Suppr超能文献

在保护耳聋豚鼠的听神经方面,联合使用脑源性神经营养因子和神经营养因子-3进行治疗比单独使用其中任何一种更可取。

Combined brain-derived neurotrophic factor and neurotrophin-3 treatment is preferred over either one separately in the preservation of the auditory nerve in deafened guinea pigs.

作者信息

Vink Henk A, Ramekers Dyan, Thomeer Hans G X M, Versnel Huib

机构信息

Department of Otorhinolaryngology and Head & Neck Surgery, University Medical Center Utrecht, Utrecht University, Utrecht, Netherlands.

UMC Utrecht Brain Center, University Medical Center Utrecht, Utrecht University, Utrecht, Netherlands.

出版信息

Front Mol Neurosci. 2022 Sep 26;15:935111. doi: 10.3389/fnmol.2022.935111. eCollection 2022.

Abstract

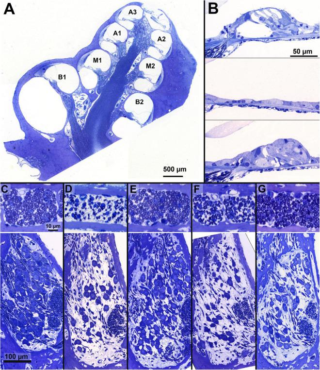
Severe hearing loss or deafness is often caused by cochlear hair cell loss and can be mitigated by a cochlear implant (CI). CIs target the auditory nerve, consisting of spiral ganglion cells (SGCs), which degenerate gradually, following hair cell loss. In animal models, it has been established that treatment with the neurotrophins brain-derived neurotrophic factor (BDNF) and neurotrophin-3 (NT-3) reduce SGC degeneration. In this study, we aimed to investigate whether treatment with both BDNF and NT-3 (Cocktail) is superior to treatment with each neurotrophin separately regarding cell preservation and neural responsiveness to electrical stimulation. To this end, deafened guinea pigs received neurotrophic treatment in their right ear a gelatin sponge on the perforated round window membrane, followed by cochlear implantation 4 weeks later in the same ear for electrophysiological recordings to various stimulation paradigms. Normal-hearing and deafened untreated guinea pigs were included as positive and negative controls, respectively. Substantial SGC loss occurred in all deafened animals. Each of the neurotrophic treatments led to enhanced SGC survival mainly in the basal turn of the cochlea, gradually decreasing toward the apex. The Cocktail treatment resulted in the highest SGC survival in the treated ear, followed by BDNF, with the least protection of SGCs following NT-3 treatment. Survival of the SGC's peripheral processes (PPs) followed the same trend in response to the treatment. However, survival of SGCs and PPs in the contralateral untreated ears was also highest in the Cocktail group. Consequently, analysis of the ratio between the treated and untreated ears showed that the BDNF group, which showed low SGC survival in the untreated ear, had the highest relative SGC survival of the three neurotrophin-treated groups. Neurotrophic treatment had positive effects in part of the electrically evoked compound action-potential recording paradigms. These effects were only observed for the BDNF or Cocktail treatment. We conclude that treatment with either BDNF or a cocktail of BDNF and NT-3 is preferred to NT-3 alone. Furthermore, since the Cocktail treatment resulted in better electrophysiological responsiveness and overall higher SGC survival than BDNF alone, we are inclined to recommend the Cocktail treatment rather than BDNF alone.

摘要

严重听力损失或耳聋通常由耳蜗毛细胞丢失引起,可通过人工耳蜗(CI)缓解。人工耳蜗作用于由螺旋神经节细胞(SGC)组成的听神经,在毛细胞丢失后,这些细胞会逐渐退化。在动物模型中,已证实使用神经营养因子脑源性神经营养因子(BDNF)和神经营养因子-3(NT-3)进行治疗可减少SGC退化。在本研究中,我们旨在探究BDNF和NT-3联合治疗(鸡尾酒疗法)在细胞保存以及神经对电刺激的反应性方面是否优于单独使用每种神经营养因子的治疗。为此,致聋的豚鼠右耳接受神经营养治疗——在穿孔的圆窗膜上放置明胶海绵,4周后在同一耳进行人工耳蜗植入,用于对各种刺激模式进行电生理记录。听力正常和未经治疗的致聋豚鼠分别作为阳性和阴性对照。所有致聋动物均出现大量SGC丢失。每种神经营养治疗主要在耳蜗基底转导致SGC存活率提高,向顶端逐渐降低。鸡尾酒疗法在治疗耳中导致最高的SGC存活率,其次是BDNF,NT-3治疗对SGC的保护作用最小。SGC外周突(PP)的存活情况在对治疗的反应中遵循相同趋势。然而,鸡尾酒组对侧未治疗耳中的SGC和PP存活率也最高。因此,对治疗耳与未治疗耳之间的比例进行分析表明,在未治疗耳中SGC存活率较低的BDNF组,在三个神经营养因子治疗组中具有最高的相对SGC存活率。神经营养治疗在部分电诱发复合动作电位记录模式中具有积极作用。这些作用仅在BDNF或鸡尾酒疗法治疗中观察到。我们得出结论,单独使用BDNF或BDNF与NT-3的联合疗法优于单独使用NT-3。此外,由于鸡尾酒疗法比单独使用BDNF产生了更好的电生理反应性和总体更高的SGC存活率,我们倾向于推荐鸡尾酒疗法而非单独使用BDNF。

https://cdn.ncbi.nlm.nih.gov/pmc/blobs/5f80/9549372/0c063d48c8de/fnmol-15-935111-g001.jpg

文献AI研究员

20分钟写一篇综述,助力文献阅读效率提升50倍。

立即体验

用中文搜PubMed

大模型驱动的PubMed中文搜索引擎

马上搜索

文档翻译

学术文献翻译模型,支持多种主流文档格式。

立即体验