Rastogi Prerna, Alrwashdeh Audai, Caza Tiffany, Lin Mercury, Obeidat Mohammad, Giannini Gabriel, Larsen Chris, Dai Dao-Fu
Department of Pathology, University of Iowa Hospitals and Clinics, Iowa City, Iowa, USA.
Arkana Laboratories, Little Rock, Arkansas, USA.
Kidney Int Rep. 2022 Dec 13;8(3):575-583. doi: 10.1016/j.ekir.2022.12.001. eCollection 2023 Mar.
Renal intravascular large B-cell lymphoma (IVLBCL) is a rare, aggressive B-cell lymphoma with neoplastic cells occupying the vascular lumina with only 53 patients reported to date. Here, we present the largest case series to characterize this rare disease.
We performed a multi-institutional, retrospective review of kidney biopsies and autopsies with a diagnosis of kidney IVLBCL and report our findings.
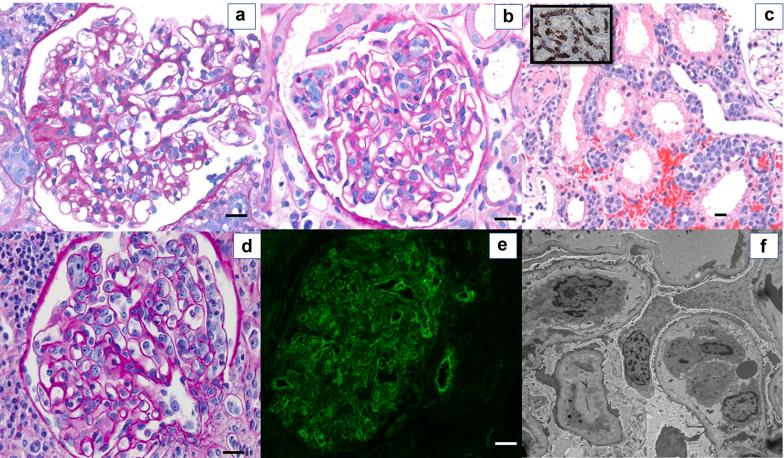
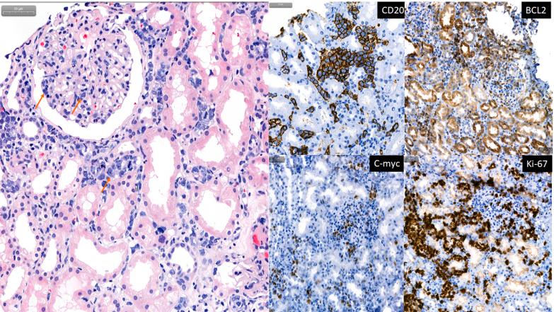
We identified 20 patients with an average age of 65.7 ± 7.8 years (55% males) with IVLBCL on kidney biopsy. The most common clinical presentation was fever and anemia. Acute kidney injury (AKI) was noted in 70% to 90%, proteinuria in 70% to 84.1%, hematuria in 45%, and nephrotic-range proteinuria in 10% to 26.1% of cases. The median (interquartile range) of serum creatinine was 1.75 (1.14, 3.3) mg/dl. Neoplastic lymphoid cells were present in glomeruli, peritubular capillaries, and arteries or veins. Of the patients, 44.3% showed extrarenal infiltration into bone marrow, liver, spleen, central vervous system, lung and skin. Neoplastic cells express CD20, CD79a, PAX-5, and MUM1+, and were CD10-negative. Available follow-up data showed a median survival of 21 months after diagnosis. Extrarenal involvement is a significant and independent predictor of mortality with a hazard ratio of 4.975 (95% confidence interval:1.38, 17.88) after controlling for age and gender. Serum creatinine, age, sex, and infiltration of intrarenal arteries or veins did not affect survival.
Kidney IVLBCL is a rare disease that is unexpectedly diagnosed by kidney biopsy, presenting with fever, anemia, mild AKI, and proteinuria. Median survival is 21 months and extrarenal involvement is associated with worse outcome.
肾血管内大B细胞淋巴瘤(IVLBCL)是一种罕见的侵袭性B细胞淋巴瘤,肿瘤细胞占据血管腔,迄今为止仅有53例病例报道。在此,我们呈现最大的病例系列以描述这种罕见疾病。
我们对诊断为肾IVLBCL的肾活检和尸检进行了多机构回顾性研究并报告我们的发现。
我们在肾活检中鉴定出20例平均年龄为65.7±7.8岁(55%为男性)的IVLBCL患者。最常见的临床表现为发热和贫血。70%至90%的病例出现急性肾损伤(AKI),70%至84.1%出现蛋白尿,45%出现血尿,10%至26.1%出现肾病范围蛋白尿。血清肌酐的中位数(四分位间距)为1.75(1.14,3.3)mg/dl。肿瘤性淋巴细胞存在于肾小球、肾小管周围毛细血管以及动脉或静脉中。44.3%的患者出现肾外浸润至骨髓、肝脏、脾脏、中枢神经系统、肺和皮肤。肿瘤细胞表达CD20、CD79a、PAX - 5和MUM1 +,且CD10阴性。现有随访数据显示诊断后中位生存期为21个月。在控制年龄和性别后,肾外受累是死亡率的显著且独立预测因素,风险比为4.975(95%置信区间:1.