Suppr超能文献

成人回盲部肠套叠罕见病例的术后物理治疗方法

Postoperative Physiotherapy Approach for a Rare Case of Adult Ileocecal Intussusception.

作者信息

Seth Nikita H, Kulkarni Chaitanya A, Patil Shubhangi, Wadhokar Om C

机构信息

Physiotherapy, Ravi Nair Physiotherapy College, Wardha, IND.

Community Health Physiotherapy, Datta Meghe Institute of Medical Sciences, Wardha, IND.

出版信息

Cureus. 2022 Sep 27;14(9):e29668. doi: 10.7759/cureus.29668. eCollection 2022 Sep.

Abstract

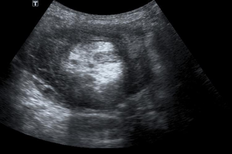
We report a rare case of a 32-year-old male diagnosed with a mass of intussusception in the right lumbar region. Adult intussusception has a prevalence of less than 5%. Among all cases of intestinal obstructions, adult intussusception is found to be only 1-3%. Adult intussusception of the bowel is uncommon. In contrast to intussusception in children, the traditional trio of palpable sausage, jelly stools, and discomfort is rarely seen. Adults usually present with nonspecific findings that last for a long time. We share the case of a patient who presented with complaints of pain in the abdomen and loss of appetite for six months. In addition, the patient also complained of constipation. The patient had a history of easy fatigue on moderate-intensity activity. Ultrasonography of the abdomen was suggested which revealed bowel wall thickening in the subhepatic region, with likely intussusception and formation of a lump with few enlarged lymph nodes adjacent to it. A confirmatory diagnosis was made after a computed tomography scan. In all cases, surgical intervention is required, and an organic lesion inside the invaginated section of the colon is discovered to be the lead point in up to 90% of cases. The laparoscopic procedure can be used for both diagnostic and therapeutic purposes. A right hemicolectomy was performed through a vertical midline incision. The patient was referred to the physiotherapy department for further management.

摘要

我们报告了一例罕见病例,一名32岁男性被诊断为右腰区套叠性肿物。成人肠套叠的患病率低于5%。在所有肠梗阻病例中,成人肠套叠仅占1% - 3%。成人肠套叠并不常见。与儿童肠套叠不同,传统的可触及腊肠样包块、果酱样大便和不适三联征很少见。成人通常表现为持续时间较长的非特异性症状。我们分享一名患者的病例,该患者主诉腹痛和食欲不振六个月。此外,患者还抱怨便秘。患者有在中等强度活动时容易疲劳的病史。建议进行腹部超声检查,结果显示肝下区域肠壁增厚,可能存在肠套叠并形成肿块,其附近有少数肿大淋巴结。计算机断层扫描后做出了确诊。在所有病例中,均需要手术干预,在高达90%的病例中,发现结肠套叠段内的器质性病变是套叠的起始点。腹腔镜手术可用于诊断和治疗目的。通过垂直正中切口进行了右半结肠切除术。患者被转诊至理疗科进行进一步治疗。

https://cdn.ncbi.nlm.nih.gov/pmc/blobs/cf9c/9613404/783599beae07/cureus-0014-00000029668-i01.jpg

文献AI研究员

20分钟写一篇综述,助力文献阅读效率提升50倍。

立即体验

用中文搜PubMed

大模型驱动的PubMed中文搜索引擎

马上搜索

文档翻译

学术文献翻译模型,支持多种主流文档格式。

立即体验