Suppr超能文献

一例因大砍刀创伤导致尺神经撕裂合并肱骨远端骨折的病例。

A Case of an Ulnar Nerve Laceration With Distal Humerus Fracture From Machete Trauma.

作者信息

Murray-Ramcharan Max, Atchison Jared, Leroux Ofelia, Engdahl Ryan

机构信息

General Surgery, Harlem Hospital Center, Harlem, USA.

Surgery, Columbia University, New York, USA.

出版信息

Cureus. 2022 Sep 3;14(9):e28737. doi: 10.7759/cureus.28737. eCollection 2022 Sep.

Abstract

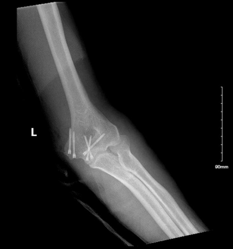
Ulnar nerve dysfunction following distal humerus fractures is a recognized phenomenon. There is no dominating consensus regarding the optimal management of the ulnar nerve during surgical intervention for these fractures between leaving the nerve in situ versus nerve transposition for better healing. Additional complexities arise in the case we present, in which there was an open fracture compounded with an ulnar nerve laceration from a traumatic injury with a machete knife. We review and discuss the management of ulnar nerve injuries associated with complex open fractures of the humerus for optimizing patient outcomes following these injuries.

摘要

肱骨远端骨折后尺神经功能障碍是一种公认的现象。对于这些骨折在手术干预期间尺神经的最佳处理方法,即在原位保留神经与进行神经转位以促进更好愈合之间,目前尚无主导性的共识。在我们所呈现的病例中出现了更多复杂情况,该病例为开放性骨折,并伴有因被大砍刀创伤导致的尺神经撕裂伤。我们回顾并讨论与肱骨复杂开放性骨折相关的尺神经损伤的处理方法,以优化这些损伤后的患者预后。

https://cdn.ncbi.nlm.nih.gov/pmc/blobs/fe02/9528922/234f04fe1010/cureus-0014-00000028737-i01.jpg

文献AI研究员

20分钟写一篇综述,助力文献阅读效率提升50倍。

立即体验

用中文搜PubMed

大模型驱动的PubMed中文搜索引擎

马上搜索

文档翻译

学术文献翻译模型,支持多种主流文档格式。

立即体验