Suppr超能文献

缺血后处理联合尼可地尔对糖尿病大鼠心肌缺血再灌注损伤的保护作用。

Protective effect of ischaemic postconditioning combined with nicorandil on myocardial ischaemia‒reperfusion injury in diabetic rats.

机构信息

Department of Cardiology, The Affiliated Hospital of Qingdao University, 16 Jiangsu Road, Qingdao, 266003, Shandong, China.

Institute of Neuroregeneration & Neurorehabilitation, Department of Pathophysiology, Qingdao University, 308 Ningxia Street, Qingdao, 266071, Shandong, China.

出版信息

BMC Cardiovasc Disord. 2022 Dec 3;22(1):518. doi: 10.1186/s12872-022-02967-1.

Abstract

BACKGROUND

The diabetic heart exhibits a high sensitivity to ischaemia/reperfusion (I/R) injury. Diabetes mellitus (DM) can affect the efficacy of cardioprotective interventions and reduce the therapeutic potential of existing treatment options. This study aimed to investigate the feasibility of shifting from monotherapy to combination therapy in diabetic myocardial I/R injury.

METHODS

6-8 week rats were randomized into 10 groups: sham, I/R, ischaemia postconditioning (I-Post), nicorandil (Nic), combination therapy (I-Post + Nic), DM sham, DM I/R, DM I-Post, DM Nic and DM I-Post + Nic. The extent of myocardial injury was clarified by measuring CK-MB and NO levels in plasma, ROS content in myocardial tissues, and TTC/Evans Blue staining to assess the area of myocardial infarction. Pathological staining of cardiac tissue sections were performed to clarify the structural changes in myocardial histopathology. Finally, Western blotting was performed to detect the phosphorylation levels of some key proteins in the PI3K/Akt signalling pathway in myocardial tissues.

RESULTS

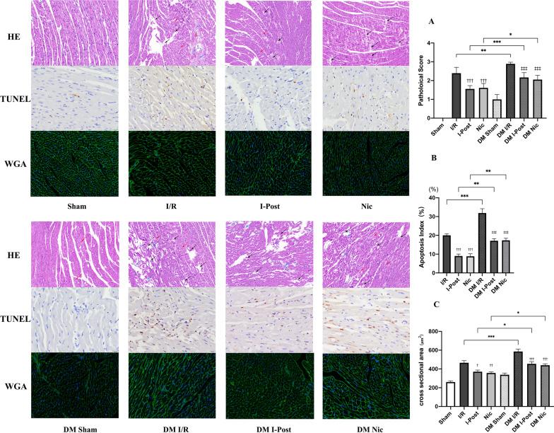
We confirms that myocardial injury in diabetic I/R rats remained at a high level after treatment with I-Post or nicorandil alone. I-Post combined with nicorandil showed better therapeutic effects in diabetic I/R rats, and the combined treatment further reduced the area of myocardial injury in diabetic I/R rats compared with I-Post or nicorandil treatment alone (P < 0.001), as well as the levels of the myocardial injury markers CK-MB and ROS (P < 0.001); it also significantly increased plasma NO levels. Pathological staining also showed that diabetic rats benefited significantly from the combination therapy. Further mechanistic studies confirmed this finding. The protein phosphorylation levels of PI3K/Akt signalling pathway in the heart tissue of diabetic I/R rats were significantly higher after the combination treatment than after one treatment alone (all P < 0.05).

CONCLUSION

I-Post combined with nicorandil treatment maintains effective cardioprotection against diabetic myocardial I/R injury by activating the PI3K/Akt signalling pathway.

摘要

背景

糖尿病心脏对缺血/再灌注(I/R)损伤高度敏感。糖尿病(DM)可影响心脏保护干预的疗效,并降低现有治疗选择的治疗潜力。本研究旨在探讨从单一疗法向联合疗法转变治疗糖尿病心肌 I/R 损伤的可行性。

方法

将 6-8 周龄大鼠随机分为 10 组:假手术组、I/R 组、缺血后处理(I-Post)组、尼可地尔(Nic)组、联合治疗(I-Post+Nic)组、DM 假手术组、DM I/R 组、DM I-Post 组、DM Nic 组和 DM I-Post+Nic 组。通过测量血浆中 CK-MB 和 NO 水平、心肌组织中 ROS 含量以及 TTC/Evans Blue 染色评估心肌梗死面积,明确心肌损伤程度。对心脏组织切片进行病理染色,明确心肌组织病理学结构变化。最后,采用 Western blot 检测心肌组织中 PI3K/Akt 信号通路中一些关键蛋白的磷酸化水平。

结果

我们证实,单独使用 I-Post 或尼可地尔治疗后,糖尿病 I/R 大鼠的心肌损伤仍处于较高水平。I-Post 联合尼可地尔在糖尿病 I/R 大鼠中表现出更好的治疗效果,与单独使用 I-Post 或尼可地尔治疗相比,联合治疗进一步降低了糖尿病 I/R 大鼠的心肌损伤面积(P<0.001)和心肌损伤标志物 CK-MB 和 ROS 水平(P<0.001);还显著增加了血浆 NO 水平。病理染色也表明,糖尿病大鼠从联合治疗中获益显著。进一步的机制研究证实了这一发现。与单独治疗相比,糖尿病 I/R 大鼠心脏组织中 PI3K/Akt 信号通路的蛋白磷酸化水平在联合治疗后显著升高(均 P<0.05)。

结论

I-Post 联合尼可地尔治疗通过激活 PI3K/Akt 信号通路,对糖尿病心肌 I/R 损伤保持有效的心脏保护作用。

https://cdn.ncbi.nlm.nih.gov/pmc/blobs/0ab0/9719207/f6b0ab714b4c/12872_2022_2967_Fig1_HTML.jpg

文献AI研究员

20分钟写一篇综述,助力文献阅读效率提升50倍。

立即体验

用中文搜PubMed

大模型驱动的PubMed中文搜索引擎

马上搜索

文档翻译

学术文献翻译模型,支持多种主流文档格式。

立即体验