Suppr超能文献

全膝关节置换术后导致胫骨部件骨坏死和松动的胫骨骨内复苏

Intraosseous Tibial Resuscitation After a Total Knee Arthroplasty Leading to Osteonecrosis and Loosening of the Tibial Component.

作者信息

Wenzel Alyssa N, Auld Thomas, Bautista Anson, Huso Tait, Khanuja Harpal S

机构信息

Department of Orthopaedic Surgery, The Johns Hopkins University School of Medicine, Baltimore, MD, USA.

Columbia University Vagelos College of Physicians and Surgeons, New York City, NY, USA.

出版信息

Arthroplast Today. 2023 Jan 14;19:101088. doi: 10.1016/j.artd.2022.101088. eCollection 2023 Feb.

Abstract

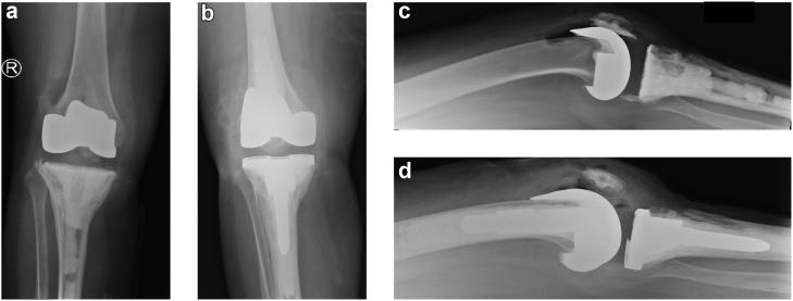
A 51-year-old woman suffered cardiac arrest requiring emergent intraosseous access that abutted the tibial component of her total knee arthroplasty. She developed a wound at the site and knee pain which was concerning for deep infection. Subsequent imaging was consistent with osteonecrosis developing around the tibial component. The component eventually loosened, requiring a revision surgery. Her deep cultures remained negative throughout. Her findings are most consistent with osteonecrosis and aseptic loosening of her prosthesis. While intraosseous access may be beneficial during resuscitation, it has complications. This is the first reported case of osteonecrosis secondary to intraosseous access leading to prosthetic loosening necessitating a revision surgery.

摘要

一名51岁女性发生心脏骤停,需要紧急进行骨内通路穿刺,穿刺部位紧邻其全膝关节置换术的胫骨部件。她在该部位出现了伤口和膝关节疼痛,令人担心发生深部感染。后续影像学检查结果与胫骨部件周围发生的骨坏死相符。该部件最终松动,需要进行翻修手术。她的深部培养物始终呈阴性。她的检查结果最符合假体的骨坏死和无菌性松动。虽然骨内通路在复苏过程中可能有益,但也存在并发症。这是首例报告的因骨内通路继发骨坏死导致假体松动并需要翻修手术的病例。

https://cdn.ncbi.nlm.nih.gov/pmc/blobs/8c0d/9860108/58fa7ddd442e/gr1.jpg

相似文献

1
Intraosseous Tibial Resuscitation After a Total Knee Arthroplasty Leading to Osteonecrosis and Loosening of the Tibial Component.
Arthroplast Today. 2023 Jan 14;19:101088. doi: 10.1016/j.artd.2022.101088. eCollection 2023 Feb.
2
Is a full component revision necessary for isolated tibial loosening?
Bone Joint J. 2020 Jun;102-B(6_Supple_A):123-128. doi: 10.1302/0301-620X.102B6.BJJ-2019-1401.R1.
3
Reliable outcomes and survivorship of primary total knee arthroplasty for osteonecrosis of the knee.
Bone Joint J. 2019 Nov;101-B(11):1356-1361. doi: 10.1302/0301-620X.101B11.BJJ-2019-0576.R1.
5
Early outcomes of a modern cemented total knee arthroplasty : is tibial loosening a concern?
Bone Joint J. 2021 Jun;103-B(6 Supple A):51-58. doi: 10.1302/0301-620X.103B6.BJJ-2020-1972.R1.
7
High rate of tibial debonding and failure in a popular knee replacement : a follow-up review.
Bone Jt Open. 2022 Jun;3(6):495-501. doi: 10.1302/2633-1462.36.BJO-2022-0043.R1.
9
Survivorship of Metaphyseal Sleeves in Revision Total Knee Arthroplasty.
J Arthroplasty. 2017 May;32(5):1565-1570. doi: 10.1016/j.arth.2016.12.004. Epub 2016 Dec 14.

本文引用的文献

1
Cutaneous Complications Associated With Intraosseous Access Placement.
Cutis. 2021 Jun;107(6):E31-E33. doi: 10.12788/cutis.0303.
2
Complications of Intraosseous Access: Two Case Reports From a Single Center.
JBJS Case Connect. 2021 Apr 20;11(2):01709767-202106000-00038. doi: e19.00382.
3
Epidemiology of osteonecrosis among older adults in Sweden.
Osteoporos Int. 2019 May;30(5):965-973. doi: 10.1007/s00198-018-04826-2. Epub 2019 Jan 9.
5
Tibial Osteomyelitis Following Prehospital Intraosseous Access.
Clin Pract Cases Emerg Med. 2017 Nov 3;1(4):391-394. doi: 10.5811/cpcem.2017.9.35256. eCollection 2017 Nov.
6
Use of intra-osseous access in adults: a systematic review.
Crit Care. 2016 Apr 14;20:102. doi: 10.1186/s13054-016-1277-6.
7
Pathophysiology and risk factors for osteonecrosis.
Curr Rev Musculoskelet Med. 2015 Sep;8(3):201-9. doi: 10.1007/s12178-015-9277-8.
8
Prosthetic joint infection.
Clin Microbiol Rev. 2014 Apr;27(2):302-45. doi: 10.1128/CMR.00111-13.
9
Complication with intraosseous access: scandinavian users' experience.
West J Emerg Med. 2013 Sep;14(5):440-3. doi: 10.5811/westjem.2013.1.12000.
10
Assessing the gold standard: a review of 253 two-stage revisions for infected TKA.
Clin Orthop Relat Res. 2012 Oct;470(10):2730-6. doi: 10.1007/s11999-012-2358-8.

文献AI研究员

20分钟写一篇综述,助力文献阅读效率提升50倍。

立即体验

用中文搜PubMed

大模型驱动的PubMed中文搜索引擎

马上搜索

文档翻译

学术文献翻译模型,支持多种主流文档格式。

立即体验