Suppr超能文献

一种新型噬菌体BUCT541针对K1-ST23的基因组特征分析及其在小鼠和幼虫中的疗效评估

Genomic characterization of a new phage BUCT541 against K1-ST23 and efficacy assessment in mouse and larvae.

作者信息

Pu Mingfang, Li Yahao, Han Pengjun, Lin Wei, Geng Ronghua, Qu Fen, An Xiaoping, Song Lihua, Tong Yigang, Zhang Shuyan, Cai Zhen, Fan Huahao

机构信息

College of Life Science and Technology, Beijing University of Chemical Technology, Beijing, China.

Beijing Advanced Innovation Center for Soft Matter Science and Engineering (BAIC-SM), Beijing University of Chemical Technology, Beijing, China.

出版信息

Front Microbiol. 2022 Sep 16;13:950737. doi: 10.3389/fmicb.2022.950737. eCollection 2022.

Abstract

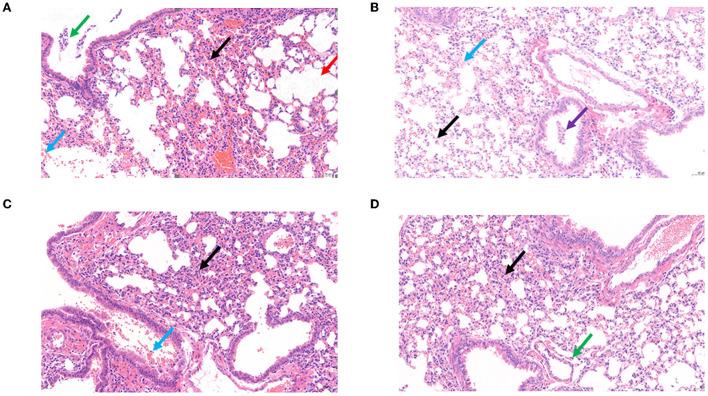
Over the past decades, the spread of multi-drug-resistant (MDR-KP) is becoming a new threat and new effective therapies against this pathogen are needed. Bacteriophage (phage) therapy is considered to be a promising alternative treatment for MDR-KP infections compared with antibacterial drug usage. Here, we reported a new phage BUCT541 which can lyse MDR-KP ST23. The genome of BUCT541 is a double-stranded linear 46,100-bp long DNA molecule with 48% GC content through the Next generation sequencing (NGS) data. A total of 81 open reading frames and no virulence or antimicrobial resistance genes are annotated in the BUCT541 genome. BUCT541 was able to lyse 7 of the 30 tested MDR-KP according to the host range analysis. And the seven sensitive strains belonged to the K1-ST23. BUCT541 exhibited high thermal stability (4-70°C) and broad pH tolerance (pH 3-11) in the stability test. The results showed that BUCT541 (4 × 10 plaque-forming units (PFU)/each) significantly increased the survival rate of infected from 5.3% to 83.3% within 48 h. Moreover, in the mouse lung infection model, high doses of BUCT541 (2 × 10 PFU/each) cured 100% of BALB/c mice that were infected with . After 30 h of treatment with phage BUCT541 of the multiplicity of infection (MOI) = 10, the in the lungs of mice was lower than 10 CFU/mL, compared to the control group 10 CFU/mL. Together, these findings indicate that phage BUCT541 holds great promise as an alternative therapy with excellent stability and a wide lysis range for the treatment of MDR-KP ST23 infection.

摘要

在过去几十年中,多重耐药肺炎克雷伯菌(MDR-KP)的传播正成为一种新威胁,因此需要针对这种病原体的新型有效疗法。与使用抗菌药物相比,噬菌体疗法被认为是治疗MDR-KP感染的一种有前景的替代疗法。在此,我们报道了一种可裂解MDR-KP ST23的新型噬菌体BUCT541。通过下一代测序(NGS)数据,BUCT541的基因组是一个双链线性46,100碱基对长的DNA分子,GC含量为48%。在BUCT541基因组中总共注释了81个开放阅读框,且无毒性或抗微生物耐药基因。根据宿主范围分析,BUCT541能够裂解30株测试的MDR-KP中的7株。这7株敏感菌株属于K1-ST23。在稳定性测试中,BUCT541表现出高热稳定性(4-70°C)和广泛的pH耐受性(pH 3-11)。结果表明,BUCT541(4×10噬斑形成单位(PFU)/每只)在48小时内将感染小鼠的存活率从5.3%显著提高到83.3%。此外,在小鼠肺部感染模型中,高剂量的BUCT541(2×10 PFU/每只)治愈了100%感染MDR-KP ST23的BALB/c小鼠。在感染复数(MOI)=10的噬菌体BUCT541处理30小时后,小鼠肺部的MDR-KP ST23低于10 CFU/mL,而对照组为10 CFU/mL。总之,这些发现表明噬菌体BUCT541作为一种替代疗法具有很大潜力,对治疗MDR-KP ST23感染具有出色的稳定性和广泛的裂解范围。

https://cdn.ncbi.nlm.nih.gov/pmc/blobs/de6b/9523250/d6d7e49de131/fmicb-13-950737-g0001.jpg

文献AI研究员

20分钟写一篇综述,助力文献阅读效率提升50倍。

立即体验

用中文搜PubMed

大模型驱动的PubMed中文搜索引擎

马上搜索

文档翻译

学术文献翻译模型,支持多种主流文档格式。

立即体验