Mergen Marvin, Scheid Sascha, Schubmehl Hannah, Backens Martin, Reith Wolfgang, Graf Norbert
Department of Pediatric Oncology and Hematology, Saarland University, 66421 Homburg, Germany.
Department of Diagnostic and Interventional Neuroradiology, Saarland University, 66421 Homburg, Germany.
Cancers (Basel). 2022 Sep 26;14(19):4688. doi: 10.3390/cancers14194688.
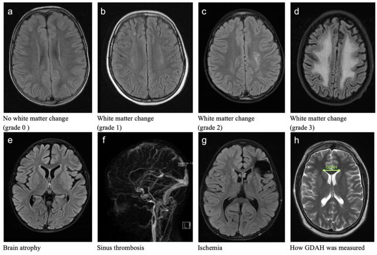
Due to high survival rates, long-term sequelae, especially neurotoxicity, need to be considered in childhood acute leukemias. In this retrospective analysis of morphologic changes of the brain in children treated for acute leukemias, we included 94 patients (77 ALL, 17 AML; 51 male, 43 female; median age: 5 years) from a single center. We analyzed 170 cranial MRI scans (T2, FLAIR axial) for morphologic alterations of the brain and variations of the ventricular width (GDAH). In addition, the corresponding literature was reviewed. More than 50% of all patients showed cerebral pathomorphologies (CP). They were seen more often in children with ALL (55.8%), ≤ 6 years of age (60.8%), in relapse (58.8%) or after CNS irradiation (75.0%) and included white matter changes, brain atrophy, sinus vein thrombosis and ischemic events. GDAH significantly enlarged mainly in children up to 6 years, with relapse, high-risk leukemias or ALL patients. However, GDAH can normalize again. The number of intrathecal Methotrexate applications (≤12 vs. >12) showed no correlation to morphologic alterations besides a significant increase in GDAH (−0.3 vs. 0.9 mm) between the first and last follow-up MRI in ALL patients receiving >12 ith. MTX applications. The role of ith. MTX on CP needs to be further investigated and correlated to the neurocognitive outcome of children with acute leukemias.
由于儿童急性白血病的生存率较高,因此需要考虑其长期后遗症,尤其是神经毒性。在这项对接受急性白血病治疗的儿童脑部形态学变化的回顾性分析中,我们纳入了来自单一中心的94例患者(77例急性淋巴细胞白血病,17例急性髓细胞白血病;51例男性,43例女性;中位年龄:5岁)。我们分析了170份头颅MRI扫描(T2加权、液体衰减反转恢复序列轴向扫描),以观察脑部的形态学改变和脑室宽度变化(GDAH)。此外,还对相关文献进行了综述。超过50%的患者出现了脑病理形态学改变(CP)。这些改变在急性淋巴细胞白血病患儿(55.8%)、年龄≤6岁的患儿(60.8%)、复发患儿(58.8%)或接受中枢神经系统照射后的患儿(75.0%)中更为常见,包括白质改变、脑萎缩、窦静脉血栓形成和缺血性事件。GDAH主要在6岁以下、复发、高危白血病或急性淋巴细胞白血病患者中显著增大。然而,GDAH可再次恢复正常。鞘内注射甲氨蝶呤的次数(≤12次与>12次)除了在接受>12次鞘内注射甲氨蝶呤的急性淋巴细胞白血病患者中,首次和末次随访MRI之间GDAH有显著增加(-0.3 vs. 0.9 mm)外,与形态学改变无相关性。鞘内注射甲氨蝶呤对CP的作用需要进一步研究,并与急性白血病患儿的神经认知结局相关联。