• 文献检索
  • 文档翻译
  • 深度研究
  • 学术资讯
  • Suppr Zotero 插件Zotero 插件
  • 邀请有礼
  • 套餐&价格
  • 历史记录
应用&插件
Suppr Zotero 插件Zotero 插件浏览器插件Mac 客户端Windows 客户端微信小程序
定价
高级版会员购买积分包购买API积分包
服务
文献检索文档翻译深度研究API 文档MCP 服务
关于我们
关于 Suppr公司介绍联系我们用户协议隐私条款
关注我们

Suppr 超能文献

核心技术专利:CN118964589B侵权必究
粤ICP备2023148730 号-1Suppr @ 2026

文献检索

告别复杂PubMed语法,用中文像聊天一样搜索,搜遍4000万医学文献。AI智能推荐,让科研检索更轻松。

立即免费搜索

文件翻译

保留排版,准确专业,支持PDF/Word/PPT等文件格式,支持 12+语言互译。

免费翻译文档

深度研究

AI帮你快速写综述,25分钟生成高质量综述,智能提取关键信息,辅助科研写作。

立即免费体验

姜黄素对动物模型中肥胖诱导的多器官生化和组织病理学异常的抗毒作用。

Antitoxic Effects of Curcumin against Obesity-Induced Multi-Organs' Biochemical and Histopathological Abnormalities in an Animal Model.

作者信息

Hassan Mohammed H, Awadalla Eatemad A, Abd El-Kader Abd El-Kader M, Seifeldin Esraa A, Mahmoud Marwa Ahmed, Muddathir Abdel Rahim Mahmoud, Abdelsadik Ahmed

机构信息

Department of Medical Biochemistry, Faculty of Medicine, South Valley University, Qena 83523, Egypt.

Department of Zoology, Faculty of Science, Aswan University, Aswan 81528, Egypt.

出版信息

Evid Based Complement Alternat Med. 2022 Oct 6;2022:9707278. doi: 10.1155/2022/9707278. eCollection 2022.

DOI:10.1155/2022/9707278
PMID:36248416
原文链接:https://pmc.ncbi.nlm.nih.gov/articles/PMC9560822/
Abstract

BACKGROUND

Obesity is a significant public health problem that is characterized by an increase in oxidative stress and enhanced inflammatory responses associated with immune cell invasion of adipose tissues. This study assessed several biochemical abnormalities, apoptosis, oxidative stress status, and associated histological changes in the liver, duodenum, and heart brought on by high-fat diet-induced obesity in rats. It also assessed the mechanistic benefits of curcumin in reversing these inflammatory, metabolic, and histological impairments.

METHODS

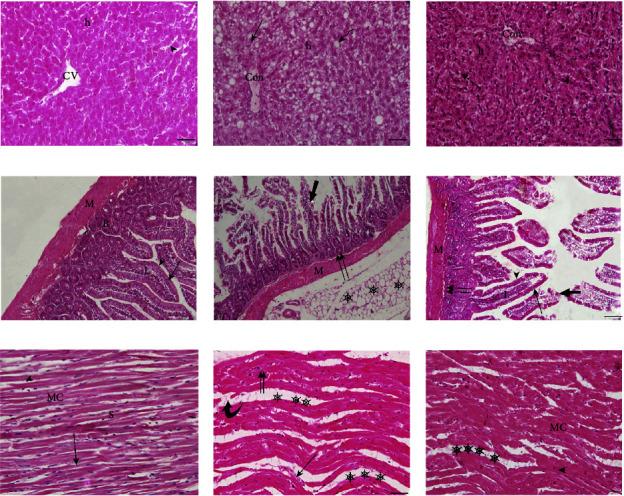
Rats were assigned into three groups each including ten rats: the control group (CD), the high-fat diet group (HFD), and the high-fat diet + curcumin (HFDC) group. Serum glucose, insulin, and triglycerides (TAGs) were observed. In addition, apoptosis (indicated by hepatic DNA fragmentation) and oxidative stress status (indicated by hepatic MPO, GSH, and SOD) were assessed. Histopathological examinations included the GIT (liver and duodenum) and heart in addition to quantitative real-time polymerase chain reaction (qRT-PCR) assays of the adipose tissue genetic expressions for inflammatory signaling pathways (TLR4, IL-6, and TNF-).

RESULTS

The overall findings showed that the HFD group exhibited significantly higher levels of glucose, TAGs, and insulin than the control group ( < 0.01). The histological abnormalities of the studied organs in the HFD group were paralleled by these biochemical abnormalities, which were strongly associated with increased apoptosis, increased oxidative stress, and increased expression of the inflammatory signaling markers. There were significant improvements in the HFDC group in terms of biochemical, inflammatory, and histological investigations.

