000028395-i01.jpg

文献AI研究员

20分钟写一篇综述,助力文献阅读效率提升50倍。

立即体验

用中文搜PubMed

大模型驱动的PubMed中文搜索引擎

马上搜索

文档翻译

学术文献翻译模型,支持多种主流文档格式。

立即体验