Suppr超能文献

NTRK重排梭形细胞肿瘤的影像学表现:病例系列

Imaging findings of NTRK‑rearranged spindle cell neoplasms: A case series.

作者信息

Kobayashi Hiroshi, Teramura Yasuyo, Yamashita Kyoko, Makise Naohiro, Ae Keisuke, Tanaka Sakae

机构信息

Department of Orthopaedic Surgery, Faculty of Medicine, The University of Tokyo, Tokyo 113-8655, Japan.

Division of Carcinogenesis, The Cancer Institute, Japanese Foundation for Cancer Research, Tokyo 135-8550, Japan.

出版信息

Mol Clin Oncol. 2023 Jan 23;18(3):14. doi: 10.3892/mco.2023.2610. eCollection 2023 Mar.

Abstract

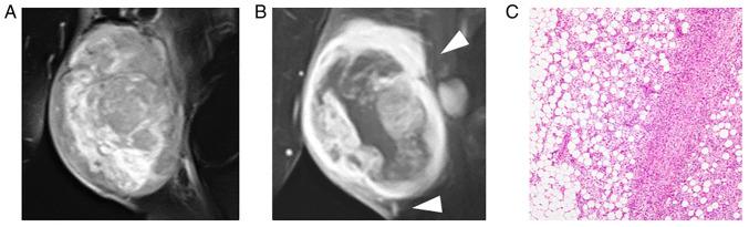
NTRK-rearranged spindle cell neoplasms (NTRK-RSCNs) are a new category of soft tissue tumors with gene fusions. The present study aimed to investigate the radiological features of NTRK-RSCNs and their association with histopathological findings. The present study included six patients with NTRK-RSCNs, whose fusion genes were confirmed using next-generation sequencing. All patients underwent surgery, and their diagnosis and clinical outcomes were investigated. In addition, the magnetic resonance imaging (MRI) features of all tumors and histopathological findings of the resected specimens were assessed. The present study included three women and three men, with a mean age of 22 years (range, 2-43 years). The gene fusions included four and two fusions. Three patients were preoperatively diagnosed with solitary fibrous tumors. One patient with fusion experienced local recurrence and distant metastases, whereas the other five patients had no local recurrence or metastasis. MRI revealed that all tumors were highly vascular with intra- and peritumoral flow voids of differing degrees. Furthermore, a partially ill-defined border, suggesting infiltration of tumors into the surrounding tissues, particularly fat tissue, was observed in five patients, which was confirmed by histopathological findings. In conclusion, NTRK-RSCNs are highly vascular tumors that can infiltrate the surrounding tissues. These findings suggested that NTRK-RSCNs should be considered in the differential diagnosis of highly vascular-rich mesenchymal tumors, including solitary fibrous tumors and alveolar soft part sarcomas. Furthermore, wide resection may be preferred to completely resect this type of tumor, considering its invasive nature.

摘要

神经营养酪氨酸激酶受体(NTRK)重排的梭形细胞肿瘤(NTRK-RSCNs)是一类新的伴有基因融合的软组织肿瘤。本研究旨在探讨NTRK-RSCNs的影像学特征及其与组织病理学结果的相关性。本研究纳入了6例NTRK-RSCNs患者,其融合基因通过二代测序得以确认。所有患者均接受了手术,并对其诊断及临床结局进行了调查。此外,还评估了所有肿瘤的磁共振成像(MRI)特征以及切除标本的组织病理学结果。本研究包括3名女性和3名男性,平均年龄22岁(范围2 - 43岁)。基因融合包括4例 和2例 融合。3例患者术前被诊断为孤立性纤维瘤。1例伴有 融合的患者出现局部复发和远处转移,而其他5例患者未出现局部复发或转移。MRI显示所有肿瘤血供丰富,瘤内和瘤周存在不同程度的血流空洞。此外,5例患者观察到边界部分不清,提示肿瘤浸润周围组织,尤其是脂肪组织,这一点经组织病理学结果证实。总之,NTRK-RSCNs是血供丰富且可浸润周围组织的肿瘤。这些发现提示,在鉴别诊断血供丰富的间叶组织肿瘤时,包括孤立性纤维瘤和肺泡软部肉瘤,应考虑NTRK-RSCNs。此外,鉴于其浸润性,广泛切除可能更有利于完全切除这类肿瘤。

https://cdn.ncbi.nlm.nih.gov/pmc/blobs/2fa9/9926045/2f91a4f882cc/mco-18-03-02610-g00.jpg

文献AI研究员

20分钟写一篇综述,助力文献阅读效率提升50倍。

立即体验

用中文搜PubMed

大模型驱动的PubMed中文搜索引擎

马上搜索

文档翻译

学术文献翻译模型,支持多种主流文档格式。

立即体验