Suppr超能文献

无症状神经认知障碍的年轻HIV感染患者大脑活动的局部一致性和功能连接性改变。

Altered regional homogeneity and functional connectivity of brain activity in young HIV-infected patients with asymptomatic neurocognitive impairment.

作者信息

Han Shuai, Aili Xire, Ma Juming, Liu Jiaojiao, Wang Wei, Yang Xue, Wang Xi, Sun Lijun, Li Hongjun

机构信息

Department of Radiology, Beijing Youan Hospital, Capital Medical University, Beijing, China.

Beijing Advanced Innovation Centre for Biomedical Engineering, Beihang University, Beijing, China.

出版信息

Front Neurol. 2022 Oct 10;13:982520. doi: 10.3389/fneur.2022.982520. eCollection 2022.

Abstract

OBJECTIVE

Asymptomatic neurocognitive impairment (ANI) is a predominant form of cognitive impairment in young HIV-infected patients. However, the neurophysiological mechanisms underlying this disorder have not been clarified. We aimed to evaluate the altered patterns of functional brain activity in young HIV-infected patients with ANI by quantifying regional homogeneity (ReHo) and region of interest (ROI)-based functional connectivity (FC).

METHODS

The experiment involved 44 young HIV-infected patients with ANI and 47 well-matched healthy controls (HCs) undergoing resting-state functional magnetic resonance imaging (rs-fMRI) and neurocognitive tests. Reho alterations were first explored between the ANI group and HC groups. Subsequently, regions showing differences in ReHo were defined as ROIs for FC analysis. Finally, the correlation of ReHo and FC with cognitive function and clinical variables was assessed.

RESULTS

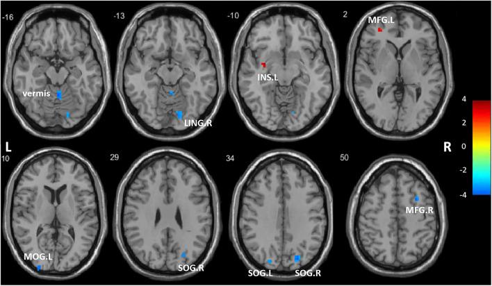
Compared with HCs, ANI patients had a significant ReHo decrease in the right lingual gyrus (LING. R), right superior occipital gyrus (SOG. R), left superior occipital gyrus (SOG. L), left middle occipital gyrus (MOG. L), right middle frontal gyrus (MFG. R), cerebellar vermis, ReHo enhancement in the left middle frontal gyrus (MFG. L), and left insula (INS L). The ANI patients showed increased FC between the LING. R and MOG. L compared to HC. For ANI patients, verbal and language scores were negatively correlated with increased mean ReHo values in the MFG.L. Increased mean ReHo values in the INS. L was positively correlated with disease duration-the mean ReHo values in the LING. R was positively correlated with the abstraction and executive function scores. Increased FC between the LING. R and MOG. L was positively correlated with verbal and language performance.

CONCLUSION

The results suggest that the visual network might be the most vulnerable area of brain function in young HIV-infected patients with ANI. The middle frontal gyrus, cerebellar vermis, and insula also play an important role in asymptomatic neurocognitive impairment. The regional homogeneity and functional connectivity of these regions have compound alterations, which may be related to the course of the disease and neurocognitive function. These neuroimaging findings will help us understand the characteristics of brain network modifications in young HIV-infected patients with ANI.

摘要

目的

无症状神经认知障碍(ANI)是年轻HIV感染患者认知障碍的主要形式。然而,这种疾病潜在的神经生理机制尚未阐明。我们旨在通过量化局部一致性(ReHo)和基于感兴趣区(ROI)的功能连接(FC)来评估年轻ANI HIV感染患者大脑功能活动的改变模式。

方法

该实验纳入了44例患有ANI的年轻HIV感染患者和47例匹配良好的健康对照(HC),他们均接受静息态功能磁共振成像(rs-fMRI)和神经认知测试。首先探究ANI组和HC组之间的ReHo改变。随后,将显示ReHo差异的区域定义为用于FC分析的ROI。最后,评估ReHo和FC与认知功能及临床变量的相关性。

结果

与HC相比,ANI患者右侧舌回(LING.R)、右侧枕上回(SOG.R)、左侧枕上回(SOG.L)、左侧枕中回(MOG.L)、右侧额中回(MFG.R)、小脑蚓部的ReHo显著降低,左侧额中回(MFG.L)和左侧岛叶(INS L)的ReHo增强。与HC相比,ANI患者LING.R和MOG.L之间的FC增加。对于ANI患者,言语和语言得分与MFG.L中平均ReHo值增加呈负相关。INS.L中平均ReHo值增加与疾病持续时间呈正相关——LING.R中的平均ReHo值与抽象和执行功能得分呈正相关。LING.R和MOG.L之间增加的FC与言语和语言表现呈正相关。

结论

结果表明,视觉网络可能是年轻ANI HIV感染患者大脑功能最易受损的区域。额中回、小脑蚓部和岛叶在无症状神经认知障碍中也起重要作用。这些区域的局部一致性和功能连接存在复合改变,这可能与疾病进程和神经认知功能有关。这些神经影像学发现将有助于我们了解年轻ANI HIV感染患者脑网络改变的特征。

https://cdn.ncbi.nlm.nih.gov/pmc/blobs/2f86/9593212/7b5b9b0e7273/fneur-13-982520-g0001.jpg

文献AI研究员

20分钟写一篇综述,助力文献阅读效率提升50倍。

立即体验

用中文搜PubMed

大模型驱动的PubMed中文搜索引擎

马上搜索

文档翻译

学术文献翻译模型,支持多种主流文档格式。

立即体验