Suppr超能文献

富血小板血浆治疗浆细胞性外阴炎:一例报告。

Plasma Cell Vulvitis Treated with Platelet-rich Plasma: A Case Report.

机构信息

Nepal Medical College and Teaching Hospital, Jorpati, Kathmandu, Nepal.

Department of Dermatology, Nepal Medical College and Teaching Hospital, Jorpati, Kathmandu, Nepal.

出版信息

JNMA J Nepal Med Assoc. 2022 Aug 1;60(252):732-734. doi: 10.31729/jnma.7622.

Abstract

UNLABELLED

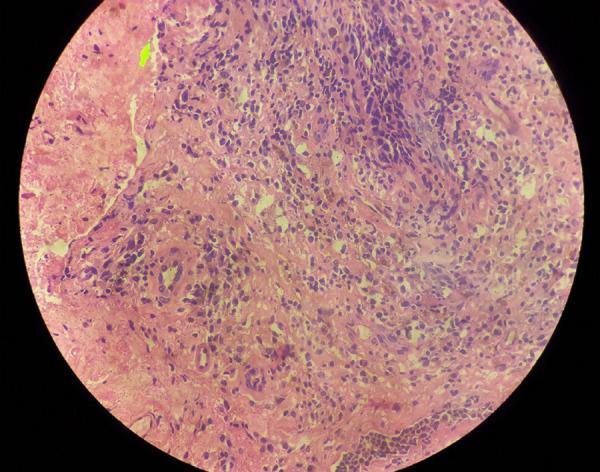
Plasma cell vulvitis is a rare inflammatory disorder of the vulva with an unknown aetiology, characterised by mucosal inflammation. It commonly manifests as pain, itching, dyspareunia, and dysuria and clinically presents as erythematous plaque and macules on the vulva. This condition is refractory to available treatment modalities in the literature. We present a case of a 70-year-old female with histopathologically proven plasma cell vulvitis treated by platelet-rich plasma therapy after multiple failed treatment attempts with topical steroids and immunomodulators. The patient improved both symptomatically and clinically on follow-up with platelet-rich plasma therapy. Platelet-rich plasma which is a new novel treatment can be a therapeutic option for recalcitrant cases of plasma cell vulvitis.

KEYWORDS

case report; immunosuppressant; platelet-rich plasma; vulvitis.

摘要

中文译文

未加标签

浆细胞性外阴炎是一种罕见的外阴炎症性疾病,病因不明,以黏膜炎症为特征。它通常表现为疼痛、瘙痒、性交困难和尿痛,临床上表现为外阴红斑和斑块。这种情况对文献中现有的治疗方法有抵抗力。我们报告了一例 70 岁女性的病例,该患者经组织病理学证实为浆细胞性外阴炎,在外用类固醇和免疫调节剂多次治疗失败后,接受了富血小板血浆治疗。该患者在接受富血小板血浆治疗后症状和临床均有改善。富血小板血浆是一种新的治疗方法,可为难治性浆细胞性外阴炎病例提供治疗选择。

关键词

病例报告;免疫抑制剂;富血小板血浆;外阴炎。

https://cdn.ncbi.nlm.nih.gov/pmc/blobs/9ee3/9446486/6f24e9106dae/JNMA-60-252-732-g1.jpg

文献AI研究员

20分钟写一篇综述,助力文献阅读效率提升50倍。

立即体验

用中文搜PubMed

大模型驱动的PubMed中文搜索引擎

马上搜索

文档翻译

学术文献翻译模型,支持多种主流文档格式。

立即体验