Suppr超能文献

卡格列净减轻糖尿病心肌病小鼠的铁死亡并改善心肌氧化应激。

Canagliflozin mitigates ferroptosis and improves myocardial oxidative stress in mice with diabetic cardiomyopathy.

机构信息

Central Laboratory of Molecular Medicine Research Center, Jiaxing Traditional Chinese Medicine (TCM) Hospital Affiliated to Zhejiang University of Traditional Chinese Medicine, Jiaxing, China.

Jiaxing Key Laboratory of Diabetic Angiopathy Research, Jiaxing, China.

出版信息

Front Endocrinol (Lausanne). 2022 Oct 14;13:1011669. doi: 10.3389/fendo.2022.1011669. eCollection 2022.

Abstract

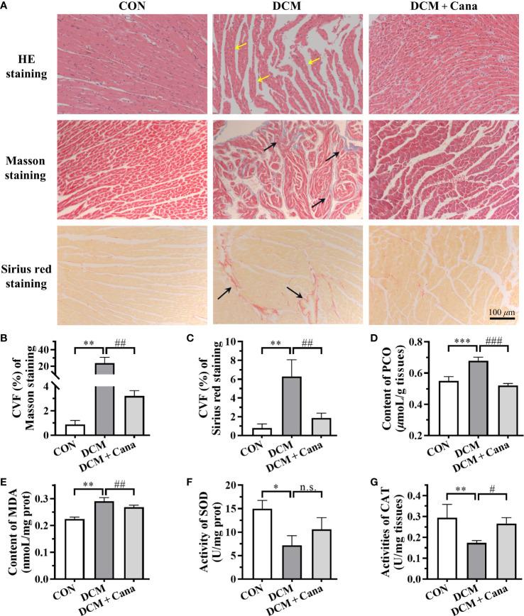
Canagliflozin (Cana), an anti-diabetes drug belongs to sodium-glucose cotransporter 2 inhibitor, is gaining interest because of its extra cardiovascular benefits. Ferroptosis is a new mode of cell death, which can promote the occurrence of diabetic cardiomyopathy (DCM). Whether Cana can alleviate DCM by inhibiting ferroptosis is the focus of this study. Here, we induced DCM models in diabetic C57BL6 mice and treated with Cana. Meanwhile, in order to exclude its hypoglycemic effect, the high glucose model in H9C2 cells were established. In the study, we observed that Cana could effectively alleviate the damage of cardiac function in DCM mice, including the increasing of lactate dehydrogenase (LDH) and cardiac troponin I (cTnI), the alleviating of myocardial fiber breakage, inflammation, collagen fiber deposition and mitochondrial structural disorder. We evaluated reactive oxygen species (ROS) levels by DCFH-DA and BODIPY 581/591 C11, Cana reduced ROS and lipid ROS in H9C2 cells induced by high glucose. Meanwhile, JC-1 fluorochrome assay showed that the decreased mitochondrial membrane potential (MMP) was increased by Cana. Furthermore, the inhibitory effects of Cana on myocardial oxidative stress and ferroptosis were verified and by protein carbonyl (PCO), malondialdehyde (MDA), superoxide dismutase (SOD), catalase (CAT), glutathione (GSH). As a key inducer of ferroptosis, the deposition of total iron and Fe can be inhibited by Cana both and . In addition, western blot results indicated that the expression of ferritin heavy-chain (FTN-H) was down-regulated, and cystine-glutamate antiporter (xCT) was up-regulated by Cana in DCM mice and cells, suggesting that Cana inhibit ferroptosis by balancing cardiac iron homeostasis and promoting the system Xc/GSH/GPX4 axis in DCM. These findings underscore the fact that ferroptosis plays an important role in the development and progression of DCM and targeting ferroptosis may be a novel strategy for prevention and treatment. In conclusion, Cana may exert some of its cardiovascular benefits by attenuating ferroptosis.

摘要

坎格列净(Cana)是一种抗糖尿病药物,属于钠-葡萄糖共转运蛋白 2 抑制剂,因其额外的心血管益处而受到关注。铁死亡是一种新的细胞死亡方式,可促进糖尿病心肌病(DCM)的发生。坎格列净是否能通过抑制铁死亡来减轻 DCM 是本研究的重点。在这里,我们在糖尿病 C57BL6 小鼠中诱导 DCM 模型,并给予坎格列净治疗。同时,为了排除其降血糖作用,我们在 H9C2 细胞中建立了高糖模型。在研究中,我们观察到坎格列净能有效减轻 DCM 小鼠心脏功能损伤,包括乳酸脱氢酶(LDH)和心肌肌钙蛋白 I(cTnI)的升高,心肌纤维断裂、炎症、胶原纤维沉积和线粒体结构紊乱的减轻。我们通过 DCFH-DA 和 BODIPY 581/591 C11 评估活性氧(ROS)水平,坎格列净降低了高糖诱导的 H9C2 细胞中的 ROS 和脂质 ROS。同时,JC-1 荧光染料测定表明,坎格列净增加了线粒体膜电位(MMP)的降低。此外,坎格列净对心肌氧化应激和铁死亡的抑制作用通过蛋白质羰基(PCO)、丙二醛(MDA)、超氧化物歧化酶(SOD)、过氧化氢酶(CAT)、谷胱甘肽(GSH)得到验证。作为铁死亡的关键诱导剂,坎格列净可以抑制总铁和 Fe 的沉积。此外,Western blot 结果表明,坎格列净在 DCM 小鼠和细胞中下调铁蛋白重链(FTN-H)的表达,上调胱氨酸-谷氨酸反向转运体(xCT)的表达,表明坎格列净通过平衡心脏铁稳态和促进系统 Xc/GSH/GPX4 轴抑制铁死亡。这些发现强调了铁死亡在 DCM 的发生和发展中起着重要作用,靶向铁死亡可能是预防和治疗的新策略。总之,坎格列净通过减轻铁死亡可能发挥其部分心血管益处。

https://cdn.ncbi.nlm.nih.gov/pmc/blobs/ebe8/9616119/f0c66c838edb/fendo-13-1011669-g001.jpg

文献AI研究员

20分钟写一篇综述,助力文献阅读效率提升50倍。

立即体验

用中文搜PubMed

大模型驱动的PubMed中文搜索引擎

马上搜索

文档翻译

学术文献翻译模型,支持多种主流文档格式。

立即体验