Suppr超能文献

正常胎儿十二指肠的超声检查

Ultrasound examination of the normal fetal duodenum.

作者信息

Xiao Huibin, Li Hongbo, Chen Xiaozhu, Lin Xiaoyan, Liang Xiaoqin, Jiang Huoyong, Wang Hongchan, Lu Wenyue, Li Fengrong, He Zhenping

机构信息

Department of Ultrasound, People's Hospital of Longhua, Shenzhen, China.

Community Health Service Center, People's Hospital of Longhua, Shenzhen, China.

出版信息

Front Surg. 2023 Jan 6;9:940376. doi: 10.3389/fsurg.2022.940376. eCollection 2022.

Abstract

OBJECTIVE

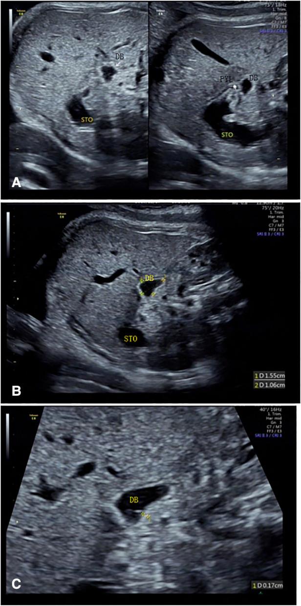
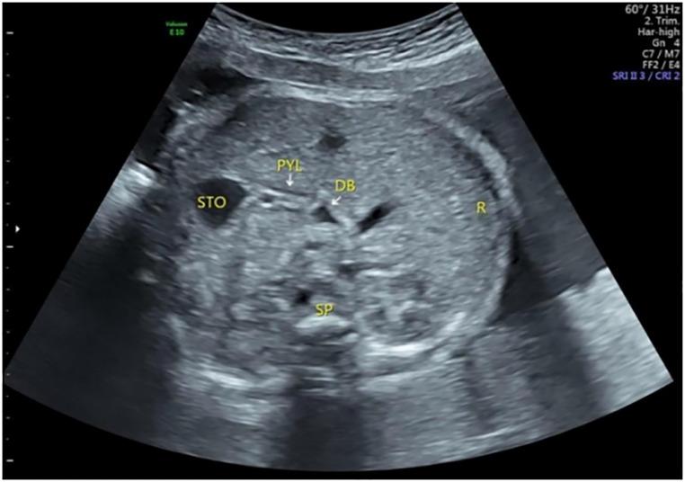
To use the fetal pylorus as a reference point to conveniently display the normal fetal duodenum by ultrasound.

METHODS

This study was designed in cross-section. A total of 450 healthy singleton pregnant women at 19-39 weeks of gestation who underwent prenatal screening at our hospital from January 2019 to February 2020 were selected. They were divided into three groups according to gestational weeks: the 19-23 gestational weeks group, 29-32 gestational weeks group, and 34-39 gestational weeks group. The duodenal bulb was identified. Its movement and course were continuously and dynamically observed. The descending part of the duodenum was identified, and the duodenal course was traced.

RESULTS

The fluid-filled in the fetal duodenum was discontinuous. The overall detection rates of the duodenum in the 19-23 gestational weeks group, 29-32 gestational weeks group, and the 34-39 gestational weeks group were 82.2%, 26.2%, and 13.8%, respectively. The detection rates of the bulbar, descending, horizontal, and ascending parts of the duodenum were 94.4%, 58.2%, 58.0%, and 52.0%, respectively. The anatomical structures of the duodenum as a whole and the pancreas were most easily recognized in the 19-23 gestational weeks group; while in the 34-39 gestational weeks group, the bulbar part had a maximum detection rate of 98.8%, and it had the longest filling time and the shortest examination time.

CONCLUSION

The pylorus is an ideal starting point for tracing the fetal duodenum. The overall detection rate of the fetal duodenum decreases with gestational age. The duodenal bulb is the most easily detected site.

摘要

目的

以胎儿幽门为参照点,通过超声方便地显示正常胎儿十二指肠。

方法

本研究采用横断面设计。选取2019年1月至2020年2月在我院接受产前筛查的450例孕19 - 39周的健康单胎孕妇。根据孕周分为三组:孕19 - 23周组、孕29 - 32周组和孕34 - 39周组。识别十二指肠球部,连续动态观察其运动及走行。识别十二指肠降部,追踪十二指肠走行。

结果

胎儿十二指肠内充盈液不连续。孕19 - 23周组、孕29 - 32周组和孕34 - 39周组十二指肠的总体检出率分别为82.2%、26.2%和13.8%。十二指肠球部、降部、水平部和升部的检出率分别为94.4%、58.2%、58.0%和52.0%。孕19 - 23周组最易识别十二指肠整体及胰腺的解剖结构;而在孕34 - 39周组,球部检出率最高,为98.8%,充盈时间最长,检查时间最短。

结论

幽门是追踪胎儿十二指肠的理想起始点。胎儿十二指肠的总体检出率随孕周增加而降低。十二指肠球部是最易检测的部位。

https://cdn.ncbi.nlm.nih.gov/pmc/blobs/fd18/9852514/28b2ba6c3168/fsurg-09-940376-g001.jpg

文献AI研究员

20分钟写一篇综述,助力文献阅读效率提升50倍。

立即体验

用中文搜PubMed

大模型驱动的PubMed中文搜索引擎

马上搜索

文档翻译

学术文献翻译模型,支持多种主流文档格式。

立即体验