CONCLUSIONS

This study's findings concluded that obesity is significantly associated with biochemical and microscopic alterations in many organs. Curcumin exerted potent antitoxic, antioxidant, tissue-protective, and antiobesity effects. Curcumin is recommended to be added to various dietary regimens to prevent or delay the organs' dysfunction among obese people.

摘要

背景

肥胖是一个重大的公共卫生问题,其特征是氧化应激增加以及与脂肪组织免疫细胞浸润相关的炎症反应增强。本研究评估了高脂饮食诱导的大鼠肥胖所导致的肝脏、十二指肠和心脏的几种生化异常、细胞凋亡、氧化应激状态以及相关的组织学变化。它还评估了姜黄素在逆转这些炎症、代谢和组织学损伤方面的机制性益处。

方法

将大鼠分为三组,每组十只:对照组(CD)、高脂饮食组(HFD)和高脂饮食+姜黄素组(HFDC)。观察血清葡萄糖、胰岛素和甘油三酯(TAGs)。此外,评估细胞凋亡(以肝脏DNA片段化表示)和氧化应激状态(以肝脏MPO、GSH和SOD表示)。组织病理学检查包括胃肠道(肝脏和十二指肠)和心脏,以及对脂肪组织炎症信号通路(TLR4、IL-6和TNF-)基因表达的定量实时聚合酶链反应(qRT-PCR)检测。

结果

总体研究结果表明,HFD组的葡萄糖、TAGs和胰岛素水平显著高于对照组(<0.01)。HFD组所研究器官的组织学异常与这些生化异常并行,这些生化异常与细胞凋亡增加、氧化应激增加以及炎症信号标志物表达增加密切相关。HFDC组在生化、炎症和组织学研究方面有显著改善。

结论

本研究结果得出结论,肥胖与许多器官的生化和微观改变显著相关。姜黄素具有强大的抗毒、抗氧化、组织保护和抗肥胖作用。建议在各种饮食方案中添加姜黄素,以预防或延缓肥胖人群器官功能障碍。

https://cdn.ncbi.nlm.nih.gov/pmc/blobs/76e5/9560822/96e682a7bdab/ECAM2022-9707278.005.jpg
https://cdn.ncbi.nlm.nih.gov/pmc/blobs/76e5/9560822/e6bd76e9ef74/ECAM2022-9707278.001.jpg
https://cdn.ncbi.nlm.nih.gov/pmc/blobs/76e5/9560822/2c5850a01351/ECAM2022-9707278.002.jpg
https://cdn.ncbi.nlm.nih.gov/pmc/blobs/76e5/9560822/12ecc8af64de/ECAM2022-9707278.003.jpg
https://cdn.ncbi.nlm.nih.gov/pmc/blobs/76e5/9560822/03d49bbc806b/ECAM2022-9707278.004.jpg
https://cdn.ncbi.nlm.nih.gov/pmc/blobs/76e5/9560822/96e682a7bdab/ECAM2022-9707278.005.jpg
https://cdn.ncbi.nlm.nih.gov/pmc/blobs/76e5/9560822/e6bd76e9ef74/ECAM2022-9707278.001.jpg
https://cdn.ncbi.nlm.nih.gov/pmc/blobs/76e5/9560822/2c5850a01351/ECAM2022-9707278.002.jpg
https://cdn.ncbi.nlm.nih.gov/pmc/blobs/76e5/9560822/12ecc8af64de/ECAM2022-9707278.003.jpg
https://cdn.ncbi.nlm.nih.gov/pmc/blobs/76e5/9560822/03d49bbc806b/ECAM2022-9707278.004.jpg
https://cdn.ncbi.nlm.nih.gov/pmc/blobs/76e5/9560822/96e682a7bdab/ECAM2022-9707278.005.jpg

