Suppr超能文献

韧带样型纤维瘤病与黏液性囊性肿瘤的胰腺碰撞瘤:一例报告

Pancreatic Collision Tumor of Desmoid-Type Fibromatosis and Mucinous Cystic Neoplasm: A Case Report.

作者信息

Ryu Min Jung, Kim Jae Woon, Lee Seung Eun, Choi Joon Hyuk

出版信息

Taehan Yongsang Uihakhoe Chi. 2021 Sep;82(5):1297-1303. doi: 10.3348/jksr.2020.0163. Epub 2021 Jul 2.

Abstract

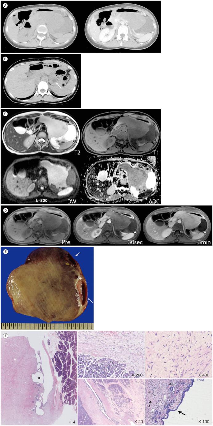
Pancreatic collision tumors are rare neoplasm, and cases consisting of ductal adenocarcinoma with a neuroendocrine tumor, intraductal papillary mucinous neoplasm with a neuroendocrine tumor, and solid pseudopapillary neoplasm with a neuroendocrine tumor have been reported. We report a case of a rapidly growing pancreatic collision tumor consisting of desmoidtype fibromatosis and mucinous cystic neoplasm in a 30-year-old pregnant female. To the best of our knowledge, this is the first reported case of a pancreatic collision tumor consisting of desmoid-type fibromatosis and mucinous cystic neoplasm.

摘要

胰腺碰撞瘤是一种罕见的肿瘤,由导管腺癌合并神经内分泌肿瘤、导管内乳头状黏液性肿瘤合并神经内分泌肿瘤以及实性假乳头状肿瘤合并神经内分泌肿瘤组成的病例已有报道。我们报告一例30岁怀孕女性的胰腺碰撞瘤,该肿瘤由硬纤维瘤样纤维瘤病和黏液性囊性肿瘤组成,生长迅速。据我们所知,这是首例由硬纤维瘤样纤维瘤病和黏液性囊性肿瘤组成的胰腺碰撞瘤病例。

https://cdn.ncbi.nlm.nih.gov/pmc/blobs/b5de/9432369/a5d2a76222aa/jksr-82-1297-g001.jpg

文献AI研究员

20分钟写一篇综述,助力文献阅读效率提升50倍。

立即体验

用中文搜PubMed

大模型驱动的PubMed中文搜索引擎

马上搜索

文档翻译

学术文献翻译模型,支持多种主流文档格式。

立即体验