Suppr超能文献

乙醇微创给药治疗膀胱瘘

Minimally invasive delivery of ethanol for the treatment of urinary bladder fistulas.

作者信息

Nanapragasam Andrew, Mahmood Syed Umair, Mafeld Sebastian, Haslam Philip

机构信息

Department of Medical Imaging, University of Toronto, Toronto, Ontario, Canada.

St. Joseph's Hamilton Healthcare, Hamilton, Ontario, Canada.

出版信息

BJR Case Rep. 2022 Apr 25;8(4):20210239. doi: 10.1259/bjrcr.20210239. eCollection 2022 Jul 1.

Abstract

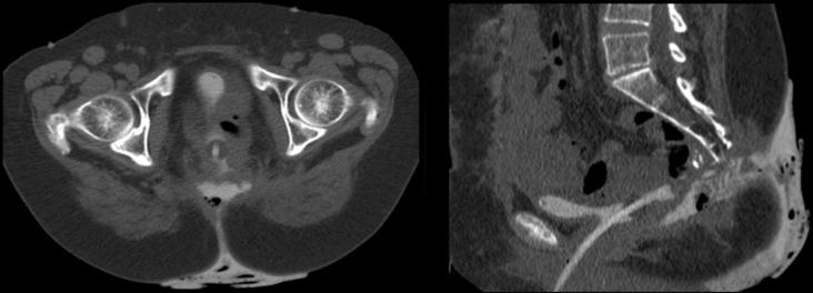
Urinary bladder fistula formation is a complication of significant morbidity and mortality following pelvic surgery or radiotherapy. Surgical treatment is the definitive management, but it may be contraindicated in patients with significant comorbidities. The alternative approach is to divert urine away from the fistula with stents and catheters, and allow time for healing. The case illustrated herein describes the use of alcohol to accelerate the fibrotic healing of a urinary bladder fistula, based on the premise that sclerosing agents have been effective in the treatment of pancreatic fistulas and renal cysts. A Foley catheter is inserted through the external fistula orifice and passed along the fistula tract into the urinary bladder. The Foley catheter balloon is inflated and pulled back to occlude the fistula. Following this, a vascular sheath is placed alongside the catheter and ethanol is injected into the tract. The alcohol is left to dwell in the fistula for a few minutes, after which time the catheter and sheath are removed. The sclerosant effect of the ethanol aims to induce fibrosis, and therefore occlusion, of the fistula.

摘要

膀胱瘘形成是盆腔手术或放疗后具有较高发病率和死亡率的一种并发症。手术治疗是确定性的治疗方法,但对于有严重合并症的患者可能是禁忌的。另一种方法是使用支架和导管将尿液从瘘口引流开,留出愈合时间。本文所述病例描述了基于硬化剂在治疗胰瘘和肾囊肿方面有效的前提,使用酒精加速膀胱瘘的纤维化愈合。将一根Foley导尿管通过外瘘口插入,并沿瘘管进入膀胱。将Foley导尿管的球囊充气并拉回以阻塞瘘管。在此之后,将一个血管鞘放置在导管旁边,并将乙醇注入瘘管。让酒精在瘘管中停留几分钟,之后取出导管和鞘。乙醇的硬化作用旨在诱导瘘管纤维化,从而实现阻塞。

https://cdn.ncbi.nlm.nih.gov/pmc/blobs/77bc/9668261/dadb99391083/bjrcr.20210239.g001.jpg

文献AI研究员

20分钟写一篇综述,助力文献阅读效率提升50倍。

立即体验

用中文搜PubMed

大模型驱动的PubMed中文搜索引擎

马上搜索

文档翻译

学术文献翻译模型,支持多种主流文档格式。

立即体验