Suppr超能文献

鳞茎乙醇提取物对三阴性和雌激素依赖性乳腺癌细胞的体外抗氧化及促凋亡作用

The Antioxidant and Proapoptotic Effects of Bulb Ethanolic Extract on Triple-Negative and Estrogen-Dependent Breast Cancer Cells In Vitro.

作者信息

El Samarji Mona, Younes Maria, El Khoury Marianne, Haykal Tony, Elias Nazira, Gasilova Natalia, Menin Laure, Houri Ahmad, Machaka-Houri Nisrine, Rizk Sandra

机构信息

Department of Natural Sciences, Lebanese American University, Byblos P.O. Box 36, Lebanon.

Institute of Chemical Sciences and Engineering, Ecole Polytechnique Fédérale de Lausanne (EPFL), 1015 Lausanne, Switzerland.

出版信息

Plants (Basel). 2023 Jan 24;12(3):529. doi: 10.3390/plants12030529.

Abstract

BACKGROUND

belongs to the Amaryllidaceae family and is recognized for the valuable biological activity of its major bioactive compounds. The aim of the current is to evaluate the anticancer effects of the ethanolic bulb extract of (ScBEE) on breast cancer cells in vitro and to further reveal the underlying cellular mechanism.

METHODS

An MTS cell viability assay was performed on MDA-MB-231 and MCF-7 cells, along with cell cycle analysis, cell death ELISA, Western blot analysis and an ROS production assay to decipher the mechanism of death. LC-MS/MS was also performed to identify the chemical composition of this ethanolic extract.

RESULTS

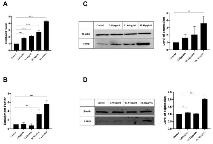
The results show a selective antiproliferative effect on both cell lines with no effect on normal mesenchymal stem cells. Further analysis suggested the activation of the apoptotic pathway as reflected by the increase in cellular and DNA fragmentation and alterations in apoptotic proteins such as Bax, Bcl-2 and c-PARP. ScBEE was also found to exhibit antioxidant effect, as shown by a decrease in ROS production. The underlying mechanism of action was explained by the presence of several bioactive compounds identified by LC-MS/MS, including alkaloids, terpenoids and phenols, which are elaborated in the manuscript.

CONCLUSION

This study highlights the antioxidant and anticancerous properties of for breast cancer treatment.

摘要

背景

属于石蒜科,以其主要生物活性化合物的宝贵生物活性而闻名。本研究的目的是评估[植物名称]乙醇鳞茎提取物(ScBEE)对乳腺癌细胞的体外抗癌作用,并进一步揭示其潜在的细胞机制。

方法

对MDA-MB-231和MCF-7细胞进行MTS细胞活力测定,同时进行细胞周期分析、细胞死亡ELISA、蛋白质印迹分析和活性氧(ROS)生成测定,以阐明细胞死亡机制。还进行了液相色谱-串联质谱(LC-MS/MS)分析,以鉴定该乙醇提取物的化学成分。

结果

结果显示对两种细胞系均有选择性抗增殖作用,对正常间充质干细胞无影响。进一步分析表明凋亡途径被激活,表现为细胞和DNA片段化增加以及凋亡蛋白如Bax、Bcl-2和c-PARP的改变。还发现ScBEE具有抗氧化作用,表现为ROS生成减少。LC-MS/MS鉴定出的几种生物活性化合物,包括生物碱、萜类和酚类,解释了其潜在的作用机制,本手稿对此进行了详细阐述。

结论

本研究突出了[植物名称]在乳腺癌治疗中的抗氧化和抗癌特性。

https://cdn.ncbi.nlm.nih.gov/pmc/blobs/6052/9920827/9a2fecf3bed4/plants-12-00529-g001.jpg

文献AI研究员

20分钟写一篇综述,助力文献阅读效率提升50倍。

立即体验

用中文搜PubMed

大模型驱动的PubMed中文搜索引擎

马上搜索

文档翻译

学术文献翻译模型,支持多种主流文档格式。

立即体验