Suppr超能文献

脂肪坏死的光声断层成像表现:首次人体生化特征演示及组织学相关性研究

Photoacoustic Tomography Appearance of Fat Necrosis: A First-in-Human Demonstration of Biochemical Signatures along with Histological Correlation.

作者信息

Goh Yonggeng, Balasundaram Ghayathri, Tan Hui Min, Putti Thomas Choudary, Ng Celene Wei Qi, Fang Eric, Bi Renzhe, Tang Siau Wei, Buhari Shaik Ahmad, Hartman Mikael, Chan Ching Wan, Lim Yi Ting, Olivo Malini, Quek Swee Tian

机构信息

Department of Diagnostic Imaging, National University Hospital, 5 Lower Kent Ridge Road, Singapore 119074, Singapore.

Translational Biophotonics Laboratory, Institute of Bioengineering & Bioimaging, Agency for Science, Technology & Research, 11 Biopolis Way, #02-02 Helios, Singapore 138667, Singapore.

出版信息

Diagnostics (Basel). 2022 Oct 11;12(10):2456. doi: 10.3390/diagnostics12102456.

Abstract

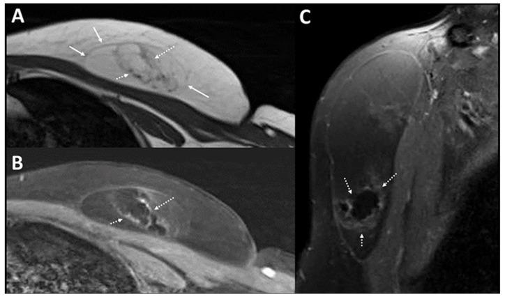
A 50-year-old woman with no past medical history presented with a left anterior chest wall mass that was clinically soft, mobile, and non-tender. A targeted ultrasound (US) showed findings suggestive of a lipoma. However, focal "mass-like" nodules seen within the inferior portion suggested malignant transformation of a lipomatous lesion called for cross sectional imaging, such as MRI or invasive biopsy or excision for histological confirmation. A T1-weighted image demonstrated a large lipoma that has a central fat-containing region surrounded by an irregular hypointense rim in the inferior portion, confirming the benignity of the lipoma. An ultrasound-guided photoacoustic imaging (PA) of the excised specimen to derive the biochemical distribution demonstrated the "mass-like" hypoechoic regions on US as fat-containing, suggestive of benignity of lesion, rather than fat-replacing suggestive of malignancy. The case showed the potential of PA as an adjunct to US in improving the diagnostic confidence in lesion characterization.

摘要

一名无既往病史的50岁女性因左前胸壁肿物就诊,该肿物在临床上质地柔软、可活动且无压痛。靶向超声(US)检查结果提示为脂肪瘤。然而,在肿物下部可见局灶性“肿块样”结节,提示脂肪瘤发生恶变,因此需要进行断层成像,如MRI,或进行侵入性活检或切除以进行组织学确诊。T1加权图像显示一个大脂肪瘤,其下部中央有一个含脂肪区域,周围有不规则低信号边缘,证实了脂肪瘤的良性性质。对切除标本进行超声引导下光声成像(PA)以获取生化分布,结果显示超声上的“肿块样”低回声区域为含脂肪区域,提示病变为良性,而非提示恶性的脂肪替代区域。该病例显示了PA作为US辅助手段在提高病变特征诊断信心方面的潜力。

https://cdn.ncbi.nlm.nih.gov/pmc/blobs/9d05/9600102/b403700fe07c/diagnostics-12-02456-g001.jpg

文献AI研究员

20分钟写一篇综述,助力文献阅读效率提升50倍。

立即体验

用中文搜PubMed

大模型驱动的PubMed中文搜索引擎

马上搜索

文档翻译

学术文献翻译模型,支持多种主流文档格式。

立即体验