Tsuchiya Satoshi, Saiga Atsushi, Yokota Hajime, Nishiyama Akira, Kubota Yoshihiro, Horikoshi Takuro, Uno Takashi
Department of Diagnostic Radiology and Radiation Oncology, Graduate School of Medicine, Chiba University, Japan.
Department of Radiology, Chiba University Hospital, Japan.
Interv Radiol (Higashimatsuyama). 2020 Feb 14;5(1):23-26. doi: 10.22575/interventionalradiology.2019-0005. eCollection 2020 Feb 28.
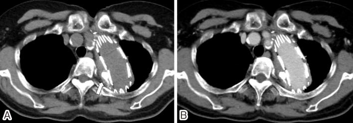
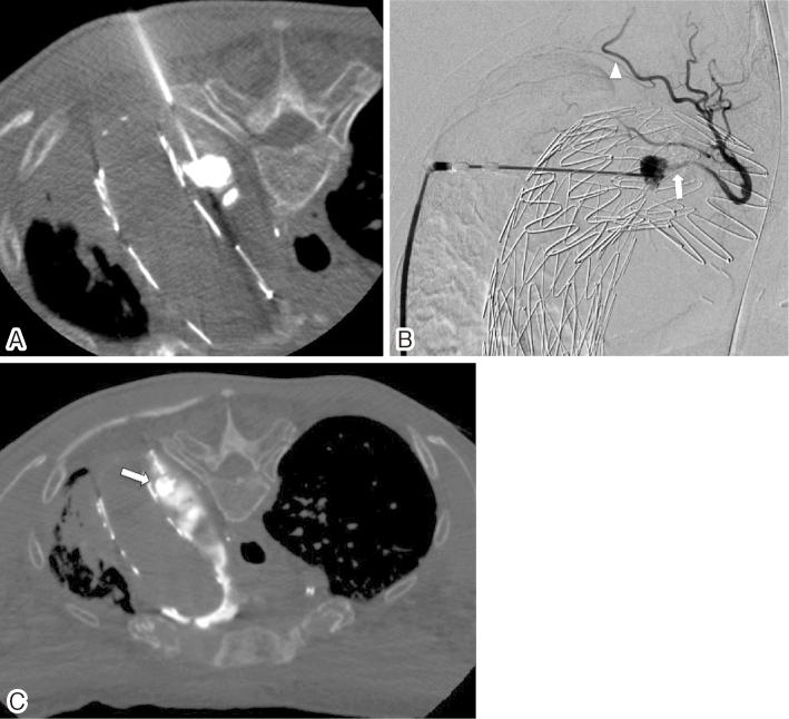
An 81-year-old woman presented with massive hemoptysis. She had a history of total arch replacement with an elephant trunk followed by concomitant antegrade thoracic endovascular aortic repair for the aortic arch and the descending aortic aneurysm. Computed tomography (CT) showed expansion of the aortic aneurysm with type II endoleak, lung parenchymal consolidation, and ground-glass opacity. An aortopulmonary fistula was suspected. Surgery posed a very high risk for the patient; hence, a less invasive approach was considered. Left subclavian arteriography revealed a type II endoleak. A transarterial approach would be difficult due to the small and tortuous access route and longer procedure time. Therefore, CT-guided puncture embolization was performed. She had no recurrence of hemoptysis for 1.4 years after the embolization.
一名81岁女性出现大量咯血。她有全弓置换并植入象鼻支架的病史,随后因主动脉弓和降主动脉瘤接受了同期顺行性胸段血管腔内主动脉修复术。计算机断层扫描(CT)显示主动脉瘤扩张伴II型内漏、肺实质实变和磨玻璃影。怀疑存在主动脉肺瘘。手术对该患者风险极高;因此,考虑采用侵入性较小的方法。左锁骨下动脉造影显示II型内漏。由于入路小且迂曲,手术时间长,经动脉途径困难。因此,进行了CT引导下穿刺栓塞术。栓塞术后1.4年,她未再出现咯血复发。