相似文献

1
Antitoxic Effects of Curcumin against Obesity-Induced Multi-Organs' Biochemical and Histopathological Abnormalities in an Animal Model.姜黄素对动物模型中肥胖诱导的多器官生化和组织病理学异常的抗毒作用。
Evid Based Complement Alternat Med. 2022 Oct 6;2022:9707278. doi: 10.1155/2022/9707278. eCollection 2022.
2
Preventive effect of curcumin on inflammation, oxidative stress and insulin resistance in high-fat fed obese rats.姜黄素对高脂喂养肥胖大鼠炎症、氧化应激和胰岛素抵抗的预防作用。
J Complement Integr Med. 2016 Jun 1;13(2):137-43. doi: 10.1515/jcim-2015-0070.
3
Dietary curcumin and capsaicin: Relationship with hepatic oxidative stress and apoptosis in rats fed a high fat diet.膳食姜黄素和辣椒素:与高脂饮食喂养大鼠肝氧化应激和细胞凋亡的关系。
Adv Clin Exp Med. 2019 Aug;28(8):1013-1020. doi: 10.17219/acem/94145.
4
Trigonelline and curcumin alone, but not in combination, counteract oxidative stress and inflammation and increase glycation product detoxification in the liver and kidney of mice with high-fat diet-induced obesity.单独的咖啡酸和姜黄素,而不是两者的联合,能够抵抗氧化应激和炎症,并增加高脂肪饮食诱导肥胖小鼠肝脏和肾脏中糖基化终产物的解毒。
J Nutr Biochem. 2020 Feb;76:108303. doi: 10.1016/j.jnutbio.2019.108303. Epub 2019 Nov 23.
5
Evaluation of antiobesity and hepatorenal protective activities of Salvia officinalis extracts pre-treatment in high-fat diet-induced obese rats.评价藏红花提取物预处理对高脂饮食诱导肥胖大鼠的抗肥胖和肝肾保护作用。
Environ Sci Pollut Res Int. 2022 Oct;29(49):75043-75056. doi: 10.1007/s11356-022-21092-2. Epub 2022 Jun 1.
6
Effect of dietary curcumin and capsaicin on testicular and hepatic oxidant-antioxidant status in rats fed a high-fat diet.高脂肪饮食大鼠膳食姜黄素和辣椒素对睾丸和肝组织氧化应激状态的影响。
Appl Physiol Nutr Metab. 2019 Jul;44(7):774-782. doi: 10.1139/apnm-2018-0622. Epub 2019 Jan 3.
7
Metformin treatment reverses high fat diet- induced non-alcoholic fatty liver diseases and dyslipidemia by stimulating multiple antioxidant and anti-inflammatory pathways.二甲双胍治疗通过刺激多种抗氧化和抗炎途径,逆转高脂饮食诱导的非酒精性脂肪性肝病和血脂异常。
Biochem Biophys Rep. 2021 Nov 17;28:101168. doi: 10.1016/j.bbrep.2021.101168. eCollection 2021 Dec.
8
Lycopene corrects metabolic syndrome and liver injury induced by high fat diet in obese rats through antioxidant, anti-inflammatory, antifibrotic pathways.番茄红素通过抗氧化、抗炎和抗纤维化途径纠正肥胖大鼠高脂饮食诱导的代谢综合征和肝损伤。
Biomed Pharmacother. 2021 Sep;141:111831. doi: 10.1016/j.biopha.2021.111831. Epub 2021 Jul 6.
9
The differential effects of high-fat and high- -fructose diets on the liver of male albino rat and the proposed underlying mechanisms.高脂肪和高果糖饮食对雄性白化大鼠肝脏的差异影响及潜在机制探讨
Folia Morphol (Warsz). 2019;78(1):124-136. doi: 10.5603/FM.a2018.0063. Epub 2018 Jul 16.
10
Resveratrol prevents suppression of regulatory T-cell production, oxidative stress, and inflammation of mice prone or resistant to high-fat diet-induced obesity.白藜芦醇可预防调节性 T 细胞生成受抑制、氧化应激和炎症,可预防易发生或抵抗高脂肪饮食诱导肥胖的小鼠发生上述情况。
Nutr Res. 2013 Nov;33(11):971-81. doi: 10.1016/j.nutres.2013.07.016. Epub 2013 Aug 27.

引用本文的文献

1
Adipo-Modulation by Turmeric Bioactive Phenolic Components: From Curcuma Plant to Effects.姜黄生物活性酚类成分对脂肪的调节作用:从姜黄属植物到作用效果
Int J Mol Sci. 2025 Jul 17;26(14):6880. doi: 10.3390/ijms26146880.
2
Co-treatment of β-carotene with acetamiprid provides protection against acetamiprid induced hepatic and renal toxicity via modulation of the antioxidant system.β-胡萝卜素与啶虫脒共同处理可通过调节抗氧化系统来预防啶虫脒诱导的肝脏和肾脏毒性。
BMC Pharmacol Toxicol. 2025 Jun 23;26(1):122. doi: 10.1186/s40360-025-00953-9.
3
Oral Treatment of Lactoferrin Nanocapsules Modulates the Immune Response of Mice to a Cryptosporidiosis Infection.

