Arian Arvin, Gity Masoumeh, Kolahi Shahriar, Khani Sina, Ahmadi Mehran Arab, Salehi Mohammadreza, Delazar Sina
Department of Radiology, Tehran University of Medical Science, Advanced Diagnostic and Interventional Radiology Research Center (ADIR), Tehran University of Medical Sciences (TUMS), Tehran, Iran.
Department of Radiology, Advanced Diagnostic and Interventional Radiology Research Center (ADIR), Tehran University of Medical Sciences (TUMS), Tehran, Iran.
J Family Med Prim Care. 2022 Aug;11(8):4410-4416. doi: 10.4103/jfmpc.jfmpc_8_22. Epub 2022 Aug 30.
The Radiologic Society of North America (RSNA) divides patients into four sections: negative, atypical, indeterminate, and typical coronavirus disease 2019 (COVID-19) pneumonia based on their computed tomography (CT) scan findings. Herein, we evaluate the frequency of the chest CT-scan appearances of COVID-19 according to each RSNA categorical group.
A total of 90 patients with real-time reverse transcriptase-polymerase chain reaction (RT-PCR)-confirmed COVID-19 were enrolled in this study and differences in age, sex, cardiac characteristics, and imaging features of lung parenchyma were evaluated in different categories of RSNA classification.
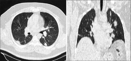
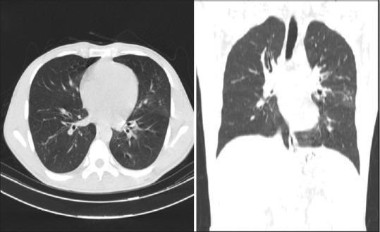
According to the RSNA classification 87.8, 5.56, 4.44, and 2.22% of the patients were assigned as typical, indeterminate, atypical, and negative, respectively. The proportion of "atypical" patients was higher in the patients who had mediastinal lymphadenopathy and pleural effusion. Moreover, ground-glass opacity (GGO) and consolidation were more pronounced in the lower lobes and left lung compared to the upper lobes and right lung, respectively. While small nodules were mostly seen in the atypical group, small GGO was associated with the typical group, especially when it is present in the right lung and indeterminate group.
Regardless of its location, non-round GGO is the most prevalent finding in the typical group of the RSNA classification systems. Mediastinal lymphadenopathy, pleural effusion, and small nodules are mostly observed in the atypical group and small GGO in the right lung is mostly seen in the typical group.
北美放射学会(RSNA)根据计算机断层扫描(CT)扫描结果将患者分为四个类别:阴性、非典型、不确定和典型的2019冠状病毒病(COVID-19)肺炎。在此,我们根据RSNA的每个分类组评估COVID-19胸部CT扫描表现的频率。
本研究共纳入90例经实时逆转录聚合酶链反应(RT-PCR)确诊的COVID-19患者,并在RSNA分类的不同类别中评估年龄、性别、心脏特征和肺实质的影像学特征差异。
根据RSNA分类,分别有87.8%、5.56%、4.44%和2.22%的患者被归类为典型、不确定、非典型和阴性。有纵隔淋巴结肿大和胸腔积液的患者中“非典型”患者的比例更高。此外,磨玻璃影(GGO)和实变分别在下叶和左肺比上叶和右肺更明显。虽然小结节多见于非典型组,但小GGO与典型组相关,尤其是当它出现在右肺和不确定组时。
无论位置如何,非圆形GGO是RSNA分类系统典型组中最常见的表现。纵隔淋巴结肿大、胸腔积液和小结节多见于非典型组,右肺小GGO多见于典型组。