Suppr超能文献

转录因子CASZ1在胶质瘤细胞的肿瘤发生和进展中增加致癌转录过程。

Transcription factor CASZ1 increases an oncogenic transcriptional process in tumorigenesis and progression of glioma cells.

作者信息

Mao Chaofu, Huang Chengying, Hu Zhicheng, Qu Shanqiang

机构信息

Department of Neurosurgery Nanfang Hospital Southern Medical University Guangzhou Guangdong People's Republic of China.

Department of Obstetrics and Gynecology, Baiyun Branch Nanfang Hospital Southern Medical University Guangzhou Guangdong People's Republic of China.

出版信息

MedComm (2020). 2022 Oct 20;3(4):e182. doi: 10.1002/mco2.182. eCollection 2022 Dec.

Abstract

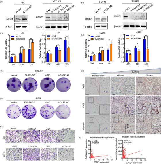
As a transcription factor, the role of CASZ1 in different entities is inconsistent. Glioma is one of the leading causes of cancer death worldwide. Its prognostic relevance and biological functions in glioma remain obscure. We focused on the role, mechanism, and prognostic value of CASZ1 in glioma cells. Herein, CASZ1 was identified as a novel potential oncogene in glioma tissues from GEO and TCGA datasets. CASZ1 was highly expressed in glioma tissues, predicting poor prognosis in glioma patients. Knockdown of CASZ1 inhibited proliferation and invasion in vitro, whereas upregulation of CASZ1 presented opposite results. Overexpression of CASZ1 increased transcriptional process of target gene p75NTR. CASZ1 was the potential transcriptional regulators for p75NTR. In addition, the p75NTR expression is essential for CASZ1 to exert its function as an oncogene. Our findings indicate that highly expressed CASZ1 in glioma cells acts as a pro-oncogene factor in gliomas via regulating transcriptional process of target gene p75NTR, which was identified as an unfavorable prognostic marker in patients with gliomas. CASZ1 is expected to become a novel target for the treatment of gliomas.

摘要

作为一种转录因子,CASZ1在不同实体中的作用并不一致。胶质瘤是全球癌症死亡的主要原因之一。其在胶质瘤中的预后相关性和生物学功能仍不清楚。我们聚焦于CASZ1在胶质瘤细胞中的作用、机制及预后价值。在此,通过GEO和TCGA数据集,CASZ1被鉴定为胶质瘤组织中的一种新型潜在癌基因。CASZ1在胶质瘤组织中高表达,预示着胶质瘤患者预后不良。敲低CASZ1可抑制体外增殖和侵袭,而CASZ1的上调则呈现相反结果。CASZ1的过表达增加了靶基因p75NTR的转录过程。CASZ1是p75NTR的潜在转录调节因子。此外,p75NTR的表达对于CASZ1发挥癌基因功能至关重要。我们的研究结果表明,胶质瘤细胞中高表达的CASZ1通过调节靶基因p75NTR的转录过程,在胶质瘤中作为一种促癌基因因子发挥作用,p75NTR被确定为胶质瘤患者的不良预后标志物。CASZ1有望成为治疗胶质瘤的新靶点。

https://cdn.ncbi.nlm.nih.gov/pmc/blobs/50c1/9583698/27d39f64b387/MCO2-3-e182-g002.jpg

文献AI研究员

20分钟写一篇综述,助力文献阅读效率提升50倍。

立即体验

用中文搜PubMed

大模型驱动的PubMed中文搜索引擎

马上搜索

文档翻译

学术文献翻译模型,支持多种主流文档格式。

立即体验