Suppr超能文献

胸膜原发性黏膜相关淋巴组织淋巴瘤的误诊:病例报告及文献复习

Misdiagnosis of primary mucosa-associated lymphoid tissue lymphoma of the pleura: case report and literature review.

作者信息

Wang Yao-Hui, Peng Ling, Jiang Jie-Han, Xiao Yun, Zhu Zhi-Ruo, Tong De, Shi Zhi-Hui, He Wen-Long, Qin Qing-Wu, Liang Ding, Jiang Yi, Luo Hong, Zhou Rui, Xiao Kui

机构信息

Department of Pulmonary and Critical Care Medicine, Second Xiangya Hospital, Central South University, Changsha, China.

Research Unit of Respiratory Disease, Central South University, Changsha, China.

出版信息

Transl Cancer Res. 2022 Sep;11(9):3315-3321. doi: 10.21037/tcr-22-671.

Abstract

BACKGROUND

Mucosa-associated lymphoid tissue (MALT) lymphoma is an indolent B cell lymphoma. Its occurrence in the pleura is rare, with atypical clinical manifestations. MALT of the pleura is easily misdiagnosed. This is the first case report of pleural MALT lymphoma in China.

CASE DESCRIPTION

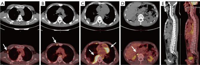
We report the case of a 54-year-old Chinese man with no notable medical history who complained of cough, sputum, and shortness of breath for 3 months. He had a positive purified protein derivative (PPD) test. An initial misdiagnosis of pleural tuberculosis was corrected, after 3 thoracoscopic biopsies and tests, to primary pleural MALT lymphoma. He received treatments of R-CHOP (rituximab, cyclophosphamide, epirubicin, vindesine and prednisolone) and traditional Chinese medicine. The patient was followed for 3 years until June 2022, with no obvious respiratory symptoms. Pleural MALT lymphoma is extremely rare, with only a few cases reported. This article describes our case, and includes an overview of 15 previously reported cases to summarize the characteristics, treatments, and prognosis of primary pleural MALT lymphoma.

CONCLUSIONS

Pleural MALT lymphoma is rare, and a correct diagnosis depends on tissue biopsy, immunohistochemical staining, and detection of gene rearrangement. Thoracoscopy is important to diagnose this disease. Multiple thoracoscopic biopsies may be necessary.

摘要

背景

黏膜相关淋巴组织(MALT)淋巴瘤是一种惰性B细胞淋巴瘤。其在胸膜的发生较为罕见,临床表现不典型。胸膜MALT容易误诊。这是中国首例胸膜MALT淋巴瘤的病例报告。

病例描述

我们报告了一名54岁无明显病史的中国男性病例,他主诉咳嗽、咳痰和气短3个月。他的结核菌素纯蛋白衍生物(PPD)试验呈阳性。经过3次胸腔镜活检和检查后,最初误诊的胸膜结核被纠正为原发性胸膜MALT淋巴瘤。他接受了利妥昔单抗、环磷酰胺、表柔比星、长春地辛和泼尼松龙(R-CHOP)方案治疗及中药治疗。对该患者进行了3年随访直至2022年6月,无明显呼吸道症状。胸膜MALT淋巴瘤极为罕见,仅有少数病例报道。本文描述了我们的病例,并综述了15例既往报道病例,以总结原发性胸膜MALT淋巴瘤的特征、治疗及预后。

结论

胸膜MALT淋巴瘤罕见,正确诊断依赖于组织活检、免疫组化染色及基因重排检测。胸腔镜检查对诊断该病很重要,可能需要多次胸腔镜活检。

https://cdn.ncbi.nlm.nih.gov/pmc/blobs/001c/9552252/63f53259b125/tcr-11-09-3315-f1.jpg

文献AI研究员

20分钟写一篇综述,助力文献阅读效率提升50倍。

立即体验

用中文搜PubMed

大模型驱动的PubMed中文搜索引擎

马上搜索

文档翻译

学术文献翻译模型,支持多种主流文档格式。

立即体验