Department of Neurology, The First Affiliated Hospital of Jinan University, Guangzhou, Guangdong 510630, P.R. China.
Department of Pathophysiology, School of Medicine, Jinan University, Guangzhou, Guangdong 510632, P.R. China.
Mol Med Rep. 2022 Dec;26(6). doi: 10.3892/mmr.2022.12887. Epub 2022 Nov 2.
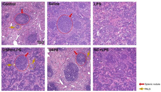
In human immunity, the spleen is a major organ, being central to humoral and cellular immunity. In vitro and in vivo, inflammation is regulated by ubiquitin‑specific protease 8 (USP8); however, to the best of our knowledge, the effect of USP8 on spleen injury remains unknown. The present study aimed to investigate the protection offered by USP8 against spleen injury in lipopolysaccharide (LPS)‑induced mice via attenuation of inflammation. A total of 119 C57BL/6J mice were placed into the following groups: Control group, saline group, LPS group, USP8 group, USP8 + LPS group and negative control (NC) + LPS group. A USP8 lentivirus was injected into mice at 1x108 TU/ml intracerebroventricularly for 7 days before LPS was administered via intraperitoneal injection at 750 µg/kg. From each group, serum and spleen samples were collected for analysis. Histological imaging was used to examine the spleen structure. Western blotting was used to detect the expression levels of proteins associated with the mitogen‑activated protein kinase (MAPK) and nuclear factor (NF)‑κB signaling pathways. Pro‑inflammatory cytokines were detected using enzyme‑linked immunosorbent assays. Compared with that in the saline, control and USP8 + LPS groups, the spleen volume in the LPS group was markedly increased, and the width of the splenic cord and sinus exhibited morphological damage in the LPS group. Compared with that in the saline, control and USP8 + LPS groups, the protein expression levels of USP8 in the spleen were decreased in the LPS group. Furthermore, the production of LPS‑induced pro‑inflammatory cytokines (e.g., interleukin‑1β and tumor necrosis factor‑α) was reduced in serum and spleen homogenates by USP8. Related inflammatory pathways, including the NF‑κB and MAPK pathways, were downregulated in the USP8 + LPS group compared with those in the LPS group. In conclusion, the anti‑inflammatory effect of USP8 on LPS‑induced spleen injury may be mediated by the inhibition of MAPK and NF‑κB signaling pathways.
在人类免疫中,脾脏是一个主要器官,在体液和细胞免疫中起着核心作用。在体外和体内,泛素特异性蛋白酶 8(USP8)调节炎症;然而,据我们所知,USP8 对脾脏损伤的影响尚不清楚。本研究旨在通过减轻炎症来研究 USP8 对脂多糖(LPS)诱导的小鼠脾脏损伤的保护作用。将 119 只 C57BL/6J 小鼠分为以下几组:对照组、生理盐水组、LPS 组、USP8 组、USP8+LPS 组和阴性对照(NC)+LPS 组。USP8 慢病毒以 1x108TU/ml 的浓度经脑室内注射,7 天后通过腹腔内注射 750μg/kg LPS。从每组中收集血清和脾脏样本进行分析。通过组织学成像观察脾脏结构。通过 Western blot 检测与丝裂原激活蛋白激酶(MAPK)和核因子(NF)-κB 信号通路相关的蛋白表达水平。通过酶联免疫吸附试验检测促炎细胞因子。与生理盐水组、对照组和 USP8+LPS 组相比,LPS 组的脾脏体积明显增大,LPS 组的脾索和窦宽度出现形态学损伤。与生理盐水组、对照组和 USP8+LPS 组相比,LPS 组的脾组织中 USP8 的蛋白表达水平降低。此外,USP8 降低了 LPS 诱导的促炎细胞因子(如白细胞介素-1β和肿瘤坏死因子-α)在血清和脾匀浆中的产生。与 LPS 组相比,USP8+LPS 组中相关炎症通路,包括 NF-κB 和 MAPK 通路,均下调。综上所述,USP8 对 LPS 诱导的脾脏损伤的抗炎作用可能是通过抑制 MAPK 和 NF-κB 信号通路介导的。