Department of Obstetrics and Gynecology, the Third Affiliated Hospital of Sun Yat-Sen University, Guangzhou, China.
Laboratory of Biochemistry, the Third Affiliated Hospital of Sun Yat-Sen University, Guangzhou, China.
BMC Pregnancy Childbirth. 2022 Nov 20;22(1):858. doi: 10.1186/s12884-022-05180-2.
Hydatid cystic disease (HCD) is primarily a disease of sheep and cattle. Human beings are accidental hosts. It is prevalent in the Tibet Autonomous Region (TAR) of China. In pregnancy, it can cause many complications.
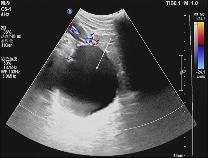
We present a multigravida with breech presentation at 37 weeks of pregnancy in whom a large pelvic hydatid cyst and multiple hepatic hydatids were diagnosed by ultrasonography. The large pelvic hydatid cyst was drained through the posterior fornix under the guidance of ultrasound, and an external cephalic version was performed. A healthy baby was delivered vaginally with head presentation at term.
HCD during pregnancy presents with management difficulty. It is important to formulate individualized treatment plans according to the actual situation of the patient and the local level of treatment.
包虫病(hydatid cystic disease,HCD)主要是绵羊和牛的疾病。人类是偶然宿主。它在中国西藏自治区(Tibet Autonomous Region,TAR)流行。在怀孕期间,它会引起许多并发症。
我们报告了一例妊娠 37 周、臀位的多产妇,超声检查诊断为巨大盆腔包虫囊肿和多个肝包虫。在超声引导下,通过后穹窿引流了巨大的盆腔包虫囊肿,并进行了外部胎头倒转术。足月时,阴道分娩了一个头位的健康婴儿。
妊娠合并包虫病的治疗存在管理困难。根据患者的实际情况和当地的治疗水平制定个体化的治疗方案非常重要。