Suppr超能文献

肺囊性淀粉样变性肿块的自发消退

Spontaneous Resolution of a Pulmonary Cystic Amyloidosis Mass.

作者信息

Guediri Nouha, Mejri Islam, Boubaker Nouha, Mhamdi Samira, Daboussi Selsabil, Aichaouia Chiraz, Messaoudi Houssem, Ayadi Aida, Moatemri Zied

机构信息

Pulmonology Department, Military Hospital of Tunis, Tunisia.

Thoracic Surgery Department, Military Hospital of Tunis, Tunisia.

出版信息

Eur J Case Rep Intern Med. 2022 Nov 29;9(11):003586. doi: 10.12890/2022_003586. eCollection 2022.

Abstract

INTRODUCTION

Amyloidosis is a rare illness characterized by the deposition in organs of amyloid, which can be detected by histological staining. Amyloidosis restricted to the lower respiratory tract is unusual.

RESULTS

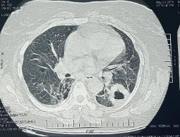
We reported the case of a 68-year-old woman with no history of chronic diseasewho presented with dyspnoea on exertion, cough and fatigue. The physical examination was unremarkable. A CT scan showed a cystic mass with a thickened wall in the apical segment of the left lower lobe. A biopsy of the mass was performed, and histological and immunohistochemical study confirmed the diagnosis of AL amyloidosis. The patient's clinical and radiological symptoms spontaneously improved without treatment after 3 years.

CONCLUSION

Amyloid-related cystic lung disease is a rare presentation of amyloidosis in the thorax. More case reports are required to determine if such masses can resolve without treatment and whether amyloid-associated cystic lung disease actually exists.

LEARNING POINTS

Dyspnoea and cough are a rare atypical presentation that can reveal pulmonary amyloidosis.A cystic lung mass should raise suspicion for pulmonary amyloidosis.Clinical symptoms and radiological findings of a cystic mass spontaneously resolved without treatment after 3 years in this patient with pulmonary amyloidosis.

摘要

引言

淀粉样变性是一种罕见疾病,其特征为淀粉样物质在器官中沉积,可通过组织学染色检测到。仅累及下呼吸道的淀粉样变性并不常见。

结果

我们报告了一例68岁无慢性疾病史的女性病例,该患者表现为劳力性呼吸困难、咳嗽和疲劳。体格检查无异常。CT扫描显示左肺下叶尖段有一个壁增厚的囊性肿块。对该肿块进行了活检,组织学和免疫组化研究确诊为AL淀粉样变性。3年后,患者的临床和影像学症状未经治疗自行改善。

结论

淀粉样变性相关的囊性肺病是胸部淀粉样变性的一种罕见表现。需要更多病例报告来确定此类肿块是否能未经治疗而消退,以及淀粉样变性相关的囊性肺病是否确实存在。

学习要点

呼吸困难和咳嗽是一种罕见的非典型表现,可提示肺淀粉样变性。肺部囊性肿块应引起对肺淀粉样变性的怀疑。该例肺淀粉样变性患者肺部囊性肿块的临床症状和影像学表现3年后未经治疗自行消退。

https://cdn.ncbi.nlm.nih.gov/pmc/blobs/4166/9728224/e1049dd77fa8/3586_Fig1.jpg

文献AI研究员

20分钟写一篇综述,助力文献阅读效率提升50倍。

立即体验

用中文搜PubMed

大模型驱动的PubMed中文搜索引擎

马上搜索

文档翻译

学术文献翻译模型,支持多种主流文档格式。

立即体验