本文引用的文献

1
Efficacy and Safety of Curcumin and Extract in the Treatment of Arthritis: A Systematic Review and Meta-Analysis of Randomized Controlled Trial.姜黄素和提取物治疗关节炎的疗效和安全性:一项随机对照试验的系统评价和荟萃分析。
Front Immunol. 2022 Jul 22;13:891822. doi: 10.3389/fimmu.2022.891822. eCollection 2022.
2
Diet-induced obesity impairs spermatogenesis: the critical role of NLRP3 in Sertoli cells.饮食诱导的肥胖会损害精子发生:NLRP3在支持细胞中的关键作用。
Inflamm Regen. 2022 Aug 2;42(1):24. doi: 10.1186/s41232-022-00203-z.
3
Two new triterpenoid saponins from the underground parts of x "Bristol Ruby".
乳铁蛋白纳米胶囊的口服治疗可调节小鼠对隐孢子虫感染的免疫反应。
Acta Parasitol. 2025 May 16;70(3):105. doi: 10.1007/s11686-025-01022-1.
4
Nutrients Lowering Obesity-Linked Chemokines Blamable for Metastasis.降低与肥胖相关的趋化因子可归咎于转移的营养物质。
Int J Mol Sci. 2025 Mar 4;26(5):2275. doi: 10.3390/ijms26052275.
5
Curcumin as a Potential Antioxidant in Stress Regulation of Terrestrial, Avian, and Aquatic Animals: A Review.姜黄素作为陆地、禽类和水生动物应激调节中的潜在抗氧化剂:综述
Antioxidants (Basel). 2023 Aug 31;12(9):1700. doi: 10.3390/antiox12091700.
6
Dietary Curcumin Attenuates Hepatic Cellular Senescence by Suppressing the MAPK/NF-κB Signaling Pathway in Aged Mice.膳食姜黄素通过抑制老年小鼠的MAPK/NF-κB信号通路减轻肝细胞衰老。
Antioxidants (Basel). 2023 May 27;12(6):1165. doi: 10.3390/antiox12061165.
从“布里斯托尔红宝石”地下部分分离出的两种新的三萜皂苷。
J Asian Nat Prod Res. 2022 Jun 11:1-7. doi: 10.1080/10286020.2022.2084586.
4
Assessment of the ameliorative effect of curcumin on pendimethalin-induced genetic and biochemical toxicity.评估姜黄素对二甲戊灵诱导的遗传和生化毒性的改善作用。
Sci Rep. 2022 Feb 9;12(1):2195. doi: 10.1038/s41598-022-06278-5.
5
Does dietary fat affect advanced glycation end products and their receptors? A systematic review of clinical trials.膳食脂肪是否会影响晚期糖基化终产物及其受体?一项临床试验的系统评价。
Nutr Rev. 2022 Feb 10;80(3):598-612. doi: 10.1093/nutrit/nuab095.
6
Curcumin and its derivatives in cancer therapy: Potentiating antitumor activity of cisplatin and reducing side effects.姜黄素及其衍生物在癌症治疗中的应用:增强顺铂的抗肿瘤活性并降低副作用。
Phytother Res. 2022 Jan;36(1):189-213. doi: 10.1002/ptr.7305. Epub 2021 Oct 25.
7
Role of myeloperoxidase and oxidant formation in the extracellular environment in inflammation-induced tissue damage.髓过氧化物酶和氧化剂形成在炎症诱导的组织损伤中外环境中的作用。
Free Radic Biol Med. 2021 Aug 20;172:633-651. doi: 10.1016/j.freeradbiomed.2021.07.007. Epub 2021 Jul 8.
8
Metal-Curcumin Complexes in Therapeutics: An Approach to Enhance Pharmacological Effects of Curcumin.金属-姜黄素复合物在治疗中的应用:增强姜黄素药理作用的一种方法。
Int J Mol Sci. 2021 Jun 30;22(13):7094. doi: 10.3390/ijms22137094.
9
The Protect Effects of Chitosan Oligosaccharides on Intestinal Integrity by Regulating Oxidative Status and Inflammation under Oxidative Stress.壳寡糖在氧化应激下通过调节氧化状态和炎症对肠道完整性的保护作用
Mar Drugs. 2021 Jan 25;19(2):57. doi: 10.3390/md19020057.
10
Chronic Adipose Tissue Inflammation Linking Obesity to Insulin Resistance and Type 2 Diabetes.慢性脂肪组织炎症:连接肥胖与胰岛素抵抗及2型糖尿病
Front Physiol. 2020 Jan 29;10:1607. doi: 10.3389/fphys.2019.01607. eCollection 2019.