Suppr超能文献

NT-proBNP 水平升高与急性缺血性脑卒中患者 CTP 缺血体积和 90 天功能结局相关:一项回顾性队列研究。

Elevated NT-proBNP levels are associated with CTP ischemic volume and 90-day functional outcomes in acute ischemic stroke: a retrospective cohort study.

机构信息

Department of Neurology, The First Affiliated Hospital of Soochow University, Suzhou, 215000, China.

Department of Geriatrics, Lianyungang Second People's Hospital, Lianyungang, China.

出版信息

BMC Cardiovasc Disord. 2022 Sep 30;22(1):431. doi: 10.1186/s12872-022-02861-w.

Abstract

OBJECTIVE

To investigate the impact of N-terminal pro-B-type natriuretic peptide (NT-proBNP) on CTP infarct core volume and poor 90-day functional outcomes in acute ischemic stroke (AIS).

METHODS

A total of 403 hospitalized patients with AIS in the Stroke Center of the First Hospital Affiliated to Soochow University were enrolled from March 2018 to January 2021. The association between NT-proBNP and clinical outcomes in acute ischemic patients was assessed by logistic regression and adjusted for confounding factors. Also, subgroup analyses were conducted based on treatment decisions.

RESULTS

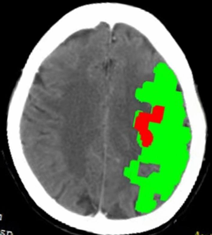
NT-proBNP was positively correlated with CTP ischemic volume (p < 0.001), infarct core volume (p < 0.001), and ischemic penumbra volume (p < 0.001). Univariate analysis showed that the influence of NT-proBNP and functional outcomes were statistically significant in model 1 (p = 0.002). This phenomenon was persistent after adjusted for age, sex, and body mass index in model 2 (p = 0.011), adjusted for SBP, current smoking, family history of stroke, hypertension, and diabetes mellitus in model 3 (p < 0.001), and adjusted for TnI, D-dimer, PLT, Cr, TC, TG, HDL-C, treatment decisions, and NIHSS score in model 4 (p = 0.027). A high NT-proBNP was associated with a high 90-days mRS score among the total population, IV rt-PA, and standardized treatment groups, but not in IV rt-PA + EVT, EVT, and EVT/IV rt-PA + EVT groups.

CONCLUSION

Elevated NT-proBNP levels reveal large CTP infarct core volume and poor 90-day functional outcome in AIS. NT-pro BNP is an independent risk factor for functional outcomes.

摘要

目的

探讨氨基末端脑钠肽前体(NT-proBNP)对急性缺血性脑卒中(AIS)患者 CT 灌注梗死核心体积和 90 天不良功能结局的影响。

方法

连续纳入 2018 年 3 月至 2021 年 1 月于苏州大学附属第一医院卒中中心住院的 AIS 患者 403 例。采用 logistic 回归评估 NT-proBNP 与急性缺血性患者临床结局的相关性,并根据混杂因素进行调整。此外,还根据治疗决策进行了亚组分析。

结果

NT-proBNP 与 CTP 缺血体积(p<0.001)、梗死核心体积(p<0.001)和缺血半暗带体积(p<0.001)呈正相关。单因素分析显示,在模型 1 中,NT-proBNP 和功能结局的影响具有统计学意义(p=0.002)。在模型 2 中,调整年龄、性别和体重指数后,这种现象仍然存在(p=0.011);在模型 3 中,调整 SBP、当前吸烟、中风家族史、高血压和糖尿病后(p<0.001);在模型 4 中,调整 TnI、D-二聚体、PLT、Cr、TC、TG、HDL-C、治疗决策和 NIHSS 评分后(p=0.027),NT-proBNP 与总人群、IV rt-PA 和标准化治疗组的 90 天 mRS 评分高相关,但与 IV rt-PA+EVT、EVT 和 EVT/IV rt-PA+EVT 组无关。

结论

升高的 NT-proBNP 水平提示 AIS 患者 CTP 梗死核心体积较大,90 天功能结局较差。NT-proBNP 是功能结局的独立危险因素。

https://cdn.ncbi.nlm.nih.gov/pmc/blobs/d4c0/9524121/eb57ca008076/12872_2022_2861_Fig1_HTML.jpg

文献AI研究员

20分钟写一篇综述,助力文献阅读效率提升50倍。

立即体验

用中文搜PubMed

大模型驱动的PubMed中文搜索引擎

马上搜索

文档翻译

学术文献翻译模型,支持多种主流文档格式。

立即体验