Uraih L C, Talley F A, Mitsumori K, Gupta B N, Bucher J R, Boorman G A
Environ Health Perspect. 1987 Jun;72:77-88. doi: 10.1289/ehp.877277.
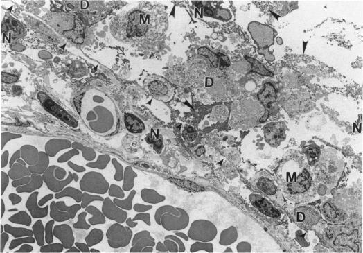
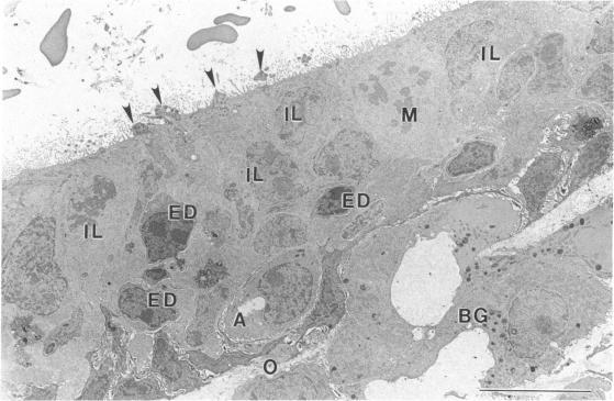
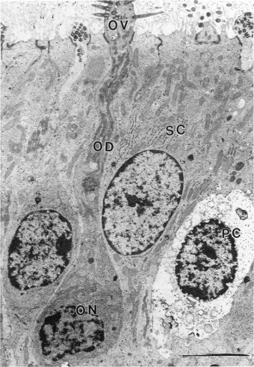
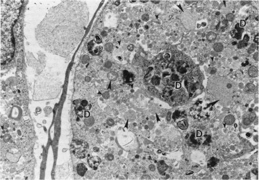
Male rats and male mice received a single 2-hr exposure to 0 (control), 10, or 30 ppm of methyl isocyanate and were sacrificed after 1, 3, 14, or 90 days to assess the ultrastructural changes in the nasal mucosa by transmission electron microscopy. One day after exposure to methyl isocyanate, there were widespread areas of necrosis and degeneration of the respiratory and olfactory epithelium of rats and mice in the 10 ppm and 30 ppm groups. Qualitatively the ultrastructural findings were similar for both exposure groups and species. Degeneration followed by rapid regeneration was observed for both respiratory and olfactory epithelia but was most striking for olfactory epithelium in the dorsal meatus. Three days after the exposure, the olfactory epithelium was two to three cell layers thick due to a loss of supporting cells, olfactory neurons, and basal cells. By 14 days after exposure, the olfactory epithelium was composed of a heterogeneous cell population three to five cell layers thick. At 90 days following exposure, the epithelium was of normal thickness (eight to ten cell layers), with normal architectural arrangement, and composed of well-differentiated cells that appeared similar to those of controls. There were several findings that suggested the epithelial cells of Bowman's glands were the progenitor for the regenerating supporting cells of the olfactory epithelium. This study demonstrated that the respiratory and olfactory epithelium is capable of complete structural regeneration after an acute destruction by methyl isocyanate.