Suppr超能文献

高表达叶酸受体α(FOLR1)与直肠癌细胞的侵袭性表型、对放化疗的抵抗以及预后不良相关。

High Expression of Folate Receptor Alpha (FOLR1) is Associated With Aggressive Tumor Behavior, Poor Response to Chemoradiotherapy, and Worse Survival in Rectal Cancer.

机构信息

Division of Colon and Rectal Surgery, Department of Surgery, 63344E-DA Hospital, Kaohsiung.

Division of General Medicine Surgery, Department of Surgery, 63344E-DA Hospital, Kaohsiung.

出版信息

Technol Cancer Res Treat. 2022 Jan-Dec;21:15330338221141795. doi: 10.1177/15330338221141795.

Abstract

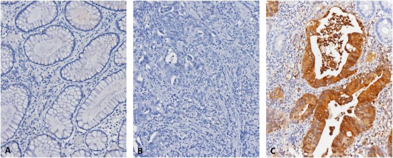
Recently, molecular medicine targeting Folate Receptor Alpha (FOLR1), which mediates intracellular folate uptake and tumor cell proliferation, has been identified in several malignancies. However, the association between FOLR1 expression and rectal cancer remains unclear. Immunostaining of FOLR1 was performed on biopsy specimens from 172 rectal cancer patients undergoing preoperative chemoradiotherapy (CRT). FOLR1 expression was measured and divided into low (0+-2+) or high (3+-4+) level. Correlations between FOLR1 status and clinicopathologic features, tumor regression grade, disease-specific survival (DSS), local recurrence-free survival, and metastasis-free survival (MeFS) were analyzed, retrospectively. High FOLR1 expression was significantly associated with advanced post-treatment tumor and nodal status (T3-4; N1-2,  = .001), vascular invasion ( = .042), perineural invasion ( = .012), and poor regression change after CRT ( = .001). In uni- and multi-variable survival analysis, FOLR1 overexpression remained a significant predictor of lower DSS (hazard ratio [HR], 2.328; 95% confidence interval [CI], 1.014-5.344;  = .046) and MeFS (HR, 2.177; 95% CI, 1.000-1.1286;  = .050). Conclusion: These results indicate that high FOLR1 status is associated with aggressive tumor behavior, poor response to CRT, and worse survival. Therefore, FOLR1 expression at initial biopsy may be useful in predicting outcomes and also be a target for the exploration of FOLR1-based therapeutic agents.

摘要

最近,在几种恶性肿瘤中发现了一种针对叶酸受体 alpha(FOLR1)的分子医学,该受体介导细胞内叶酸摄取和肿瘤细胞增殖。然而,FOLR1 表达与直肠癌之间的关系尚不清楚。对 172 例接受术前放化疗(CRT)的直肠癌患者的活检标本进行了 FOLR1 免疫组化染色。测量 FOLR1 的表达并分为低(0+-2+)或高(3+-4+)水平。回顾性分析 FOLR1 状态与临床病理特征、肿瘤消退分级、疾病特异性生存(DSS)、局部无复发生存和无转移生存(MeFS)之间的相关性。高 FOLR1 表达与治疗后肿瘤和淋巴结状态的进展(T3-4;N1-2,=0.001)、血管侵犯(=0.042)、神经周围侵犯(=0.012)和 CRT 后不良的消退变化显著相关(=0.001)。在单变量和多变量生存分析中,FOLR1 过表达仍然是 DSS(风险比 [HR],2.328;95%置信区间 [CI],1.014-5.344;=0.046)和 MeFS(HR,2.177;95% CI,1.000-1.1286;=0.050)降低的显著预测因子。结论:这些结果表明,FOLR1 状态高与侵袭性肿瘤行为、对 CRT 的反应差和生存不良相关。因此,初始活检时的 FOLR1 表达可能有助于预测结局,也可能成为探索基于 FOLR1 的治疗药物的靶点。

https://cdn.ncbi.nlm.nih.gov/pmc/blobs/cb65/9703519/f3b55cadad3e/10.1177_15330338221141795-fig1.jpg

文献AI研究员

20分钟写一篇综述,助力文献阅读效率提升50倍。

立即体验

用中文搜PubMed

大模型驱动的PubMed中文搜索引擎

马上搜索

文档翻译

学术文献翻译模型,支持多种主流文档格式。

立即体验