Suppr超能文献

皮质微血管“莓状病变”是由脑灌注不足引起的吗?一项探索性病理学研究。

Are cortical microvascular raspberries caused by cerebral hypoperfusion? An exploratory pathological study.

作者信息

Ek Olofsson Henric, Haglund Mattias, Englund Elisabet

机构信息

Division of Pathology, Department of Clinical Sciences Lund, Lund University, Sölvegatan 25B, 22185 Lund, Sweden.

出版信息

Cereb Circ Cogn Behav. 2021 Aug 17;2:100026. doi: 10.1016/j.cccb.2021.100026. eCollection 2021.

Abstract

INTRODUCTION

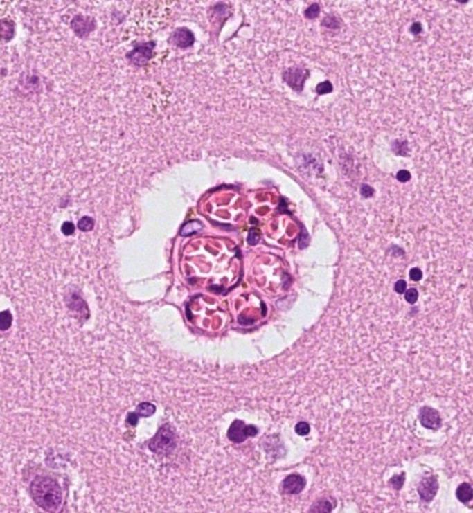
This retrospective study investigated a cortical microvascular formation, termed a 'raspberry' due to its appearance under a bright-field microscope. We examined whether there is support for the hypothesis that raspberry formation is an angiogenic process induced by cerebral hypoperfusion.

MATERIALS AND METHODS

Raspberries were manually quantified in haematoxylin and eosin-stained cortical sections from the anterior frontal lobe of deceased individuals who had undergone a diagnostic neuropathological examination at the Department of Pathology, Lund, Sweden, during April 2019-January 2021. Subjects represented consecutively received cases during this 22-month period. The raspberry density was compared between subjects according to variables collected from medical records and autopsy reports: age, sex, hypertension, diabetes mellitus, atrial fibrillation, orthostatic hypotension, chronic heart failure, acute circulatory failure, aortic atherosclerosis, atherosclerosis of the basal cerebral arteries (referred to as 'cerebral atherosclerosis'), cerebral small vessel disease, cerebral amyloid angiopathy, cerebral infarction, and ischaemic white matter disease.

RESULTS

62 subjects were included. The mean age was 71.9 years (range 46-97 years). 21 subjects (33.9%) were female. Independent-samples -test showed a higher raspberry density in subjects with cerebral atherosclerosis ( = 0.029; 95% CI 0.7, 11.6 raspberries/cm²). The higher raspberry density in subjects with cerebral atherosclerosis remained in multiple linear regression ( 0.003; 95% CI 2.3, 11.1 raspberries/cm²).

CONCLUSION

This exploratory study indicates that cortical raspberries could be associated with cerebral atherosclerosis. The remaining results were inconclusive but motivate further examination of variables such as acute circulatory failure.

摘要

引言

本回顾性研究调查了一种皮质微血管结构,因其在明场显微镜下的外观而被称为“覆盆子”。我们研究了是否有证据支持以下假设:覆盆子形成是由脑灌注不足诱导的血管生成过程。

材料与方法

在2019年4月至2021年1月期间,对瑞典隆德病理科接受诊断性神经病理学检查的已故个体额叶前部苏木精和伊红染色的皮质切片中的覆盆子进行手动定量。这些受试者代表了这22个月期间连续接收的病例。根据从病历和尸检报告中收集的变量比较受试者之间的覆盆子密度:年龄、性别、高血压、糖尿病、心房颤动、体位性低血压、慢性心力衰竭、急性循环衰竭、主动脉粥样硬化、基底脑动脉粥样硬化(称为“脑动脉粥样硬化”)、脑小血管病、脑淀粉样血管病、脑梗死和缺血性白质病。

结果

纳入62名受试者。平均年龄为71.9岁(范围46 - 97岁)。21名受试者(33.9%)为女性。独立样本t检验显示,脑动脉粥样硬化患者的覆盆子密度更高(P = 0.029;95%置信区间0.7,11.6个覆盆子/cm²)。在多元线性回归中,脑动脉粥样硬化患者较高的覆盆子密度仍然存在(P = 0.003;95%置信区间2.3,11.1个覆盆子/cm²)。

结论

这项探索性研究表明,皮质覆盆子可能与脑动脉粥样硬化有关。其余结果尚无定论,但促使进一步研究诸如急性循环衰竭等变量。

https://cdn.ncbi.nlm.nih.gov/pmc/blobs/b08c/9616238/01a13b4d8843/gr1.jpg

文献AI研究员

20分钟写一篇综述,助力文献阅读效率提升50倍。

立即体验

用中文搜PubMed

大模型驱动的PubMed中文搜索引擎

马上搜索

文档翻译

学术文献翻译模型,支持多种主流文档格式。

立即体验